Rabbit anti-Human SUPT4H1 Polyclonal Antibody | anti-SUPT4H1 antibody
SUPT4H1 Antibody
Gene Names
SUPT4H1; SPT4; SPT4H; SUPT4H; Supt4a
Reactivity
Human
Applications
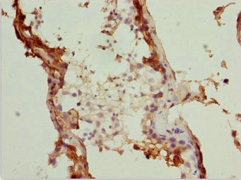
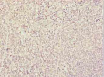
Immunohistochemistry, ELISA
Purity
Antigen Affinity Purified
Synonyms
SUPT4H1, Antibody; SUPT4H1 Antibody; Transcription elongation factor SPT4; hSPT4; DRB sensitivity-inducing factor 14 kDa subunit; DSIF p14; DRB sensitivity-inducing factor small subunit; DSIF small subunit; SUPT4H1; SPT4H; SUPT4H; anti-SUPT4H1 antibody
Host
Rabbit
Reactivity
Human
Clonality
Polyclonal
Isotype
IgG
Purity/Purification
Antigen Affinity Purified
Form/Format
Liquid
Sequence Length
117
Applicable Applications for anti-SUPT4H1 antibody
IHC (Immunohistochemistry), ELISA
Species
Human
Immunogen
Recombinant human Transcription elongation factor SPT4 protein (1-117AA)
Conjugate
Non-conjugated
Buffer
PBS with 0.02% sodium azide, 50% glycerol, pH7.3.
Santa Cruz Alternative
Potential replacement for Santa Cruz Biotechnology antibody catalog# sc-13834 / sc-13835 / sc-28677
Preparation and Storage
Shipped at 4 degree C. Upon delivery aliquot and store at -20 degree C or -80 degree C. Avoid repeated freeze.
Related Product Information for anti-SUPT4H1 antibody
Component of the DRB sensitivity-inducing factor complex (DSIF complex), which regulates mRNA processing and transcription elongation by RNA polymerase II. DSIF positively regulates mRNA capping by stimulating the mRNA guanylyltransferase activity of RNGTT/CAP1A. DSIF also acts cooperatively with the negative elongation factor complex (NELF complex) to enhance transcriptional pausing at sites proximal to the promoter. Transcriptional pausing may facilitate the assembly of an elongation competent RNA polymerase II complex. DSIF and NELF promote pausing by inhibition of the transcription elongation factor TFIIS/S-II. TFIIS/S-II binds to RNA polymerase II at transcription pause sites and stimulates the weak intrinsic nuclease activity of the enzyme. Cleavage of blocked transcripts by RNA polymerase II promotes the resumption of transcription from the new 3' terminus and may allow repeated attempts at transcription through natural pause sites. DSIF can also positively regulate transcriptional elongation and is required for the efficient activation of transcriptional elongation by the HIV-1 nuclear transcriptional activator, Tat. DSIF acts to suppress transcriptional pausing in transcripts derived from the HIV-1 LTR and blocks premature release of HIV-1 transcripts at terminator sequences.
NCBI and Uniprot Product Information
NCBI GI #
NCBI GeneID
NCBI Accession #
NCBI GenBank Nucleotide #
Molecular Weight
13,193 Da
NCBI Official Full Name
transcription elongation factor SPT4
NCBI Official Synonym Full Names
SPT4 homolog, DSIF elongation factor subunit
NCBI Official Symbol
SUPT4H1
NCBI Official Synonym Symbols
SPT4; SPT4H; SUPT4H; Supt4a
NCBI Protein Information
transcription elongation factor SPT4
UniProt Protein Name
Transcription elongation factor SPT4
UniProt Gene Name
SUPT4H1
UniProt Synonym Gene Names
SPT4H; SUPT4H; hSPT4; DSIF p14; DSIF small subunit
UniProt Entry Name
SPT4H_HUMAN
Customer Reviews
Loading reviews...
Share Your Experience
Similar Products
Product Notes
The SUPT4H1 supt4h1 (Catalog #AAA230984) is an Antibody produced from Rabbit and is intended for research purposes only. The product is available for immediate purchase. The SUPT4H1 Antibody reacts with Human and may cross-react with other species as described in the data sheet. AAA Biotech's SUPT4H1 can be used in a range of immunoassay formats including, but not limited to, IHC (Immunohistochemistry), ELISA. Researchers should empirically determine the suitability of the SUPT4H1 supt4h1 for an application not listed in the data sheet. Researchers commonly develop new applications and it is an integral, important part of the investigative research process. It is sometimes possible for the material contained within the vial of "SUPT4H1, Polyclonal Antibody" to become dispersed throughout the inside of the vial, particularly around the seal of said vial, during shipment and storage. We always suggest centrifuging these vials to consolidate all of the liquid away from the lid and to the bottom of the vial prior to opening. Please be advised that certain products may require dry ice for shipping and that, if this is the case, an additional dry ice fee may also be required.Precautions
All products in the AAA Biotech catalog are strictly for research-use only, and are absolutely not suitable for use in any sort of medical, therapeutic, prophylactic, in-vivo, or diagnostic capacity. By purchasing a product from AAA Biotech, you are explicitly certifying that said products will be properly tested and used in line with industry standard. AAA Biotech and its authorized distribution partners reserve the right to refuse to fulfill any order if we have any indication that a purchaser may be intending to use a product outside of our accepted criteria.Disclaimer
Though we do strive to guarantee the information represented in this datasheet, AAA Biotech cannot be held responsible for any oversights or imprecisions. AAA Biotech reserves the right to adjust any aspect of this datasheet at any time and without notice. It is the responsibility of the customer to inform AAA Biotech of any product performance issues observed or experienced within 30 days of receipt of said product. To see additional details on this or any of our other policies, please see our Terms & Conditions page.Item has been added to Shopping Cart
If you are ready to order, navigate to Shopping Cart and get ready to checkout.
