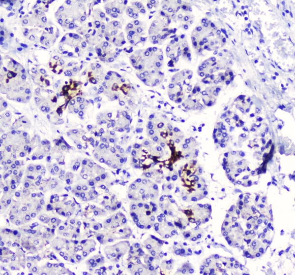
Rabbit anti-Mouse, Rat ST3GAL4 Polyclonal Antibody | anti-ST3GAL4 antibody
ST3GAL4 Polyclonal Antibody
Gene Names
ST3GAL4; STZ; SAT3; CGS23; SIAT4; NANTA3; SIAT4C; ST3GalIV
Reactivity
Mouse, Rat
Applications
Immunohistochemistry, Western Blot
Purity
Affinity purification
Synonyms
ST3GAL4, Antibody; ST3GAL4 Polyclonal Antibody; ST3GAL4; CGS23; NANTA3; SAT3; SIAT4; SIAT4C; ST-4; ST3GalA.2; ST3GalIV; STZ; gal-NAc6S; anti-ST3GAL4 antibody
Host
Rabbit
Reactivity
Mouse, Rat
Clonality
Polyclonal
Isotype
IgG
Purity/Purification
Affinity purification
Form/Format
PBS with 0.02% sodium azide, 50% glycerol, pH7.3
Concentration
1mg/mL (varies by lot)
Applicable Applications for anti-ST3GAL4 antibody
IHC (Immunohistochemistry), WB (Western Blot)
Immunogen
Recombinant fusion protein of human ST3GAL4 (NP_0062691)
Conjugation
Unconjugated
Preparation and Storage
Store at -20 degree C. Avoid freeze/thaw cycles.
Related Product Information for anti-ST3GAL4 antibody
This gene encodes a member of the glycosyltransferase 29 family, a group of enzymes involved in protein glycosylation. The encoded protein is targeted to Golgi membranes but may be proteolytically processed and secreted. The gene product may also be involved in the increased expression of sialyl Lewis X antigen seen in inflammatory responses. Multiple transcript variants encoding different isoforms have been found for this gene.
Product Categories/Family for anti-ST3GAL4 antibody
NCBI and Uniprot Product Information
NCBI GI #
NCBI GeneID
Molecular Weight
333
NCBI Official Full Name
CMP-N-acetylneuraminate-beta-galactosamide-alpha-2,3-sialyltransferase 4
NCBI Official Synonym Full Names
ST3 beta-galactoside alpha-2,3-sialyltransferase 4
NCBI Official Symbol
ST3GAL4
NCBI Official Synonym Symbols
STZ; SAT3; CGS23; SIAT4; NANTA3; SIAT4C; ST3GalIV
NCBI Protein Information
CMP-N-acetylneuraminate-beta-galactosamide-alpha-2,3-sialyltransferase 4; ST-4; SAT-3; SIAT4-C; ST3GalA.2; gal-NAc6S; alpha 2,3-ST 4; alpha 2,3-sialyltransferase IV; alpha-3-N-acetylneuraminyltransferase; beta-galactoside alpha-2,3-sialyltransferase 4; ga
UniProt Protein Name
CMP-N-acetylneuraminate-beta-galactosamide-alpha-2,3-sialyltransferase 4
UniProt Gene Name
ST3GAL4
UniProt Synonym Gene Names
CGS23; NANTA3; SIAT4C; STZ; Alpha 2,3-ST 4; Beta-galactoside alpha-2,3-sialyltransferase 4; ST3GalIV; SIAT4-C
UniProt Entry Name
SIA4C_HUMAN
Similar Products
Product Notes
The ST3GAL4 st3gal4 (Catalog #AAA177185) is an Antibody produced from Rabbit and is intended for research purposes only. The product is available for immediate purchase. The ST3GAL4 Polyclonal Antibody reacts with Mouse, Rat and may cross-react with other species as described in the data sheet. AAA Biotech's ST3GAL4 can be used in a range of immunoassay formats including, but not limited to, IHC (Immunohistochemistry), WB (Western Blot). Researchers should empirically determine the suitability of the ST3GAL4 st3gal4 for an application not listed in the data sheet. Researchers commonly develop new applications and it is an integral, important part of the investigative research process. It is sometimes possible for the material contained within the vial of "ST3GAL4, Polyclonal Antibody" to become dispersed throughout the inside of the vial, particularly around the seal of said vial, during shipment and storage. We always suggest centrifuging these vials to consolidate all of the liquid away from the lid and to the bottom of the vial prior to opening. Please be advised that certain products may require dry ice for shipping and that, if this is the case, an additional dry ice fee may also be required.Precautions
All products in the AAA Biotech catalog are strictly for research-use only, and are absolutely not suitable for use in any sort of medical, therapeutic, prophylactic, in-vivo, or diagnostic capacity. By purchasing a product from AAA Biotech, you are explicitly certifying that said products will be properly tested and used in line with industry standard. AAA Biotech and its authorized distribution partners reserve the right to refuse to fulfill any order if we have any indication that a purchaser may be intending to use a product outside of our accepted criteria.Disclaimer
Though we do strive to guarantee the information represented in this datasheet, AAA Biotech cannot be held responsible for any oversights or imprecisions. AAA Biotech reserves the right to adjust any aspect of this datasheet at any time and without notice. It is the responsibility of the customer to inform AAA Biotech of any product performance issues observed or experienced within 30 days of receipt of said product. To see additional details on this or any of our other policies, please see our Terms & Conditions page.Item has been added to Shopping Cart
If you are ready to order, navigate to Shopping Cart and get ready to checkout.
