Rabbit Src Polyclonal Antibody | anti-Src antibody
Src Antibody
Phosphate buffered saline, pH 7.4, 150mM NaCl, 0.02% sodium azide and 50% glycerol.
IHC (Immunohistochemistry)
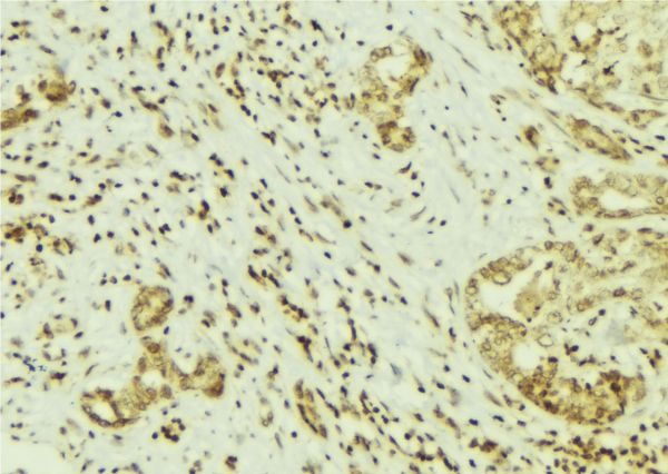
(AAA322221 at 1/100 staining Human breast cancer tissue by IHC-P. The sample was formaldehyde fixed and a heat mediated antigen retrieval step in citrate buffer was performed. The sample was then blocked and incubated with the antibody for 1.5 hours at 22 degree C. An HRP conjugated goat anti-rabbit antibody was used as the secondary.)
IHC (Immunohistochemisry)
(AAA322221 at 1/100 staining human brain tissues sections by IHC-P. The tissue was formaldehyde fixed and a heat mediated antigen retrieval step in citrate buffer was performed. The tissue was then blocked and incubated with the antibody for 1.5 hours at 42 degree C)
IF (Immunofluorescence)
(AAA322221 staining 293 by IF/ICC. The sample were fixed with PFA and permeabilized in 0.1% Triton X-100, then blocked in 10% serum for 45 minutes at 25 degree C. The primary antibody was diluted at 1/200 and incubated with the sample for 1 hour at 37 degree C. An Alexa Fluor 594 conjugated goat anti-rabbit IgG (H+L) Ab, diluted at 1/600, was used as the secondary antibody.)
WB (Western Blot)
(Western blot analysis of Src expression in HeLa whole cell lysates, The lane on the left is treated with the antigen-specific peptide.)
Function: Non-receptor protein tyrosine kinase which is activated following engagement of many different classes of cellular receptors including immune response receptors, integrins and other adhesion receptors, receptor protein tyrosine kinases, G protein-coupled receptors as well as cytokine receptors. Participates in signaling pathways that control a diverse spectrum of biological activities including gene transcription, immune response, cell adhesion, cell cycle progression, apoptosis, migration, and transformation. Due to functional redundancy between members of the SRC kinase family, identification of the specific role of each SRC kinase is very difficult. SRC appears to be one of the primary kinases activated following engagement of receptors and plays a role in the activation of other protein tyrosine kinase (PTK) families. Receptor clustering or dimerization leads to recruitment of SRC to the receptor complexes where it phosphorylates the tyrosine residues within the receptor cytoplasmic domains. Plays an important role in the regulation of cytoskeletal organization through phosphorylation of specific substrates such as AFAP1. Phosphorylation of AFAP1 allows the SRC SH2 domain to bind AFAP1 and to localize to actin filaments. Cytoskeletal reorganization is also controlled through the phosphorylation of cortactin (CTTN) (Probable). When cells adhere via focal adhesions to the extracellular matrix, signals are transmitted by integrins into the cell resulting in tyrosine phosphorylation of a number of focal adhesion proteins, including PTK2/FAK1 and paxillin (PXN) (PubMed:21411625). In addition to phosphorylating focal adhesion proteins, SRC is also active at the sites of cell-cell contact adherens junctions and phosphorylates substrates such as beta-catenin (CTNNB1), delta-catenin (CTNND1), and plakoglobin (JUP). Another type of cell-cell junction, the gap junction, is also a target for SRC, which phosphorylates connexin-43 (GJA1). SRC is implicated in regulation of pre-mRNA-processing and phosphorylates RNA-binding proteins such as KHDRBS1 (Probable). Also plays a role in PDGF-mediated tyrosine phosphorylation of both STAT1 and STAT3, leading to increased DNA binding activity of these transcription factors (By similarity). Involved in the RAS pathway through phosphorylation of RASA1 and RASGRF1 (PubMed:11389730). Plays a role in EGF-mediated calcium-activated chloride channel activation (PubMed:18586953). Required for epidermal growth factor receptor (EGFR) internalization through phosphorylation of clathrin heavy chain (CLTC and CLTCL1) at 'Tyr-1477'. Involved in beta-arrestin (ARRB1 and ARRB2) desensitization through phosphorylation and activation of GRK2, leading to beta-arrestin phosphorylation and internalization. Has a critical role in the stimulation of the CDK20/MAPK3 mitogen-activated protein kinase cascade by epidermal growth factor (Probable). Might be involved not only in mediating the transduction of mitogenic signals at the level of the plasma