Rabbit anti-Human, Mouse TENM3 Polyclonal Antibody | anti-TENM3 antibody
TENM3 Antibody
Gene Names
TENM3; ODZ3; TNM3; ten-3; Ten-m3; MCOPCB9
Reactivity
Human, Mouse
Applications
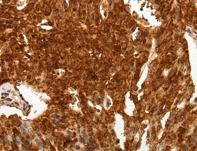
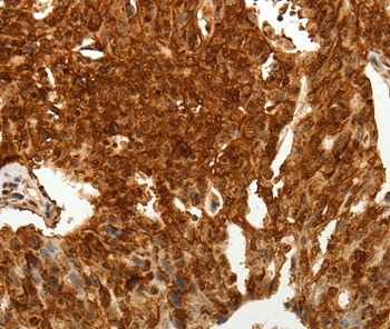
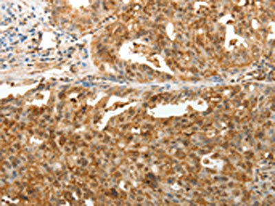
Immunohistochemistry
Purity
Antigen affinity purification.
Synonyms
TENM3, Antibody; TENM3 Antibody; ODZ3; TNM3; Ten-m3; anti-TENM3 antibody
Host
Rabbit
Reactivity
Human, Mouse
Clonality
Polyclonal
Specificity
The antibody detects endogenous levels of total TENM3 protein.
Purity/Purification
Antigen affinity purification.
Form/Format
Rabbit IgG in pH7.4 PBS, 0.05% NaN3, 40% Glycerol.
Concentration
1.7 mg/ml (varies by lot)
Sequence Length
2699
Applicable Applications for anti-TENM3 antibody
IHC (Immunohistochemistry)
Immunogen Type
Peptide
Immunogen Description
Synthetic peptide corresponding to a region derived from internal residues of human teneurin transmembrane protein 3
Target Name
TENM3
Preparation and Storage
Store at -20 degree C
Related Product Information for anti-TENM3 antibody
This protein involved in neural development, regulating the establishment of proper connectivity within the nervous system. It promotes axon guidance and homophilic cell adhesion. And it plays a role in the development of the visual pathway; regulates the formation in ipsilateral retinal mapping to both the dorsal lateral geniculate nucleus (dLGN) and the superior colliculus (SC). May be involved in the differentiation of the fibroblast-like cells in the superficial layer of mandibular condylar cartilage into chondrocytes.
Product Categories/Family for anti-TENM3 antibody
NCBI and Uniprot Product Information
NCBI GI #
NCBI GeneID
NCBI Accession #
NCBI GenBank Nucleotide #
Molecular Weight
300,950 Da
NCBI Official Full Name
teneurin-3
NCBI Official Synonym Full Names
teneurin transmembrane protein 3
NCBI Official Symbol
TENM3
NCBI Official Synonym Symbols
ODZ3; TNM3; ten-3; Ten-m3; MCOPCB9
NCBI Protein Information
teneurin-3
UniProt Protein Name
Teneurin-3
UniProt Gene Name
TENM3
UniProt Synonym Gene Names
KIAA1455; ODZ3; TNM3; Ten-3; Ten-m3
UniProt Entry Name
TEN3_HUMAN
Customer Reviews
Loading reviews...
Share Your Experience
Similar Products
Product Notes
The TENM3 tenm3 (Catalog #AAA307696) is an Antibody produced from Rabbit and is intended for research purposes only. The product is available for immediate purchase. The TENM3 Antibody reacts with Human, Mouse and may cross-react with other species as described in the data sheet. AAA Biotech's TENM3 can be used in a range of immunoassay formats including, but not limited to, IHC (Immunohistochemistry). Researchers should empirically determine the suitability of the TENM3 tenm3 for an application not listed in the data sheet. Researchers commonly develop new applications and it is an integral, important part of the investigative research process. It is sometimes possible for the material contained within the vial of "TENM3, Polyclonal Antibody" to become dispersed throughout the inside of the vial, particularly around the seal of said vial, during shipment and storage. We always suggest centrifuging these vials to consolidate all of the liquid away from the lid and to the bottom of the vial prior to opening. Please be advised that certain products may require dry ice for shipping and that, if this is the case, an additional dry ice fee may also be required.Precautions
All products in the AAA Biotech catalog are strictly for research-use only, and are absolutely not suitable for use in any sort of medical, therapeutic, prophylactic, in-vivo, or diagnostic capacity. By purchasing a product from AAA Biotech, you are explicitly certifying that said products will be properly tested and used in line with industry standard. AAA Biotech and its authorized distribution partners reserve the right to refuse to fulfill any order if we have any indication that a purchaser may be intending to use a product outside of our accepted criteria.Disclaimer
Though we do strive to guarantee the information represented in this datasheet, AAA Biotech cannot be held responsible for any oversights or imprecisions. AAA Biotech reserves the right to adjust any aspect of this datasheet at any time and without notice. It is the responsibility of the customer to inform AAA Biotech of any product performance issues observed or experienced within 30 days of receipt of said product. To see additional details on this or any of our other policies, please see our Terms & Conditions page.Item has been added to Shopping Cart
If you are ready to order, navigate to Shopping Cart and get ready to checkout.
