Rabbit TAC1 Polyclonal Antibody | anti-TAC1 antibody
TAC1 Polyclonal Antibody
Gene Names
TAC1; NK2; NPK; NKNA; TAC2; Hs.2563
Reactivity
Human, Mouse, Rat
Applications
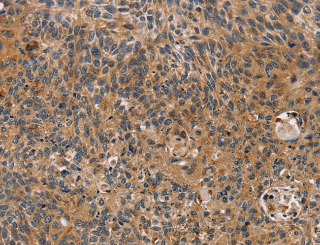
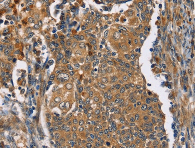
Immunohistochemistry, ELISA
Purity
Antigen affinity purification
Synonyms
TAC1, Antibody; TAC1 Polyclonal Antibody; NK2; NPK; NKNA; TAC2; Hs.2563; anti-TAC1 antibody
Host
Rabbit
Reactivity
Human, Mouse, Rat
Clonality
Polyclonal
Isotype
IgG
Purity/Purification
Antigen affinity purification
Concentration
1.5mg/mL (varies by lot)
Sequence Length
129
Applicable Applications for anti-TAC1 antibody
IHC (Immunohistochemistry), ELISA
Immunogen
Recombinant protein of human TAC1
Buffer
PBS with 0.05% sodium azide, 50% glycerol, pH7.3
Preparation and Storage
Store at -20 degree C (regular) and -80 degree C (long term). Avoid freeze / thaw cycles.
Related Product Information for anti-TAC1 antibody
This gene encodes four products of the tachykinin peptide hormone family, substance P and neurokinin A, as well as the related peptides, neuropeptide K and neuropeptide gamma. These hormones are thought to function as neurotransmitters which interact with nerve receptors and smooth muscle cells. They are known to induce behavioral responses and function as vasodilators and secretagogues. Multiple transcript variants encoding different isoforms have been found for this gene.
Product Categories/Family for anti-TAC1 antibody
NCBI and Uniprot Product Information
NCBI GI #
NCBI GeneID
Molecular Weight
11,376 Da
NCBI Official Full Name
TAC1
NCBI Official Synonym Full Names
tachykinin, precursor 1
NCBI Official Symbol
TAC1
NCBI Official Synonym Symbols
NK2; NPK; NKNA; TAC2; Hs.2563
NCBI Protein Information
protachykinin-1; PPT; neurokinin 1; neurokinin 2; neurokinin A; neurokinin alpha; neuromedin L; neuropeptide K; neuropeptide gamma; preprotachykinin; substance K; substance P; tachykinin 2; tachykinin, precursor 1 (substance K, substance P, neurokinin 1, neurokinin 2, neuromedin L, neurokinin alpha, neuropeptide K, neuropeptide gamma)
UniProt Protein Name
Protachykinin-1
UniProt Gene Name
TAC1
UniProt Synonym Gene Names
NKA; NKNA; TAC2; NKA; NPK
UniProt Entry Name
TKN1_HUMAN
Similar Products
ANP Antibody
Host: Mouse
Reactivity: Human
Apps: Immunohistochemistry, immunoassay, Radioimmunoassay
ANP Antibody
Host: Mouse
Reactivity: Human
Apps: Immunohistochemistry, immunoassay, Radioimmunoassay
ANP Antibody
Host: Mouse
Reactivity: Human
Apps: Immunohistochemistry, immunoassay, Radioimmunoassay
ANP Antibody
Host: Mouse
Reactivity: Human
Apps: Immunohistochemistry, immunoassay, Radioimmunoassay
Product Notes
The TAC1 tac1 (Catalog #AAA166858) is an Antibody produced from Rabbit and is intended for research purposes only. The product is available for immediate purchase. The TAC1 Polyclonal Antibody reacts with Human, Mouse, Rat and may cross-react with other species as described in the data sheet. AAA Biotech's TAC1 can be used in a range of immunoassay formats including, but not limited to, IHC (Immunohistochemistry), ELISA. Researchers should empirically determine the suitability of the TAC1 tac1 for an application not listed in the data sheet. Researchers commonly develop new applications and it is an integral, important part of the investigative research process. It is sometimes possible for the material contained within the vial of "TAC1, Polyclonal Antibody" to become dispersed throughout the inside of the vial, particularly around the seal of said vial, during shipment and storage. We always suggest centrifuging these vials to consolidate all of the liquid away from the lid and to the bottom of the vial prior to opening. Please be advised that certain products may require dry ice for shipping and that, if this is the case, an additional dry ice fee may also be required.Precautions
All products in the AAA Biotech catalog are strictly for research-use only, and are absolutely not suitable for use in any sort of medical, therapeutic, prophylactic, in-vivo, or diagnostic capacity. By purchasing a product from AAA Biotech, you are explicitly certifying that said products will be properly tested and used in line with industry standard. AAA Biotech and its authorized distribution partners reserve the right to refuse to fulfill any order if we have any indication that a purchaser may be intending to use a product outside of our accepted criteria.Disclaimer
Though we do strive to guarantee the information represented in this datasheet, AAA Biotech cannot be held responsible for any oversights or imprecisions. AAA Biotech reserves the right to adjust any aspect of this datasheet at any time and without notice. It is the responsibility of the customer to inform AAA Biotech of any product performance issues observed or experienced within 30 days of receipt of said product. To see additional details on this or any of our other policies, please see our Terms & Conditions page.Item has been added to Shopping Cart
If you are ready to order, navigate to Shopping Cart and get ready to checkout.
