Rabbit SUMO2 Polyclonal Antibody | anti-SUMO2 antibody
SUMO2 Antibody
Phosphate buffered saline, pH 7.4, 150mM NaCl, 0.02% sodium azide and 50% glycerol.
WB (Western Blot)
(Western blot analysis of Hela whole cell lysates, using SUMO2 Antibody. The lane on the left is treated with the antigen-specific peptide.)
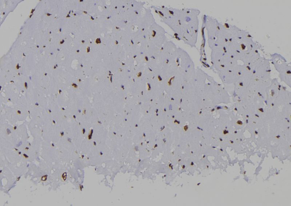
IHC (Immunohistochemistry)
(AAA326773 at 1/100 staining Human heart tissue by IHC-P. The sample was formaldehyde fixed and a heat mediated antigen retrieval step in citrate buffer was performed. The sample was then blocked and incubated with the antibody for 1.5 hours at 22 degree C. An HRP conjugated goat anti-rabbit antibody was used as the secondary.)
Function: Ubiquitin-like protein that can be covalently attached to proteins as a monomer or as a lysine-linked polymer. Covalent attachment via an isopeptide bond to its substrates requires prior activation by the E1 complex SAE1-SAE2 and linkage to the E2 enzyme UBE2I, and can be promoted by an E3 ligase such as PIAS1-4, RANBP2, CBX4 or ZNF451 (PubMed:26524494). This post-translational modification on lysine residues of proteins plays a crucial role in a number of cellular processes such as nuclear transport, DNA replication and repair, mitosis and signal transduction. Polymeric SUMO2 chains are also susceptible to polyubiquitination which functions as a signal for proteasomal degradation of modified proteins (PubMed:18408734, PubMed:18538659, PubMed:21965678, PubMed:9556629). Plays a role in the regulation of sumoylation status of SETX (PubMed:24105744).
Subunit Structure: Interacts with SAE2 and UBE2I. Interacts with ZNF451. Identified in a complex with ZNF451 and UBE2I/UBC9, where one ZNF451 interacts with one UBE2I/UBC9 and two SUMO2 chains, one bound to the UBE2I/UBC9 active site and the other to another region of the same UBE2I/UBC9 molecule. Covalently attached to a number of proteins. Interacts with PELP1. Interacts with USP25; the interaction sumoylates USP25. Interacts with SIMC1, CASP8AP2, RNF111 AND SOBP (via SIM domains). Interacts with MTA1. Interacts with Epstein-barr virus BGLF4.
Post-translational Modifications: Polymeric chains can be formed through Lys-11 cross-linking. Polymeric SUMO2 chains undergo 'Lys-6'-, 'Lys-11'-, 'Lys-48'-and 'Lys-63'-linked polyubiquitination by RNF4. Cleavage of precursor form by SENP1 or SENP2 is necessary for function. Monoubiquitinated N-terminally by UBE2W, which primes it for RNF4-dependent polyubiquitination by the UBE2V1-UBE2N heterodimer.
Similarity: Belongs to the ubiquitin family. SUMO subfamily.
NCBI and Uniprot Product Information
Predicted: 11 kDa
Customer Reviews
Loading reviews...
Share Your Experience
Similar Products
Product Notes
The SUMO2 sumo2 (Catalog #AAA326773) is an Antibody produced from Rabbit and is intended for research purposes only. The product is available for immediate purchase. The SUMO2 Antibody reacts with Human, Mouse, Rat and may cross-react with other species as described in the data sheet. AAA Biotech's SUMO2 can be used in a range of immunoassay formats including, but not limited to, ELISA, IHC (Immunohistochemistry), WB (Western Blot). Researchers should empirically determine the suitability of the SUMO2 sumo2 for an application not listed in the data sheet. Researchers commonly develop new applications and it is an integral, important part of the investigative research process. It is sometimes possible for the material contained within the vial of "SUMO2, Polyclonal Antibody" to become dispersed throughout the inside of the vial, particularly around the seal of said vial, during shipment and storage. We always suggest centrifuging these vials to consolidate all of the liquid away from the lid and to the bottom of the vial prior to opening. Please be advised that certain products may require dry ice for shipping and that, if this is the case, an additional dry ice fee may also be required.Precautions
All products in the AAA Biotech catalog are strictly for research-use only, and are absolutely not suitable for use in any sort of medical, therapeutic, prophylactic, in-vivo, or diagnostic capacity. By purchasing a product from AAA Biotech, you are explicitly certifying that said products will be properly tested and used in line with industry standard. AAA Biotech and its authorized distribution partners reserve the right to refuse to fulfill any order if we have any indication that a purchaser may be intending to use a product outside of our accepted criteria.Disclaimer
Though we do strive to guarantee the information represented in this datasheet, AAA Biotech cannot be held responsible for any oversights or imprecisions. AAA Biotech reserves the right to adjust any aspect of this datasheet at any time and without notice. It is the responsibility of the customer to inform AAA Biotech of any product performance issues observed or experienced within 30 days of receipt of said product. To see additional details on this or any of our other policies, please see our Terms & Conditions page.Item has been added to Shopping Cart
If you are ready to order, navigate to Shopping Cart and get ready to checkout.
