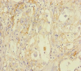
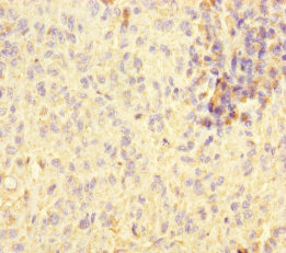
Rabbit anti-Human STOML2 Polyclonal Antibody | anti-STOML2 antibody
STOML2 Antibody
Gene Names
STOML2; SLP-2; HSPC108
Reactivity
Human
Applications
Immunohistochemistry, ELISA
Purity
Antigen Affinity Purified
Synonyms
STOML2, Antibody; STOML2 Antibody; Stomatin-like protein 2, mitochondrial; SLP-2; EPB72-like protein 2; Paraprotein target 7; Paratarg-7; STOML2; SLP2; HSPC108; anti-STOML2 antibody
Host
Rabbit
Reactivity
Human
Clonality
Polyclonal
Isotype
IgG
Purity/Purification
Antigen Affinity Purified
Form/Format
Liquid
Sequence Length
311
Applicable Applications for anti-STOML2 antibody
IHC (Immunohistochemistry), ELISA
Species
Human
Immunogen
Recombinant human Stomatin-like protein 2, mitochondrial protein (C-328AA)
Conjugate
Non-conjugated
Buffer
PBS with 0.02% sodium azide, 50% glycerol, pH7.3.
Santa Cruz Alternative
Potential replacement for Santa Cruz Biotechnology antibody catalog# sc-98709
Preparation and Storage
Shipped at 4 degree C. Upon delivery aliquot and store at -20 degree C or -80 degree C. Avoid repeated freeze.
Related Product Information for anti-STOML2 antibody
Mitochondrial protein that probably regulates the biogenesis and the activity of mitochondria. Stimulates cardiolipin biosynthesis, binds cardiolipin-enriched membranes where it recruits and stabilizes some proteins including prohibitin and may therefore act in the organization of functional microdomains in mitochondrial membranes. Through regulation of the mitochondrial function may play a role into several biological processes including cell migration, cell proliferation, T-cell activation, calcium homeostasis and cellular response to stress. May play a role in calcium homeostasis through negative regulation of calcium efflux from mitochondria. Required for mitochondrial hyperfusion a pro-survival cellular response to stress which results in increased ATP production by mitochondria. May also regulate the organization of functional domains at the plasma membrane and play a role in T-cell activation through association with the T-cell receptor signaling complex and its regulation.
NCBI and Uniprot Product Information
NCBI GI #
NCBI GeneID
NCBI Accession #
NCBI GenBank Nucleotide #
Molecular Weight
33,337 Da
NCBI Official Full Name
stomatin-like protein 2, mitochondrial isoform b
NCBI Official Synonym Full Names
stomatin like 2
NCBI Official Symbol
STOML2
NCBI Official Synonym Symbols
SLP-2; HSPC108
NCBI Protein Information
stomatin-like protein 2, mitochondrial
UniProt Protein Name
Stomatin-like protein 2, mitochondrial
UniProt Gene Name
STOML2
UniProt Synonym Gene Names
SLP2; SLP-2; Paratarg-7
UniProt Entry Name
STML2_HUMAN
Customer Reviews
Loading reviews...
Share Your Experience
Similar Products
Product Notes
The STOML2 stoml2 (Catalog #AAA231719) is an Antibody produced from Rabbit and is intended for research purposes only. The product is available for immediate purchase. The STOML2 Antibody reacts with Human and may cross-react with other species as described in the data sheet. AAA Biotech's STOML2 can be used in a range of immunoassay formats including, but not limited to, IHC (Immunohistochemistry), ELISA. Researchers should empirically determine the suitability of the STOML2 stoml2 for an application not listed in the data sheet. Researchers commonly develop new applications and it is an integral, important part of the investigative research process. It is sometimes possible for the material contained within the vial of "STOML2, Polyclonal Antibody" to become dispersed throughout the inside of the vial, particularly around the seal of said vial, during shipment and storage. We always suggest centrifuging these vials to consolidate all of the liquid away from the lid and to the bottom of the vial prior to opening. Please be advised that certain products may require dry ice for shipping and that, if this is the case, an additional dry ice fee may also be required.Precautions
All products in the AAA Biotech catalog are strictly for research-use only, and are absolutely not suitable for use in any sort of medical, therapeutic, prophylactic, in-vivo, or diagnostic capacity. By purchasing a product from AAA Biotech, you are explicitly certifying that said products will be properly tested and used in line with industry standard. AAA Biotech and its authorized distribution partners reserve the right to refuse to fulfill any order if we have any indication that a purchaser may be intending to use a product outside of our accepted criteria.Disclaimer
Though we do strive to guarantee the information represented in this datasheet, AAA Biotech cannot be held responsible for any oversights or imprecisions. AAA Biotech reserves the right to adjust any aspect of this datasheet at any time and without notice. It is the responsibility of the customer to inform AAA Biotech of any product performance issues observed or experienced within 30 days of receipt of said product. To see additional details on this or any of our other policies, please see our Terms & Conditions page.Item has been added to Shopping Cart
If you are ready to order, navigate to Shopping Cart and get ready to checkout.
