Rabbit SYK Polyclonal Antibody | anti-SYK antibody
SYK Antibody
Phosphate buffered saline, pH 7.4, 150mM NaCl, 0.02% sodium azide and 50% glycerol.
WB (Western Blot)
(Western blot analysis of extracts of Raji, using SYK antibody. The lane on the left is treated with the antigen-specific peptide.)
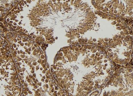
IHC (Immunohiostchemistry)
(AAA326606 at 1/100 staining Mouse testis tissue by IHC-P. The sample was formaldehyde fixed and a heat mediated antigen retrieval step in citrate buffer was performed. The sample was then blocked and incubated with the antibody for 1.5 hours at 22 degree C. An HRP conjugated goat anti-rabbit antibody was used as the secondary.)
IF (Immunofluorescence)
(AAA326606 staining COS7 by IF/ICC. The sample were fixed with PFA and permeabilized in 0.1% Triton X-100, then blocked in 10% serum for 45 minutes at 25 degree C. The primary antibody was diluted at 1/200 and incubated with the sample for 1 hour at 37 degree C. An Alexa Fluor 594 conjugated goat anti-rabbit IgG (H+L) Ab, diluted at 1/600, was used as the secondary antibody.)
Function: Non-receptor tyrosine kinase which mediates signal transduction downstream of a variety of transmembrane receptors including classical immunoreceptors like the B-cell receptor (BCR). Regulates several biological processes including innate and adaptive immunity, cell adhesion, osteoclast maturation, platelet activation and vascular development. Assembles into signaling complexes with activated receptors at the plasma membrane via interaction between its SH2 domains and the receptor tyrosine-phosphorylated ITAM domains. The association with the receptor can also be indirect and mediated by adapter proteins containing ITAM or partial hemITAM domains. The phosphorylation of the ITAM domains is generally mediated by SRC subfamily kinases upon engagement of the receptor. More rarely signal transduction via SYK could be ITAM-independent. Direct downstream effectors phosphorylated by SYK include VAV1, PLCG1, PI-3-kinase, LCP2 and BLNK. Initially identified as essential in B-cell receptor (BCR) signaling, it is necessary for the maturation of B-cells most probably at the pro-B to pre-B transition. Activated upon BCR engagement, it phosphorylates and activates BLNK an adapter linking the activated BCR to downstream signaling adapters and effectors. It also phosphorylates and activates PLCG1 and the PKC signaling pathway. It also phosphorylates BTK and regulates its activity in B-cell antigen receptor (BCR)-coupled signaling. In addition to its function downstream of BCR plays also a role in T-cell receptor signaling. Plays also a crucial role in the innate immune response to fungal, bacterial and viral pathogens. It is for instance activated by the membrane lectin CLEC7A. Upon stimulation by fungal proteins, CLEC7A together with SYK activates immune cells inducing the production of ROS. Also activates the inflammasome and NF-kappa-B-mediated transcription of chemokines and cytokines in presence of pathogens. Regulates neutrophil degranulation and phagocytosis through activation of the MAPK signaling cascade. Also mediates the activation of dendritic cells by cell necrosis stimuli. Also involved in mast cells activation. Also functions downstream of receptors mediating cell adhesion. Relays for instance, integrin-mediated neutrophils and macrophages activation and P-selectin receptor/SELPG-mediated recruitment of leukocytes to inflammatory loci. Plays also a role in non-immune processes. It is for instance involved in vascular development where it may regulate blood and lymphatic vascular separation. It is also required for osteoclast development and function. Functions in the activation of platelets by collagen, mediating PLCG2 phosphorylation and activation. May be coupled to the collagen receptor by the ITAM domain-containing FCER1G. Also activated by the membrane lectin CLEC1B that is required for activation of platelets by PDPN/podoplanin. Involved in platelet adhesion being activated by ITGB3 engaged by fibrinogen. Together with CEACAM20, enhances production of the cytokine CXCL8/IL-8 via the NFKB pathway and may thus have a role in the intestinal immune response (By similarity).
