Rabbit anti-Human SYCE3 Polyclonal Antibody | anti-SYCE3 antibody
SYCE3 Antibody
Gene Names
SYCE3; THEG2; C22orf41
Reactivity
Human
Applications
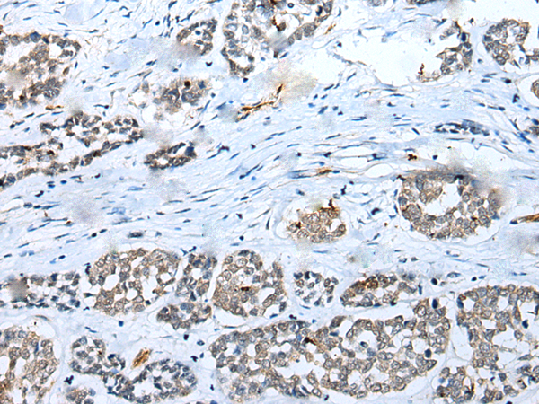
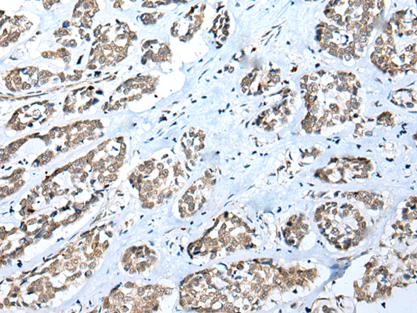
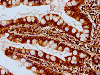
Immunohistochemistry
Purity
Antigen Affinity Purification
Synonyms
SYCE3, Antibody; SYCE3 Antibody; THEG2; C22orf41; anti-SYCE3 antibody
Host
Rabbit
Reactivity
Human
Clonality
Polyclonal
Specificity
The antibody detects endogenous levels of total SYCE3 protein.
Purity/Purification
Antigen Affinity Purification
Form/Format
Rabbit IgG in pH7.4 PBS, 0.05% NaN3, 40% Glycerol.
Concentration
1.7 mg/ml (varies by lot)
Sequence Length
88
Applicable Applications for anti-SYCE3 antibody
IHC (Immunohistochemistry)
Immunogen
Full length fusion protein of human SYCE3
Immunogen Type
Protein
Preparation and Storage
Store at -20 degree C
Related Product Information for anti-SYCE3 antibody
Major component of the transverse central element of synaptonemal complexes (SCS), formed between homologous chromosomes during meiotic prophase. Required for chromosome loading of the central element-specific SCS proteins, and for initiating synapsis between homologous chromosomes.Chromosome loading appears to require SYCP1. Required for fertility (By similarity).
Product Categories/Family for anti-SYCE3 antibody
NCBI and Uniprot Product Information
NCBI GI #
NCBI GeneID
NCBI Accession #
NCBI GenBank Nucleotide #
UniProt Accession #
Molecular Weight
10,601 Da
NCBI Official Full Name
synaptonemal complex central element protein 3
NCBI Official Synonym Full Names
synaptonemal complex central element protein 3
NCBI Official Symbol
SYCE3
NCBI Official Synonym Symbols
THEG2; C22orf41
NCBI Protein Information
synaptonemal complex central element protein 3
UniProt Protein Name
Synaptonemal complex central element protein 3
UniProt Gene Name
SYCE3
UniProt Synonym Gene Names
C22orf41; THEG2; THEG-2
UniProt Entry Name
SYCE3_HUMAN
Customer Reviews
Loading reviews...
Share Your Experience
Similar Products
Product Notes
The SYCE3 syce3 (Catalog #AAA309121) is an Antibody produced from Rabbit and is intended for research purposes only. The product is available for immediate purchase. The SYCE3 Antibody reacts with Human and may cross-react with other species as described in the data sheet. AAA Biotech's SYCE3 can be used in a range of immunoassay formats including, but not limited to, IHC (Immunohistochemistry). Researchers should empirically determine the suitability of the SYCE3 syce3 for an application not listed in the data sheet. Researchers commonly develop new applications and it is an integral, important part of the investigative research process. It is sometimes possible for the material contained within the vial of "SYCE3, Polyclonal Antibody" to become dispersed throughout the inside of the vial, particularly around the seal of said vial, during shipment and storage. We always suggest centrifuging these vials to consolidate all of the liquid away from the lid and to the bottom of the vial prior to opening. Please be advised that certain products may require dry ice for shipping and that, if this is the case, an additional dry ice fee may also be required.Precautions
All products in the AAA Biotech catalog are strictly for research-use only, and are absolutely not suitable for use in any sort of medical, therapeutic, prophylactic, in-vivo, or diagnostic capacity. By purchasing a product from AAA Biotech, you are explicitly certifying that said products will be properly tested and used in line with industry standard. AAA Biotech and its authorized distribution partners reserve the right to refuse to fulfill any order if we have any indication that a purchaser may be intending to use a product outside of our accepted criteria.Disclaimer
Though we do strive to guarantee the information represented in this datasheet, AAA Biotech cannot be held responsible for any oversights or imprecisions. AAA Biotech reserves the right to adjust any aspect of this datasheet at any time and without notice. It is the responsibility of the customer to inform AAA Biotech of any product performance issues observed or experienced within 30 days of receipt of said product. To see additional details on this or any of our other policies, please see our Terms & Conditions page.Item has been added to Shopping Cart
If you are ready to order, navigate to Shopping Cart and get ready to checkout.
