Rabbit T-type Ca++ CP alpha1H Polyclonal Antibody | anti-CACNA1H antibody
T-type Ca++ CP alpha1H Polyclonal Antibody
Gene Names
CACNA1H; ECA6; EIG6; Cav3.2; CACNA1HB
Reactivity
Human, Mouse, Rat
Applications
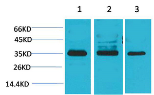
Western Blot
Synonyms
T-type Ca++ CP alpha1H, Antibody; T-type Ca++ CP alpha1H Polyclonal Antibody; CACNA1H; Voltage-dependent T-type calcium channel subunit alpha-1H; Low-voltage-activated calcium channel alpha1 3.2 subunit; Voltage-gated calcium channel subunit alpha Cav3.2; anti-CACNA1H antibody
Host
Rabbit
Reactivity
Human, Mouse, Rat
Clonality
Polyclonal
Applicable Applications for anti-CACNA1H antibody
WB (Western Blot)
Preparation and Storage
Maintain refrigerated at 2-8 degree C for up to 2 weeks. For long term storage store at -20 degree C in small aliquots to prevent freeze-thaw cycles.
Related Product Information for anti-CACNA1H antibody
Voltage-sensitive calcium channel that gives rise to T- type calcium currents. T-type calcium channels belong to the "low- voltage activated (LVA)" group. A particularity of this type of channel is an opening at quite negative potentials, and a voltage- dependent inactivation (PubMed:9930755, PubMed:27149520). T-type channels serve pacemaking functions in both central neurons and cardiac nodal cells and support calcium signaling in secretory cells and vascular smooth muscle (Probable). They may also be involved in the modulation of firing patterns of neurons (PubMed:27729216).
NCBI and Uniprot Product Information
NCBI GI #
NCBI GeneID
NCBI Accession #
NCBI GenBank Nucleotide #
Molecular Weight
259,163 Da
NCBI Official Full Name
voltage-dependent T-type calcium channel subunit alpha-1H isoform b
NCBI Official Synonym Full Names
calcium channel, voltage-dependent, T type, alpha 1H subunit
NCBI Official Symbol
CACNA1H
NCBI Official Synonym Symbols
ECA6; EIG6; Cav3.2; CACNA1HB
NCBI Protein Information
voltage-dependent T-type calcium channel subunit alpha-1H; voltage-gated calcium channel alpha subunit Cav3.2; voltage-gated calcium channel alpha subunit CavT.2; voltage-gated calcium channel subunit alpha Cav3.2; low-voltage-activated calcium channel al
UniProt Protein Name
Voltage-dependent T-type calcium channel subunit alpha-1H
UniProt Gene Name
CACNA1H
UniProt Entry Name
CAC1H_HUMAN
Customer Reviews
Loading reviews...
Share Your Experience
Similar Products
Product Notes
The CACNA1H cacna1h (Catalog #AAA295959) is an Antibody produced from Rabbit and is intended for research purposes only. The product is available for immediate purchase. The T-type Ca++ CP alpha1H Polyclonal Antibody reacts with Human, Mouse, Rat and may cross-react with other species as described in the data sheet. AAA Biotech's T-type Ca++ CP alpha1H can be used in a range of immunoassay formats including, but not limited to, WB (Western Blot). Researchers should empirically determine the suitability of the CACNA1H cacna1h for an application not listed in the data sheet. Researchers commonly develop new applications and it is an integral, important part of the investigative research process. It is sometimes possible for the material contained within the vial of "T-type Ca++ CP alpha1H, Polyclonal Antibody" to become dispersed throughout the inside of the vial, particularly around the seal of said vial, during shipment and storage. We always suggest centrifuging these vials to consolidate all of the liquid away from the lid and to the bottom of the vial prior to opening. Please be advised that certain products may require dry ice for shipping and that, if this is the case, an additional dry ice fee may also be required.Precautions
All products in the AAA Biotech catalog are strictly for research-use only, and are absolutely not suitable for use in any sort of medical, therapeutic, prophylactic, in-vivo, or diagnostic capacity. By purchasing a product from AAA Biotech, you are explicitly certifying that said products will be properly tested and used in line with industry standard. AAA Biotech and its authorized distribution partners reserve the right to refuse to fulfill any order if we have any indication that a purchaser may be intending to use a product outside of our accepted criteria.Disclaimer
Though we do strive to guarantee the information represented in this datasheet, AAA Biotech cannot be held responsible for any oversights or imprecisions. AAA Biotech reserves the right to adjust any aspect of this datasheet at any time and without notice. It is the responsibility of the customer to inform AAA Biotech of any product performance issues observed or experienced within 30 days of receipt of said product. To see additional details on this or any of our other policies, please see our Terms & Conditions page.Item has been added to Shopping Cart
If you are ready to order, navigate to Shopping Cart and get ready to checkout.
