Rabbit anti-Human THRSP Polyclonal Antibody | anti-THRSP antibody
THRSP Antibody
Gene Names
THRSP; S14; Lpgp; THRP; LPGP1; SPOT14
Reactivity
Human
Applications
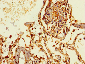
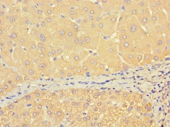
Immunohistochemistry, ELISA
Purity
>95%, Protein G purified
Synonyms
THRSP, Antibody; THRSP Antibody; Thyroid hormone-inducible hepatic protein; Spot 14 protein; S14; SPOT14; THRSP; anti-THRSP antibody
Host
Rabbit
Reactivity
Human
Clonality
Polyclonal
Isotype
IgG
Purity/Purification
>95%, Protein G purified
Form/Format
Liquid
Sequence Length
146
Applicable Applications for anti-THRSP antibody
IHC (Immunohistochemistry), ELISA
Species
Human
Immunogen
Recombinant human Thyroid hormone-inducible hepatic protein
Conjugate
Non-conjugated
Buffer
Preservative: 0.03% Proclin 300
Constituents: 50% Glycerol, 0.01M PBS, PH 7.4
Constituents: 50% Glycerol, 0.01M PBS, PH 7.4
Santa Cruz Alternative
Potential replacement for Santa Cruz Biotechnology antibody catalog# sc-67299
Preparation and Storage
Shipped at 4 degree C. Upon delivery aliquot and store at -20 degree C or -80 degree C. Avoid repeated freeze.
Related Product Information for anti-THRSP antibody
Plays a role in the regulation of lipogenesis, especially in lactating mammary gland. Important for the biosynthesis of triglycerides with medium-length fatty acid chains. May modulate lipogenesis by interacting with MID1IP1 and preventing its interaction with ACACA (By similarity). May function as transcriptional coactivator. May modulate the transcription factor activity of THRB.
NCBI and Uniprot Product Information
NCBI GI #
NCBI GeneID
NCBI Accession #
NCBI GenBank Nucleotide #
Molecular Weight
16,561 Da
NCBI Official Full Name
thyroid hormone-inducible hepatic protein
NCBI Official Synonym Full Names
thyroid hormone responsive
NCBI Official Symbol
THRSP
NCBI Official Synonym Symbols
S14; Lpgp; THRP; LPGP1; SPOT14
NCBI Protein Information
thyroid hormone-inducible hepatic protein
UniProt Protein Name
Thyroid hormone-inducible hepatic protein
UniProt Gene Name
THRSP
UniProt Synonym Gene Names
S14; SPOT14
UniProt Entry Name
THRSP_HUMAN
Customer Reviews
Loading reviews...
Share Your Experience
Similar Products
Product Notes
The THRSP thrsp (Catalog #AAA232174) is an Antibody produced from Rabbit and is intended for research purposes only. The product is available for immediate purchase. The THRSP Antibody reacts with Human and may cross-react with other species as described in the data sheet. AAA Biotech's THRSP can be used in a range of immunoassay formats including, but not limited to, IHC (Immunohistochemistry), ELISA. Researchers should empirically determine the suitability of the THRSP thrsp for an application not listed in the data sheet. Researchers commonly develop new applications and it is an integral, important part of the investigative research process. It is sometimes possible for the material contained within the vial of "THRSP, Polyclonal Antibody" to become dispersed throughout the inside of the vial, particularly around the seal of said vial, during shipment and storage. We always suggest centrifuging these vials to consolidate all of the liquid away from the lid and to the bottom of the vial prior to opening. Please be advised that certain products may require dry ice for shipping and that, if this is the case, an additional dry ice fee may also be required.Precautions
All products in the AAA Biotech catalog are strictly for research-use only, and are absolutely not suitable for use in any sort of medical, therapeutic, prophylactic, in-vivo, or diagnostic capacity. By purchasing a product from AAA Biotech, you are explicitly certifying that said products will be properly tested and used in line with industry standard. AAA Biotech and its authorized distribution partners reserve the right to refuse to fulfill any order if we have any indication that a purchaser may be intending to use a product outside of our accepted criteria.Disclaimer
Though we do strive to guarantee the information represented in this datasheet, AAA Biotech cannot be held responsible for any oversights or imprecisions. AAA Biotech reserves the right to adjust any aspect of this datasheet at any time and without notice. It is the responsibility of the customer to inform AAA Biotech of any product performance issues observed or experienced within 30 days of receipt of said product. To see additional details on this or any of our other policies, please see our Terms & Conditions page.Item has been added to Shopping Cart
If you are ready to order, navigate to Shopping Cart and get ready to checkout.
