Rabbit SUCLG2 Polyclonal Antibody | anti-SUCLG2 antibody
SUCLG2 Polyclonal Antibody
Gene Names
SUCLG2; G-SCS; GBETA; GTPSCS
Reactivity
Human, Mouse, Rat
Applications
Immunofluorescence, Western Blot
Purity
Affinity purification
Synonyms
SUCLG2, Antibody; SUCLG2 Polyclonal Antibody; SUCLG2; G-SCS; GBETA; GTPSCS; succinate-CoA ligase GDP-forming beta subunit; anti-SUCLG2 antibody
Host
Rabbit
Reactivity
Human, Mouse, Rat
Clonality
Polyclonal
Isotype
IgG
Purity/Purification
Affinity purification
Form/Format
PBS with 50% glycerol, pH7.4
Sequence Length
432
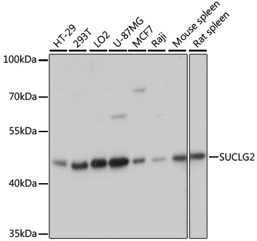
Applicable Applications for anti-SUCLG2 antibody
IF (Immunofluorescence), WB (Western Blot)
Immunogen
Recombinant fusion protein of human SUCLG2 (NP_003839.2).
Conjugation
Unconjugated
Preparation and Storage
Store at -20 degree C. Avoid freeze/thaw cycles.
IF (Immunofluorescence)
(Immunofluorescence analysis of U-2 OS cells using SUCLG2 Polyclonal Antibody.)
Related Product Information for anti-SUCLG2 antibody
This gene encodes a GTP-specific beta subunit of succinyl-CoA synthetase. Succinyl-CoA synthetase catalyzes the reversible reaction involving the formation of succinyl-CoA and succinate. Alternate splicing results in multiple transcript variants. Pseudogenes of this gene are found on chromosomes 5 and 12.
Product Categories/Family for anti-SUCLG2 antibody
NCBI and Uniprot Product Information
NCBI GI #
NCBI GeneID
NCBI Accession #
NCBI GenBank Nucleotide #
UniProt Accession #
Molecular Weight
47kDa
NCBI Official Full Name
succinate--CoA ligase
NCBI Official Synonym Full Names
succinate-CoA ligase GDP-forming subunit beta
NCBI Official Symbol
SUCLG2
NCBI Official Synonym Symbols
G-SCS; GBETA; GTPSCS
NCBI Protein Information
succinate--CoA ligase [GDP-forming] subunit beta, mitochondrial
UniProt Protein Name
Succinyl-CoA ligase [GDP-forming] subunit beta, mitochondrial
UniProt Gene Name
SUCLG2
UniProt Synonym Gene Names
SCS-betaG
UniProt Entry Name
SUCB2_HUMAN
Customer Reviews
Loading reviews...
Share Your Experience
Similar Products
Product Notes
The SUCLG2 suclg2 (Catalog #AAA311695) is an Antibody produced from Rabbit and is intended for research purposes only. The product is available for immediate purchase. The SUCLG2 Polyclonal Antibody reacts with Human, Mouse, Rat and may cross-react with other species as described in the data sheet. AAA Biotech's SUCLG2 can be used in a range of immunoassay formats including, but not limited to, IF (Immunofluorescence), WB (Western Blot). Researchers should empirically determine the suitability of the SUCLG2 suclg2 for an application not listed in the data sheet. Researchers commonly develop new applications and it is an integral, important part of the investigative research process. It is sometimes possible for the material contained within the vial of "SUCLG2, Polyclonal Antibody" to become dispersed throughout the inside of the vial, particularly around the seal of said vial, during shipment and storage. We always suggest centrifuging these vials to consolidate all of the liquid away from the lid and to the bottom of the vial prior to opening. Please be advised that certain products may require dry ice for shipping and that, if this is the case, an additional dry ice fee may also be required.Precautions
All products in the AAA Biotech catalog are strictly for research-use only, and are absolutely not suitable for use in any sort of medical, therapeutic, prophylactic, in-vivo, or diagnostic capacity. By purchasing a product from AAA Biotech, you are explicitly certifying that said products will be properly tested and used in line with industry standard. AAA Biotech and its authorized distribution partners reserve the right to refuse to fulfill any order if we have any indication that a purchaser may be intending to use a product outside of our accepted criteria.Disclaimer
Though we do strive to guarantee the information represented in this datasheet, AAA Biotech cannot be held responsible for any oversights or imprecisions. AAA Biotech reserves the right to adjust any aspect of this datasheet at any time and without notice. It is the responsibility of the customer to inform AAA Biotech of any product performance issues observed or experienced within 30 days of receipt of said product. To see additional details on this or any of our other policies, please see our Terms & Conditions page.Item has been added to Shopping Cart
If you are ready to order, navigate to Shopping Cart and get ready to checkout.