Subunit Structure: Interacts with LYN; phosphorylates SYK (By similarity). Interacts with RHOH (phosphorylated); regulates mast cells activation (By similarity). Interacts with NFAM1 (phosphorylated); probably involved in BCR signaling (By similarity). Interacts with VAV1 (via SH2 domain); phosphorylates VAV1 upon BCR activation. Interacts with GAB2 (phosphorylated); probably involved in IgE Fc receptor signaling (By similarity). Interacts (via its SH2 domains) with CD79A (via its phosphorylated ITAM domain); the interaction stimulates SYK autophosphorylation and activation (By similarity). Interacts with FCRL3 (PubMed:19843936, PubMed:11162587). Interacts (via SH2 domains) with FCER1G (via ITAM domain); activates SYK and mediates neutrophils and macrophages integrin-mediated activation (By similarity). Interacts with ITGB2 and FGR; involved in ITGB2 downstream signaling (By similarity). Interacts with ITGB3; upon activation by ITGB3 promotes platelet adhesion. Interacts (via SH2 domains) with TYROBP (via ITAM domain); involved in neutrophils and macrophages integrin-mediated activation (By similarity). Interacts with MSN and SELPLG; mediates the selectin-dependent activation of SYK by SELPLG. Interacts with BLNK (via SH2 domain). Interacts (via the second SH2 domain) with USP25 (via C-terminus); phosphorylates USP25 and regulates USP25 intracellular levels. Interacts (via SH2 domains) with CLEC1B (dimer). Interacts with CLEC7A; participates in leukocyte activation in presence of fungal pathogens. Interacts (phosphorylated) with SLA; may regulate SYK through CBL recruitment. Interacts with YWHAG; attenuates BCR-induced membrane translocation and activation of SYK. Interacts with Epstein-Barr virus LMP2A. Interacts (via SH2 domains) with GCSAM; the interaction increases after B-cell receptor stimulation, resulting in enhanced SYK autophosphorylation and activity. Interacts with TNS2; leading to the phosphorylation of SYK (PubMed:22019427). Interacts with FLNA (via filamin repeat 5); docks SYK to the plasma membrane (PubMed:20713593). Interacts with CEACAM1; lipopolysaccharide activated neutrophils induce phosphorylation of SYK resulting in the formation of a complex including TLR4 and the phosphorylated form of SYK and CEACAM1, which in turn, recruits PTPN6 that dephosphorylates SYK, reducing the production of reactive oxygen species (ROS) and lysosome disruption, leading to a reduction of the inflammasome activity (By similarity). Interacts (via SH2 domains) with CEACAM20 (phosphorylated form); the interaction further enhances CEACAM20 phosphorylation (By similarity).
Post-translational Modifications: Ubiquitinated by CBLB after BCR activation; which promotes proteasomal degradation. Autophosphorylated. Phosphorylated on tyrosine residues by LYN following receptors engagement. Phosphorylation on Tyr-323 creates a binding site for CBL, an adapter protein that serves as a negative regulator of BCR-stimulated calcium ion signaling. Phosphorylation at Tyr-348 creates a binding site for VAV1. Phosphorylation on Tyr-348 and Tyr-352 enhances the phosphorylation and activation of phospholipase C-gamma and the early phase of calcium ion mobilization via a phosphoinositide 3-kinase-independent pathway (By similarity). Phosphorylation on Ser-297 is very common, it peaks 5 minutes after BCR stimulation, and creates a binding site for YWHAG. Phosphorylation at Tyr-630 creates a binding site for BLNK. Dephosphorylated by PTPN6.
Similarity: The SH2 domains mediate the interaction of SYK with the phosphorylated ITAM domains of transmembrane proteins. Some proteins like CLEC1B have a partial ITAM domain (also called hemITAM) containing a single YxxL motif. The interaction with SYK requires CLEC1B homodimerization. Belongs to the protein kinase superfamily. Tyr protein kinase family. SYK/ZAP-70 subfamily.
NCBI and Uniprot Product Information
Predicted: 73 kDa
Customer Reviews
Loading reviews...
Share Your Experience
Similar Products
Product Notes
The SYK syk (Catalog #AAA326606) is an Antibody produced from Rabbit and is intended for research purposes only. The product is available for immediate purchase. The SYK Antibody reacts with Human, Mouse, Rat, Monkey and may cross-react with other species as described in the data sheet. AAA Biotech's SYK can be used in a range of immunoassay formats including, but not limited to, ELISA, ICC (Immunocytochemistry), IF (Immunofluorescence), IHC (Immunohistochemistry), WB (Western Blot). Researchers should empirically determine the suitability of the SYK syk for an application not listed in the data sheet. Researchers commonly develop new applications and it is an integral, important part of the investigative research process. It is sometimes possible for the material contained within the vial of "SYK, Polyclonal Antibody" to become dispersed throughout the inside of the vial, particularly around the seal of said vial, during shipment and storage. We always suggest centrifuging these vials to consolidate all of the liquid away from the lid and to the bottom of the vial prior to opening. Please be advised that certain products may require dry ice for shipping and that, if this is the case, an additional dry ice fee may also be required.Precautions
All products in the AAA Biotech catalog are strictly for research-use only, and are absolutely not suitable for use in any sort of medical, therapeutic, prophylactic, in-vivo, or diagnostic capacity. By purchasing a product from AAA Biotech, you are explicitly certifying that said products will be properly tested and used in line with industry standard. AAA Biotech and its authorized distribution partners reserve the right to refuse to fulfill any order if we have any indication that a purchaser may be intending to use a product outside of our accepted criteria.Disclaimer
Though we do strive to guarantee the information represented in this datasheet, AAA Biotech cannot be held responsible for any oversights or imprecisions. AAA Biotech reserves the right to adjust any aspect of this datasheet at any time and without notice. It is the responsibility of the customer to inform AAA Biotech of any product performance issues observed or experienced within 30 days of receipt of said product. To see additional details on this or any of our other policies, please see our Terms & Conditions page.Item has been added to Shopping Cart
If you are ready to order, navigate to Shopping Cart and get ready to checkout.
