Rabbit TBL1 Polyclonal Antibody | anti-TBL1X antibody
TBL1 Antibody
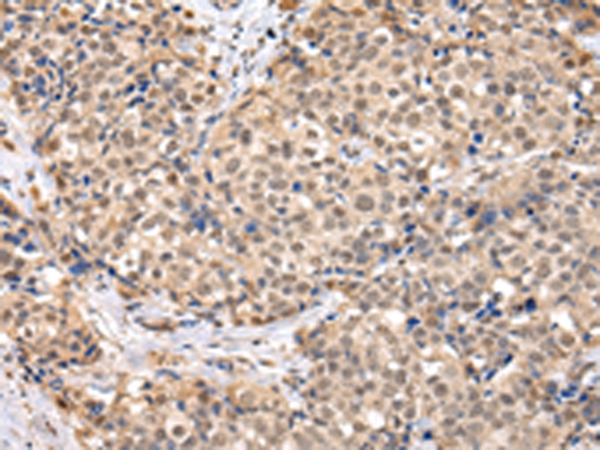
IHC (Immunohiostchemistry)
(AAA329011 at 1/100 staining Mouse lung tissue by IHC-P. The sample was formaldehyde fixed and a heat mediated antigen retrieval step in citrate buffer was performed. The sample was then blocked and incubated with the primary antibody at 4°C overnight. An HRP conjugated anti-Rabbit antibody was used as the secondary antibody.)
WB (Western Blot)
(Western blot analysis of extracts from Hela cells, using TBL1 Antibody. The lane on the left was treated with blocking peptide.)
Subcellular Location: Nucleus. Note: Colocalized with MECP2 to the heterochromatin foci.
Tissue Specificity: Ubiquitous.
Subunit Structure: Homotetramer; dimer of dimers (PubMed:21240272). Component of the N-Cor repressor complex, at least composed of NCOR1, NCOR2, HDAC3, TBL1X, TBL1R, CORO2A and GPS2 (PubMed:10809664, PubMed:21240272). Interacts with GPS2 (when sumoylated); leading to protect GPS2 against degradation by the proteasome (PubMed:24943844). Component of a E3 ubiquitin ligase complex containing UBE2D1, SIAH1, CACYBP/SIP, SKP1, APC and TBL1X (PubMed:11389839). Probably part of other corepressor complexes, that do not contain NCOR1 and NCOR2. Interacts with histones H2B, H3a and H4. Interacts with MECP2; recruits TBL1X to the heterochromatin foci (By similarity).
Similarity: The F-box-like domain is related to the F-box domain, and apparently displays the same function as component of ubiquitin E3 ligase complexes.Belongs to the WD repeat EBI family.
NCBI and Uniprot Product Information
Predicted Molecular Weight: (Calculated)62kDa.
Customer Reviews
Loading reviews...
Share Your Experience
Similar Products
Product Notes
The TBL1X tbl1x (Catalog #AAA329011) is an Antibody produced from Rabbit and is intended for research purposes only. The product is available for immediate purchase. The TBL1 Antibody reacts with Human, Mouse, Rat and may cross-react with other species as described in the data sheet. AAA Biotech's TBL1 can be used in a range of immunoassay formats including, but not limited to, ELISA. Researchers should empirically determine the suitability of the TBL1X tbl1x for an application not listed in the data sheet. Researchers commonly develop new applications and it is an integral, important part of the investigative research process. It is sometimes possible for the material contained within the vial of "TBL1, Polyclonal Antibody" to become dispersed throughout the inside of the vial, particularly around the seal of said vial, during shipment and storage. We always suggest centrifuging these vials to consolidate all of the liquid away from the lid and to the bottom of the vial prior to opening. Please be advised that certain products may require dry ice for shipping and that, if this is the case, an additional dry ice fee may also be required.Precautions
All products in the AAA Biotech catalog are strictly for research-use only, and are absolutely not suitable for use in any sort of medical, therapeutic, prophylactic, in-vivo, or diagnostic capacity. By purchasing a product from AAA Biotech, you are explicitly certifying that said products will be properly tested and used in line with industry standard. AAA Biotech and its authorized distribution partners reserve the right to refuse to fulfill any order if we have any indication that a purchaser may be intending to use a product outside of our accepted criteria.Disclaimer
Though we do strive to guarantee the information represented in this datasheet, AAA Biotech cannot be held responsible for any oversights or imprecisions. AAA Biotech reserves the right to adjust any aspect of this datasheet at any time and without notice. It is the responsibility of the customer to inform AAA Biotech of any product performance issues observed or experienced within 30 days of receipt of said product. To see additional details on this or any of our other policies, please see our Terms & Conditions page.Item has been added to Shopping Cart
If you are ready to order, navigate to Shopping Cart and get ready to checkout.
