Rabbit SRSF10 Polyclonal Antibody | anti-SRSF10 antibody
SRSF10 Antibody - C-terminal region
WB (Western Blot)
(WB Suggested Anti-FUSIP1 Antibody Titration: 0.2-1 ug/mlPositive Control: HepG2 cell lysateFUSIP1 is supported by BioGPS gene expression data to be expressed in HepG2)
IHC (Immunohiostchemistry)
(Rabbit Anti-FUSIP1 AntibodyParaffin Embedded Tissue: Human LungCellular Data: Alveolar cellsAntibody Concentration: 4.0-8.0 ug/mlMagnification: 400)
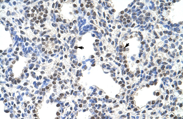
IHC (Immunohistochemistry)
(Rabbit Anti-FUSIP1 antibodyParaffin Embedded Tissue: Human Heart cell Cellular Data: cardiac cell of renal tubuleAntibody Concentration: 4.0-8.0 ug/mlMagnification: 400X)
Target Description: This gene product is a member of the serine-arginine (SR) family of proteins, which are involved in constitutive and regulated RNA splicing. Members of this family are characterized by N-terminal RNP1 and RNP2 motifs, which are required for binding to RNA, and multiple C-terminal SR/RS repeats, which are important in mediating association with other cellular proteins. This protein interacts with the oncoprotein TLS, and abrogates the influence of TLS on adenovirus E1A pre-mRNA splicing. This gene has pseudogenes on chromosomes 4, 9, 14, 18, and 20. Alternative splicing results in multiple transcript variants.
NCBI and Uniprot Product Information
Customer Reviews
Loading reviews...
Share Your Experience
Similar Products
Product Notes
The SRSF10 srsf10 (Catalog #AAA198819) is an Antibody produced from Rabbit and is intended for research purposes only. The product is available for immediate purchase. The SRSF10 Antibody - C-terminal region reacts with Guinea Pig, Horse, Human, Mouse, Rabbit, Rat and may cross-react with other species as described in the data sheet. AAA Biotech's SRSF10 can be used in a range of immunoassay formats including, but not limited to, WB (Western Blot), IHC (Immunohistochemistry). Researchers should empirically determine the suitability of the SRSF10 srsf10 for an application not listed in the data sheet. Researchers commonly develop new applications and it is an integral, important part of the investigative research process. The amino acid sequence is listed below: Synthetic peptide located within the following region: TDSKTHYKSG SRYEKESRKK EPPRSKSQSR SQSRSRSKSR SRSWTSPKSS. It is sometimes possible for the material contained within the vial of "SRSF10, Polyclonal Antibody" to become dispersed throughout the inside of the vial, particularly around the seal of said vial, during shipment and storage. We always suggest centrifuging these vials to consolidate all of the liquid away from the lid and to the bottom of the vial prior to opening. Please be advised that certain products may require dry ice for shipping and that, if this is the case, an additional dry ice fee may also be required.Precautions
All products in the AAA Biotech catalog are strictly for research-use only, and are absolutely not suitable for use in any sort of medical, therapeutic, prophylactic, in-vivo, or diagnostic capacity. By purchasing a product from AAA Biotech, you are explicitly certifying that said products will be properly tested and used in line with industry standard. AAA Biotech and its authorized distribution partners reserve the right to refuse to fulfill any order if we have any indication that a purchaser may be intending to use a product outside of our accepted criteria.Disclaimer
Though we do strive to guarantee the information represented in this datasheet, AAA Biotech cannot be held responsible for any oversights or imprecisions. AAA Biotech reserves the right to adjust any aspect of this datasheet at any time and without notice. It is the responsibility of the customer to inform AAA Biotech of any product performance issues observed or experienced within 30 days of receipt of said product. To see additional details on this or any of our other policies, please see our Terms & Conditions page.Item has been added to Shopping Cart
If you are ready to order, navigate to Shopping Cart and get ready to checkout.
