Rabbit anti-Human SUV39H1 Polyclonal Antibody | anti-SUV39H1 antibody
SUV39H1 Antibody
Phosphate buffered saline, pH 7.4, 150mM NaCl, 0.02% sodium azide and 50% glycerol.
IHC (Immunohiostchemistry)
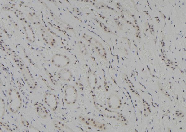
(AAA327489 at 1/100 staining Human kidney tissue by IHC-P. The sample was formaldehyde fixed and a heat mediated antigen retrieval step in citrate buffer was performed. The sample was then blocked and incubated with the antibody for 1.5 hours at 22 degree C. An HRP conjugated goat anti-rabbit antibody was used as the secondary.)
Subunit Structure: Interacts with H3 and H4 histones. Interacts with GFI1B, DNMT3B, CBX1, CBX4, CCAR2, MBD1, RUNX1, RUNX3, MYOD1, SMAD5 and RB1. Interacts with SBF1 through the SET domain. Interacts with HDAC1 and HDAC2 through the N-terminus and associates with the core histone deacetylase complex composed of HDAC1, HDAC2, RBBP4 and RBBP7. Component of the eNoSC complex, composed of SIRT1, SUV39H1 and RRP8. In case of infection, interacts with HTLV-1 Tax protein, leading to abrogate Tax transactivation of HTLV-1 LTR. Interacts (via SET domain) with MECOM; enhances MECOM transcriptional repression activity. Interacts with LMNA; the interaction increases stability of SUV39H1. The large PER complex involved in the histone methylation is composed of at least PER2, CBX3, TRIM28, SUV39H1 and/or SUV39H2; CBX3 mediates the formation of the complex.
Post-translational Modifications: Phosphorylated on serine residues, and to a lesser degree, on threonine residues. The phosphorylated form is stabilized by SBF1 and is less active in its transcriptional repressor function. Acetylated at Lys-266, leading to inhibition of enzyme activity. SIRT1-mediated deacetylation relieves this inhibition.
Similarity: Although the SET domain contains the active site of enzymatic activity, both pre-SET and post-SET domains are required for methyltransferase activity. The SET domain also participates in stable binding to heterochromatin.In the pre-SET domain, Cys residues bind 3 zinc ions that are arranged in a triangular cluster; some of these Cys residues contribute to the binding of two zinc ions within the cluster. Belongs to the class V-like SAM-binding methyltransferase superfamily. Histone-lysine methyltransferase family. Suvar3-9 subfamily.
NCBI and Uniprot Product Information
Predicted: 48 kDa
Customer Reviews
Loading reviews...
Share Your Experience
Similar Products
Product Notes
The SUV39H1 suv39h1 (Catalog #AAA327489) is an Antibody produced from Rabbit and is intended for research purposes only. The product is available for immediate purchase. The SUV39H1 Antibody reacts with Human and may cross-react with other species as described in the data sheet. AAA Biotech's SUV39H1 can be used in a range of immunoassay formats including, but not limited to, ELISA, IHC (Immunohistochemistry), WB (Western Blot). Researchers should empirically determine the suitability of the SUV39H1 suv39h1 for an application not listed in the data sheet. Researchers commonly develop new applications and it is an integral, important part of the investigative research process. It is sometimes possible for the material contained within the vial of "SUV39H1, Polyclonal Antibody" to become dispersed throughout the inside of the vial, particularly around the seal of said vial, during shipment and storage. We always suggest centrifuging these vials to consolidate all of the liquid away from the lid and to the bottom of the vial prior to opening. Please be advised that certain products may require dry ice for shipping and that, if this is the case, an additional dry ice fee may also be required.Precautions
All products in the AAA Biotech catalog are strictly for research-use only, and are absolutely not suitable for use in any sort of medical, therapeutic, prophylactic, in-vivo, or diagnostic capacity. By purchasing a product from AAA Biotech, you are explicitly certifying that said products will be properly tested and used in line with industry standard. AAA Biotech and its authorized distribution partners reserve the right to refuse to fulfill any order if we have any indication that a purchaser may be intending to use a product outside of our accepted criteria.Disclaimer
Though we do strive to guarantee the information represented in this datasheet, AAA Biotech cannot be held responsible for any oversights or imprecisions. AAA Biotech reserves the right to adjust any aspect of this datasheet at any time and without notice. It is the responsibility of the customer to inform AAA Biotech of any product performance issues observed or experienced within 30 days of receipt of said product. To see additional details on this or any of our other policies, please see our Terms & Conditions page.Item has been added to Shopping Cart
If you are ready to order, navigate to Shopping Cart and get ready to checkout.
