anti-Rat, Mouse STAT5a Polyclonal Antibody | anti-STAT5a antibody
STAT5a Rabbit Polyclonal Antibody
Gene Names
STAT5A; STATA5; STAT5A/MGF
Reactivity
Rat, Mouse
Applications
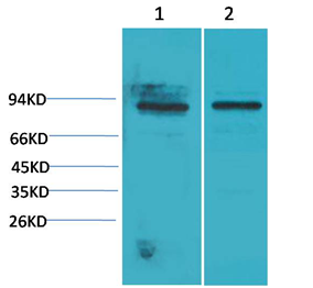
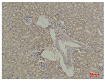
Immunohistochemistry, Western Blot
Synonyms
STAT5a, Antibody; STAT5a Rabbit Polyclonal Antibody; MGF antibody; STAT5 antibody; Signal transducer and activator of transcription 5A antibody; anti-STAT5a antibody
Reactivity
Rat, Mouse
Clonality
Polyclonal
Isotype
IgG
Specificity
Antibody can detects endogenous STAT5a protein.
Form/Format
PBS, pH 7.4, containing 0.02% sodium azide as Preservative and 50% Glycerol.
Sequence Length
86
Applicable Applications for anti-STAT5a antibody
IHC (Immunohistochemistry), WB (Western Blot)
Preparation and Storage
Store at-20 degree C for 1 year. Do not aliquot the antibody.
Related Product Information for anti-STAT5a antibody
Signal transducer and activator of transcription 5A is a protein that in humans is encoded by the STAT5A gene. Stat5a and Stat5b are independently regulated and activated in various cell types. For instance, interferon treatment predominantly activates Stat5a in U-937 cells and Stat5b in HeLa cells.
NCBI and Uniprot Product Information
NCBI GI #
NCBI GeneID
Molecular Weight
90KD
NCBI Official Full Name
Stat5a, partial
NCBI Official Synonym Full Names
signal transducer and activator of transcription 5A
NCBI Official Symbol
STAT5A
NCBI Official Synonym Symbols
STATA5; STAT5A/MGF
NCBI Protein Information
signal transducer and activator of transcription 5A
UniProt Protein Name
Signal transducer and activator of transcription 5A
UniProt Gene Name
STAT5A
UniProt Synonym Gene Names
MGF
Customer Reviews
Loading reviews...
Share Your Experience
Similar Products
Product Notes
The STAT5a stat5a (Catalog #AAA267862) is an Antibody and is intended for research purposes only. The product is available for immediate purchase. The STAT5a Rabbit Polyclonal Antibody reacts with Rat, Mouse and may cross-react with other species as described in the data sheet. AAA Biotech's STAT5a can be used in a range of immunoassay formats including, but not limited to, IHC (Immunohistochemistry), WB (Western Blot). Researchers should empirically determine the suitability of the STAT5a stat5a for an application not listed in the data sheet. Researchers commonly develop new applications and it is an integral, important part of the investigative research process. It is sometimes possible for the material contained within the vial of "STAT5a, Polyclonal Antibody" to become dispersed throughout the inside of the vial, particularly around the seal of said vial, during shipment and storage. We always suggest centrifuging these vials to consolidate all of the liquid away from the lid and to the bottom of the vial prior to opening. Please be advised that certain products may require dry ice for shipping and that, if this is the case, an additional dry ice fee may also be required.Precautions
All products in the AAA Biotech catalog are strictly for research-use only, and are absolutely not suitable for use in any sort of medical, therapeutic, prophylactic, in-vivo, or diagnostic capacity. By purchasing a product from AAA Biotech, you are explicitly certifying that said products will be properly tested and used in line with industry standard. AAA Biotech and its authorized distribution partners reserve the right to refuse to fulfill any order if we have any indication that a purchaser may be intending to use a product outside of our accepted criteria.Disclaimer
Though we do strive to guarantee the information represented in this datasheet, AAA Biotech cannot be held responsible for any oversights or imprecisions. AAA Biotech reserves the right to adjust any aspect of this datasheet at any time and without notice. It is the responsibility of the customer to inform AAA Biotech of any product performance issues observed or experienced within 30 days of receipt of said product. To see additional details on this or any of our other policies, please see our Terms & Conditions page.Item has been added to Shopping Cart
If you are ready to order, navigate to Shopping Cart and get ready to checkout.
