Rabbit anti-Human STK4 Polyclonal Antibody | anti-STK4 antibody
STK4 Antibody
Phosphate buffered saline, pH 7.4, 150mM NaCl, 0.02% sodium azide and 50% glycerol.
IHC (Immunohistochemistry)
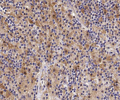
(AAA327285 at 1/100 staining human Lymph node tissue sections by IHC-P. The tissue was formaldehyde fixed and a heat mediated antigen retrieval step in citrate buffer was performed. The tissue was then blocked and incubated with the antibody for 1.5 hours at 22 degree C. An HRP conjugated goat anti-rabbit antibody was used as the secondary.)
Subunit Structure: Homodimer; mediated via the coiled-coil region. Interacts with NORE1, which inhibits autoactivation. Interacts with and stabilizes SAV1. Interacts with RASSF1. Interacts with FOXO3. Interacts with RASSF2 (via SARAH domain). Interacts with AR, PKB/AKT1, TNNI3 and SIRT1. Interacts with DLG5 (via PDZ domain 3). Interacts with MARK3 in the presence of DLG5 (PubMed:28087714). Interacts with SCRIB in the presence of DLG5 (PubMed:28169360).
Post-translational Modifications: Autophosphorylated on serine and threonine residues. Phosphorylation at Thr-387 by PKB/AKT1, leads to inhibition of its: kinase activity, nuclear translocation and autophosphorylation at Thr-183. It also diminishes its cleavage by caspases and its ability to phosphorylate FOXO3. Proteolytically cleaved by caspase-3 during apoptosis at Asp-326 and Asp-349 resulting in a 37 kDa or a 39 kDa subunit respectively. The 39 kDa subunit is further cleaved into the 37 kDa form. Proteolytic cleavage results in kinase activation and nuclear translocation of the truncated form (MST1/N). It is less likely that cleavage at Asp-349 is a prerequisite for activation as this site is not conserved in the murine ortholog.
Similarity: Belongs to the protein kinase superfamily. STE Ser/Thr protein kinase family. STE20 subfamily.
NCBI and Uniprot Product Information
Predicted: 56 kDa
Customer Reviews
Loading reviews...
Share Your Experience
Similar Products
Product Notes
The STK4 stk4 (Catalog #AAA327285) is an Antibody produced from Rabbit and is intended for research purposes only. The product is available for immediate purchase. The STK4 Antibody reacts with Human and may cross-react with other species as described in the data sheet. AAA Biotech's STK4 can be used in a range of immunoassay formats including, but not limited to, ELISA, IHC (Immunohistochemistry), WB (Western Blot). Researchers should empirically determine the suitability of the STK4 stk4 for an application not listed in the data sheet. Researchers commonly develop new applications and it is an integral, important part of the investigative research process. It is sometimes possible for the material contained within the vial of "STK4, Polyclonal Antibody" to become dispersed throughout the inside of the vial, particularly around the seal of said vial, during shipment and storage. We always suggest centrifuging these vials to consolidate all of the liquid away from the lid and to the bottom of the vial prior to opening. Please be advised that certain products may require dry ice for shipping and that, if this is the case, an additional dry ice fee may also be required.Precautions
All products in the AAA Biotech catalog are strictly for research-use only, and are absolutely not suitable for use in any sort of medical, therapeutic, prophylactic, in-vivo, or diagnostic capacity. By purchasing a product from AAA Biotech, you are explicitly certifying that said products will be properly tested and used in line with industry standard. AAA Biotech and its authorized distribution partners reserve the right to refuse to fulfill any order if we have any indication that a purchaser may be intending to use a product outside of our accepted criteria.Disclaimer
Though we do strive to guarantee the information represented in this datasheet, AAA Biotech cannot be held responsible for any oversights or imprecisions. AAA Biotech reserves the right to adjust any aspect of this datasheet at any time and without notice. It is the responsibility of the customer to inform AAA Biotech of any product performance issues observed or experienced within 30 days of receipt of said product. To see additional details on this or any of our other policies, please see our Terms & Conditions page.Item has been added to Shopping Cart
If you are ready to order, navigate to Shopping Cart and get ready to checkout.
