Rabbit anti-Human TCEB3B Polyclonal Antibody | anti-TCEB3B antibody
TCEB3B Antibody
Gene Names
TCEB3B; ELOA2; HsT832; TCEB3L
Reactivity
Human
Applications
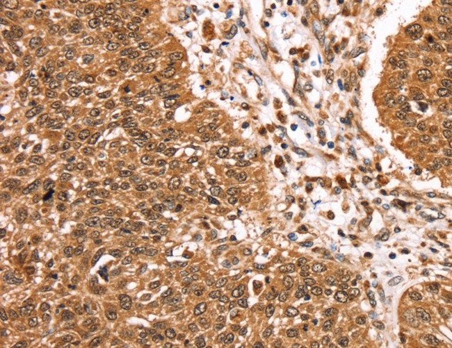
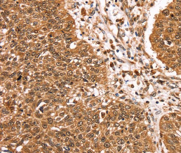
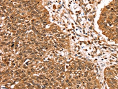
Immunohistochemistry
Purity
Antigen affinity purification.
Synonyms
TCEB3B, Antibody; TCEB3B Antibody; ELOA2; HsT832; TCEB3L; anti-TCEB3B antibody
Host
Rabbit
Reactivity
Human
Clonality
Polyclonal
Specificity
The antibody detects endogenous levels of total TCEB3B protein.
Purity/Purification
Antigen affinity purification.
Form/Format
Rabbit IgG in pH7.4 PBS, 0.05% NaN3, 40% Glycerol.
Concentration
1.6 mg/ml (varies by lot)
Sequence Length
753
Applicable Applications for anti-TCEB3B antibody
IHC (Immunohistochemistry)
Immunogen Type
Peptide
Immunogen Description
Synthetic peptide corresponding to a region derived from internal residues of human transcription elongation factor B polypeptide 3B (elongin A2)
Target Name
TCEB3B
Preparation and Storage
Store at -20 degree C
Related Product Information for anti-TCEB3B antibody
This gene encodes the transcriptionally active subunit of the SIII (or elongin) transcription elongation factor complex, which also includes two regulatory subunits, elongins B and C. This complex acts to increase the rate of RNA chain elongation by RNA polymerase II by suppressing transient pausing of the polymerase at many sites along the DNA template. Whereas a related protein with similar function, elongin A, is ubiquitously expressed, the encoded protein is specifically expressed in the testis, suggesting it may have a role in spermatogenesis.
Product Categories/Family for anti-TCEB3B antibody
NCBI and Uniprot Product Information
NCBI GI #
NCBI GeneID
NCBI Accession #
NCBI GenBank Nucleotide #
Molecular Weight
83,921 Da
NCBI Official Full Name
RNA polymerase II transcription factor SIII subunit A2
NCBI Official Synonym Full Names
transcription elongation factor B polypeptide 3B (elongin A2)
NCBI Official Symbol
TCEB3B
NCBI Official Synonym Symbols
ELOA2; HsT832; TCEB3L
NCBI Protein Information
RNA polymerase II transcription factor SIII subunit A2
UniProt Protein Name
RNA polymerase II transcription factor SIII subunit A2
UniProt Gene Name
TCEB3B
UniProt Synonym Gene Names
TCEB3L; EloA2
UniProt Entry Name
ELOA2_HUMAN
Customer Reviews
Loading reviews...
Share Your Experience
Similar Products
Product Notes
The TCEB3B tceb3b (Catalog #AAA303819) is an Antibody produced from Rabbit and is intended for research purposes only. The product is available for immediate purchase. The TCEB3B Antibody reacts with Human and may cross-react with other species as described in the data sheet. AAA Biotech's TCEB3B can be used in a range of immunoassay formats including, but not limited to, IHC (Immunohistochemistry). Researchers should empirically determine the suitability of the TCEB3B tceb3b for an application not listed in the data sheet. Researchers commonly develop new applications and it is an integral, important part of the investigative research process. It is sometimes possible for the material contained within the vial of "TCEB3B, Polyclonal Antibody" to become dispersed throughout the inside of the vial, particularly around the seal of said vial, during shipment and storage. We always suggest centrifuging these vials to consolidate all of the liquid away from the lid and to the bottom of the vial prior to opening. Please be advised that certain products may require dry ice for shipping and that, if this is the case, an additional dry ice fee may also be required.Precautions
All products in the AAA Biotech catalog are strictly for research-use only, and are absolutely not suitable for use in any sort of medical, therapeutic, prophylactic, in-vivo, or diagnostic capacity. By purchasing a product from AAA Biotech, you are explicitly certifying that said products will be properly tested and used in line with industry standard. AAA Biotech and its authorized distribution partners reserve the right to refuse to fulfill any order if we have any indication that a purchaser may be intending to use a product outside of our accepted criteria.Disclaimer
Though we do strive to guarantee the information represented in this datasheet, AAA Biotech cannot be held responsible for any oversights or imprecisions. AAA Biotech reserves the right to adjust any aspect of this datasheet at any time and without notice. It is the responsibility of the customer to inform AAA Biotech of any product performance issues observed or experienced within 30 days of receipt of said product. To see additional details on this or any of our other policies, please see our Terms & Conditions page.Item has been added to Shopping Cart
If you are ready to order, navigate to Shopping Cart and get ready to checkout.