membrane but also in controlling progression through the cell cycle via interaction with regulatory proteins in the nucleus (PubMed:7853507). Plays an important role in osteoclastic bone resorption in conjunction with PTK2B/PYK2. Both the formation of a SRC-PTK2B/PYK2 complex and SRC kinase activity are necessary for this function. Recruited to activated integrins by PTK2B/PYK2, thereby phosphorylating CBL, which in turn induces the activation and recruitment of phosphatidylinositol 3-kinase to the cell membrane in a signaling pathway that is critical for osteoclast function (PubMed:8755529, PubMed:14585963). Promotes energy production in osteoclasts by activating mitochondrial cytochrome C oxidase (PubMed:12615910). Phosphorylates DDR2 on tyrosine residues, thereby promoting its subsequent autophosphorylation (PubMed:16186108). Phosphorylates RUNX3 and COX2 on tyrosine residues, TNK2 on 'Tyr-284' and CBL on 'Tyr-731' (PubMed:20100835, PubMed:21309750). Enhances DDX58/RIG-I-elicited antiviral signaling (PubMed:19419966). Phosphorylates PDPK1 at 'Tyr-9', 'Tyr-373' and 'Tyr-376' (PubMed:14585963). Phosphorylates BCAR1 at 'Tyr-128' (PubMed:22710723). Phosphorylates CBLC at multiple tyrosine residues, phosphorylation at 'Tyr-341' activates CBLC E3 activity (PubMed:20525694). Involved in anchorage-independent cell growth (PubMed:19307596). Required for podosome formation (By similarity).
Subunit Structure: Interacts with DDEF1/ASAP1; via the SH3 domain (By similarity). Interacts with CCPG1 (By similarity). Identified in a complex containing FGFR4, NCAM1, CDH2, PLCG1, FRS2, SRC, SHC1, GAP43 and CTTN (By similarity). Interacts with ERBB2, STAT1 and PNN (By similarity). Interacts with DDR1, DDR2 and DAB2 (By similarity). Interacts with CDCP1, PELP1, TGFB1I1 and TOM1L2 (PubMed:12415108, PubMed:15851033, PubMed:16479011, PubMed:17202804). Interacts with the cytoplasmic domain of MUC1, phosphorylates it and increases binding of MUC1 with beta-catenin (PubMed:11152665). Interacts with RALGPS1; via the SH3 domain (PubMed:10747847). Interacts with CAV2 (tyrosine phosphorylated form) (PubMed:12091389, PubMed:15504032). Interacts (via the SH3 domain and the protein kinase domain) with ARRB1; the interaction is independent of the phosphorylation state of SRC C-terminus (By similarity). Interacts with ARRB1 and ARRB2 (PubMed:10753943, PubMed:9924018). Interacts with SRCIN1 (PubMed:17525734). Interacts with NDFIP2 and more weakly with NDFIP1 (PubMed:20534535). Interacts with PIK3CA and/or PIK3C2B, PTK2/FAK1 and ESR1 (dimethylated on arginine) (PubMed:18657504, PubMed:21411625). Interacts with FASLG (PubMed:19807924). Interacts (via SH2 domain) with the 'Tyr-402' phosphorylated form of PTK2B/PYK2 (PubMed:14585963). Interacts (via SH2 domain) with FLT3 (tyrosine phosphorylated) (By similarity). Interacts with PDGFRA (tyrosine phosphorylated) (By similarity). Interacts with CSF1R (By similarity). Interacts (via SH2 and SH3 domain) with TNK2 (PubMed:21309750). Interacts (via protein kinase domain) with the tyrosine phosphorylated form of RUNX3 (via runt domain) (PubMed:20100835). Interacts with TRAF3 (via RING-type zinc finger domain) (PubMed:19419966). Interacts with DDX58, MAVS and TBK1 (PubMed:19419966). Interacts (via SH2 domain) with RACK1; the interaction is enhanced by tyrosine phosphorylation of RACK1 and inhibits SRC activity (PubMed:9584165, PubMed:11279199). Interacts with EPHB1; activates the MAPK/ERK cascade to regulate cell migration (PubMed:12925710). Interacts with FCAMR (PubMed:8759729). Interacts (via SH2 domain) with the 'Tyr-9' phosphorylated form of PDPK1 (PubMed:18024423). Interacts with AMOTL2; this interaction regulates the translocation of phosphorylated SRC to peripheral cell-matrix adhesion sites (PubMed:17293535). Interacts with TRAP1 (PubMed:23564345). Interacts with CBLC; the interaction is enhanced when SRC is phosphorylated at Tyr-419 (PubMed:14661060, PubMed:22888118). Interacts with ARHGEF5 (By similarity). Interacts (via cytoplasmic domain) with CEACAM1 (via SH2 domain); this interaction is regulated by trans-homophilic cell adhesion (PubMed:7478590). Interacts with MPP2 (PubMed:19665017). Interacts with PRR7 (PubMed:21460222). Interacts (via kinase domain and to a lesser extent the SH2 domain) directly with PDLIM4; this interaction results in PTPN13-mediated dephosphorylation of this protein leading to its inactivation (PubMed:19307596).
