Rabbit SYK Polyclonal Antibody | anti-SYK antibody
SYK Polyclonal Antibody
Gene Names
Syk; Sykb
Reactivity
Human, Mouse, Rat
Applications
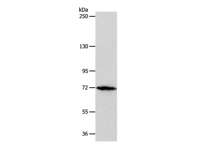
Immunohistochemistry, Western Blot, ELISA
Purity
Antigen affinity purification
Synonyms
SYK, Antibody; SYK Polyclonal Antibody; p72-Syk; anti-SYK antibody
Host
Rabbit
Reactivity
Human, Mouse, Rat
Clonality
Polyclonal
Isotype
IgG
Purity/Purification
Antigen affinity purification
Concentration
0.8mg/mL (varies by lot)
Sequence Length
629
Applicable Applications for anti-SYK antibody
IHC (Immunohistochemistry), WB (Western Blot), ELISA
Immunogen
Recombinant protein of human SYK
Buffer
PBS with 0.05% sodium azide, 50% glycerol, pH7.3
Preparation and Storage
Store at -20 degree C (regular) and -80 degree C (long term). Avoid freeze / thaw cycles.
Related Product Information for anti-SYK antibody
This gene encodes a member of the family of non-receptor type Tyr protein kinases. This protein is widely expressed in hematopoietic cells and is involved in coupling activated immunoreceptors to downstream signaling events that mediate diverse cellular responses, including proliferation, differentiation, and phagocytosis. It is thought to be a modulator of epithelial cell growth and a potential tumour suppressor in human breast carcinomas. Alternatively spliced transcript variants encoding different isoforms have been found for this gene.
Product Categories/Family for anti-SYK antibody
NCBI and Uniprot Product Information
NCBI GI #
NCBI GeneID
Molecular Weight
71,376 Da
NCBI Official Full Name
SYK
NCBI Official Synonym Full Names
spleen tyrosine kinase
NCBI Official Symbol
Syk
NCBI Official Synonym Symbols
Sykb
NCBI Protein Information
tyrosine-protein kinase SYK
UniProt Protein Name
Tyrosine-protein kinase SYK
UniProt Gene Name
Syk
UniProt Synonym Gene Names
ptk72; Sykb
UniProt Entry Name
KSYK_MOUSE
Similar Products
Product Notes
The SYK syk (Catalog #AAA166978) is an Antibody produced from Rabbit and is intended for research purposes only. The product is available for immediate purchase. The SYK Polyclonal Antibody reacts with Human, Mouse, Rat and may cross-react with other species as described in the data sheet. AAA Biotech's SYK can be used in a range of immunoassay formats including, but not limited to, IHC (Immunohistochemistry), WB (Western Blot), ELISA. Researchers should empirically determine the suitability of the SYK syk for an application not listed in the data sheet. Researchers commonly develop new applications and it is an integral, important part of the investigative research process. It is sometimes possible for the material contained within the vial of "SYK, Polyclonal Antibody" to become dispersed throughout the inside of the vial, particularly around the seal of said vial, during shipment and storage. We always suggest centrifuging these vials to consolidate all of the liquid away from the lid and to the bottom of the vial prior to opening. Please be advised that certain products may require dry ice for shipping and that, if this is the case, an additional dry ice fee may also be required.Precautions
All products in the AAA Biotech catalog are strictly for research-use only, and are absolutely not suitable for use in any sort of medical, therapeutic, prophylactic, in-vivo, or diagnostic capacity. By purchasing a product from AAA Biotech, you are explicitly certifying that said products will be properly tested and used in line with industry standard. AAA Biotech and its authorized distribution partners reserve the right to refuse to fulfill any order if we have any indication that a purchaser may be intending to use a product outside of our accepted criteria.Disclaimer
Though we do strive to guarantee the information represented in this datasheet, AAA Biotech cannot be held responsible for any oversights or imprecisions. AAA Biotech reserves the right to adjust any aspect of this datasheet at any time and without notice. It is the responsibility of the customer to inform AAA Biotech of any product performance issues observed or experienced within 30 days of receipt of said product. To see additional details on this or any of our other policies, please see our Terms & Conditions page.Item has been added to Shopping Cart
If you are ready to order, navigate to Shopping Cart and get ready to checkout.
