Rabbit TBX19 Polyclonal Antibody | anti-TBX19 antibody
TBX19 antibody - N-terminal region
Gene Names
TBX19; TPIT; TBS19; dJ747L4.1
Reactivity
Cow, Dog, Guinea Pig, Horse, Human, Mouse, Rabbit, Rat, Zebrafish
Applications
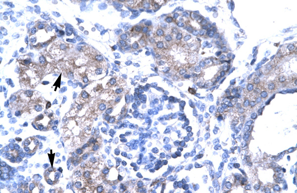
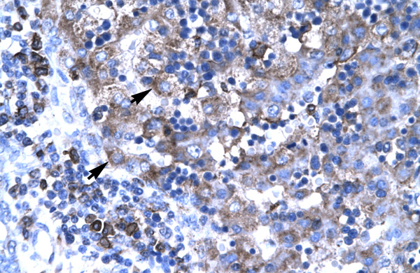
Western Blot, Immunohistochemistry
Purity
Protein A purified
Synonyms
TBX19, Antibody; TBX19 antibody - N-terminal region; anti-TBX19 antibody
Host
Rabbit
Reactivity
Cow, Dog, Guinea Pig, Horse, Human, Mouse, Rabbit, Rat, Zebrafish
Clonality
Polyclonal
Purity/Purification
Protein A purified
Form/Format
Liquid. Purified antibody supplied in 1x PBS buffer with 0.09% (w/v) sodium azide and 2% sucrose.
Sequence
Synthetic peptide located within the following region: KPSDGTVSHLLNVVESELQAGREKGDPTEKQLQIILEDAPLWQRFKEVTN
Sequence Length
448
Applicable Applications for anti-TBX19 antibody
WB (Western Blot), IHC (Immunohistochemistry)
Homology
Cow: 100%; Dog: 100%; Guinea Pig: 100%; Horse: 100%; Human: 100%; Mouse: 100%; Rabbit: 100%; Rat: 100%; Zebrafish: 100%
Immunogen
The immunogen is a synthetic peptide directed towards the N terminal region of human TBX19
Preparation and Storage
For short term use, store at 2-8 degree C up to 1 week. For long term storage, store at -20 degree C in small aliquots to prevent freeze-thaw cycles.
Related Product Information for anti-TBX19 antibody
This is a rabbit polyclonal antibody against TBX19. It was validated on Western Blot and immunohistochemistry
Target Description: TBX19 is a member of a phylogenetically conserved family of genes that share a common DNA-binding domain, the T-box. T-box genes encode transcription factors involved in the regulation of developmental processes. TBX19 is the human ortholog of mouse Tbx19/Tpit gene. Studies in mouse show that Tpit protein is present only in the two pituitary pro-opiomelanocortin (POMC)-expressing lineages, the corticotrophs and melanotrophs. Mutations in the human ortholog were found in patients with isolated deficiency of pituitary POMC-derived ACTH, suggesting an essential role for this gene in differentiation of the pituitary POMC lineage.
Target Description: TBX19 is a member of a phylogenetically conserved family of genes that share a common DNA-binding domain, the T-box. T-box genes encode transcription factors involved in the regulation of developmental processes. TBX19 is the human ortholog of mouse Tbx19/Tpit gene. Studies in mouse show that Tpit protein is present only in the two pituitary pro-opiomelanocortin (POMC)-expressing lineages, the corticotrophs and melanotrophs. Mutations in the human ortholog were found in patients with isolated deficiency of pituitary POMC-derived ACTH, suggesting an essential role for this gene in differentiation of the pituitary POMC lineage.
Product Categories/Family for anti-TBX19 antibody
NCBI and Uniprot Product Information
NCBI GI #
NCBI GeneID
NCBI Accession #
NCBI GenBank Nucleotide #
UniProt Accession #
Molecular Weight
48kDa
NCBI Official Full Name
T-box transcription factor TBX19
NCBI Official Synonym Full Names
T-box 19
NCBI Official Symbol
TBX19
NCBI Official Synonym Symbols
TPIT; TBS19; dJ747L4.1
NCBI Protein Information
T-box transcription factor TBX19
UniProt Protein Name
T-box transcription factor TBX19
UniProt Gene Name
TBX19
UniProt Synonym Gene Names
TPIT; T-box protein 19
UniProt Entry Name
TBX19_HUMAN
Customer Reviews
Loading reviews...
Share Your Experience
Similar Products
Product Notes
The TBX19 tbx19 (Catalog #AAA197344) is an Antibody produced from Rabbit and is intended for research purposes only. The product is available for immediate purchase. The TBX19 antibody - N-terminal region reacts with Cow, Dog, Guinea Pig, Horse, Human, Mouse, Rabbit, Rat, Zebrafish and may cross-react with other species as described in the data sheet. AAA Biotech's TBX19 can be used in a range of immunoassay formats including, but not limited to, WB (Western Blot), IHC (Immunohistochemistry). Researchers should empirically determine the suitability of the TBX19 tbx19 for an application not listed in the data sheet. Researchers commonly develop new applications and it is an integral, important part of the investigative research process. The amino acid sequence is listed below: Synthetic peptide located within the following region: KPSDGTVSHL LNVVESELQA GREKGDPTEK QLQIILEDAP LWQRFKEVTN. It is sometimes possible for the material contained within the vial of "TBX19, Polyclonal Antibody" to become dispersed throughout the inside of the vial, particularly around the seal of said vial, during shipment and storage. We always suggest centrifuging these vials to consolidate all of the liquid away from the lid and to the bottom of the vial prior to opening. Please be advised that certain products may require dry ice for shipping and that, if this is the case, an additional dry ice fee may also be required.Precautions
All products in the AAA Biotech catalog are strictly for research-use only, and are absolutely not suitable for use in any sort of medical, therapeutic, prophylactic, in-vivo, or diagnostic capacity. By purchasing a product from AAA Biotech, you are explicitly certifying that said products will be properly tested and used in line with industry standard. AAA Biotech and its authorized distribution partners reserve the right to refuse to fulfill any order if we have any indication that a purchaser may be intending to use a product outside of our accepted criteria.Disclaimer
Though we do strive to guarantee the information represented in this datasheet, AAA Biotech cannot be held responsible for any oversights or imprecisions. AAA Biotech reserves the right to adjust any aspect of this datasheet at any time and without notice. It is the responsibility of the customer to inform AAA Biotech of any product performance issues observed or experienced within 30 days of receipt of said product. To see additional details on this or any of our other policies, please see our Terms & Conditions page.Item has been added to Shopping Cart
If you are ready to order, navigate to Shopping Cart and get ready to checkout.