Post-translational Modifications: Myristoylated at Gly-2, and this is essential for targeting to membranes. Dephosphorylated at Tyr-530 by PTPRJ (By similarity). Phosphorylated on Tyr-530 by c-Src kinase (CSK). The phosphorylated form is termed pp60c-src. Dephosphorylated by PTPRJ at Tyr-419. Normally maintained in an inactive conformation with the SH2 domain engaged with Tyr-530, the SH3 domain engaged with the SH2-kinase linker, and Tyr-419 dephosphorylated. Dephosphorylation of Tyr-530 as a result of protein tyrosine phosphatase (PTP) action disrupts the intramolecular interaction between the SH2 domain and Tyr-530, Tyr-419 can then become autophosphorylated, resulting in SRC activation. Phosphorylation of Tyr-530 by CSK allows this interaction to reform, resulting in SRC inactivation. CDK5-mediated phosphorylation at Ser-75 targets SRC to ubiquitin-dependent degradation and thus leads to cytoskeletal reorganization. Phosphorylated by PTK2/FAK1; this enhances kinase activity. Phosphorylated by PTK2B/PYK2; this enhances kinase activity. S-nitrosylation is important for activation of its kinase activity. Ubiquitinated in response to CDK5-mediated phosphorylation. Ubiquitination mediated by CBLC requires SRC autophosphorylation at Tyr-419 and may lead to lysosomal degradation.
Similarity: The SH2 and SH3 domains are important for the intramolecular and intermolecular interactions that regulate catalytic activity, localization, and substrate recruitment. Belongs to the protein kinase superfamily. Tyr protein kinase family. SRC subfamily.
NCBI and Uniprot Product Information
Predicted: 60 kDa
Customer Reviews
Loading reviews...
Share Your Experience
Similar Products
Product Notes
The Src src (Catalog #AAA322221) is an Antibody produced from Rabbit and is intended for research purposes only. The product is available for immediate purchase. The Src Antibody reacts with Human, Mouse, Rat and may cross-react with other species as described in the data sheet. AAA Biotech's Src can be used in a range of immunoassay formats including, but not limited to, ELISA, ICC (Immunocytochemistry), IF (Immunofluorescence), IHC (Immunohistochemistry), WB (Western Blot). Researchers should empirically determine the suitability of the Src src for an application not listed in the data sheet. Researchers commonly develop new applications and it is an integral, important part of the investigative research process. It is sometimes possible for the material contained within the vial of "Src, Polyclonal Antibody" to become dispersed throughout the inside of the vial, particularly around the seal of said vial, during shipment and storage. We always suggest centrifuging these vials to consolidate all of the liquid away from the lid and to the bottom of the vial prior to opening. Please be advised that certain products may require dry ice for shipping and that, if this is the case, an additional dry ice fee may also be required.Precautions
All products in the AAA Biotech catalog are strictly for research-use only, and are absolutely not suitable for use in any sort of medical, therapeutic, prophylactic, in-vivo, or diagnostic capacity. By purchasing a product from AAA Biotech, you are explicitly certifying that said products will be properly tested and used in line with industry standard. AAA Biotech and its authorized distribution partners reserve the right to refuse to fulfill any order if we have any indication that a purchaser may be intending to use a product outside of our accepted criteria.Disclaimer
Though we do strive to guarantee the information represented in this datasheet, AAA Biotech cannot be held responsible for any oversights or imprecisions. AAA Biotech reserves the right to adjust any aspect of this datasheet at any time and without notice. It is the responsibility of the customer to inform AAA Biotech of any product performance issues observed or experienced within 30 days of receipt of said product. To see additional details on this or any of our other policies, please see our Terms & Conditions page.Item has been added to Shopping Cart
If you are ready to order, navigate to Shopping Cart and get ready to checkout.
