Rabbit Thyroid Hormone Receptor alpha Polyclonal Antibody | anti-THRA antibody
Thyroid Hormone Receptor alpha Antibody
Gene Names
THRA; AR7; EAR7; ERBA; CHNG6; ERBA1; NR1A1; THRA1; THRA2; ERB-T-1; c-ERBA-1
Reactivity
Human, Mouse, Rat
Applications
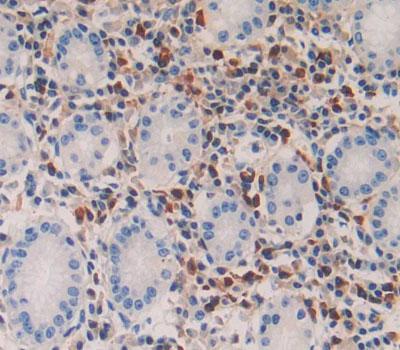
Immunohistochemistry, Western Blot
Purity
The antibody was affinity-purified from rabbit antiserum by affinity-chromatography using epitope-specific immunogen.
Synonyms
Thyroid Hormone Receptor alpha, Antibody; Thyroid Hormone Receptor alpha Antibody; Thyroid Hormone Receptor a Antibody; C-erbA-alpha; EAR-7; EAR7; ERBA1; NR1A1; anti-THRA antibody
Host
Rabbit
Reactivity
Human, Mouse, Rat
Clonality
Polyclonal
Specificity
The antibody detects endogenous levels of total thyroid hormone receptor a protein.
Purity/Purification
The antibody was affinity-purified from rabbit antiserum by affinity-chromatography using epitope-specific immunogen.
Form/Format
Rabbit IgG in phosphate buffered saline (without Mg2+ and Ca2+), pH 7.4, 150mM NaCl, 0.02% sodium azide and 50% glycerol.
Concentration
1.0 mg/ml (varies by lot)
Sequence Length
451
Applicable Applications for anti-THRA antibody
IHC (Immunohistochemistry), WB (Western Blot)
Immunogen Type
Peptide
Immunogen Description
Synthesized peptide derived from human thyroid hormone receptor a.
Target Name
Thyroid Hormone Receptor a
Preparation and Storage
Store at -20 degree C
Related Product Information for anti-THRA antibody
Nuclear hormone receptor that can act as a repressor or activator of transcription. High affinity receptor for thyroid hormones, including triiodothyronine and thyroxine.D E Banker, Mol. Cell. Biol., Oct 1991; 11: 5079 - 5089.V. Krishna K. Chatterjee, PNAS, Dec 1989; 86: 9114 - 9118. GE Muscat, Cell Growth Differ, Apr 1993; 4: 269. Yan-Yun Liu, J. Biol. Chem., Oct 2003; 278: 38913 - 38920.
Product Categories/Family for anti-THRA antibody
NCBI and Uniprot Product Information
NCBI GI #
NCBI GeneID
NCBI Accession #
NCBI GenBank Nucleotide #
Molecular Weight
50,465 Da
NCBI Official Full Name
thyroid hormone receptor alpha isoform 3
NCBI Official Synonym Full Names
thyroid hormone receptor, alpha
NCBI Official Symbol
THRA
NCBI Official Synonym Symbols
AR7; EAR7; ERBA; CHNG6; ERBA1; NR1A1; THRA1; THRA2; ERB-T-1; c-ERBA-1
NCBI Protein Information
thyroid hormone receptor alpha
UniProt Protein Name
Thyroid hormone receptor alpha
UniProt Gene Name
THRA
UniProt Synonym Gene Names
EAR7; ERBA1; NR1A1; THRA1; THRA2; EAR-7
UniProt Entry Name
THA_HUMAN
Customer Reviews
Loading reviews...
Share Your Experience
Similar Products
Product Notes
The THRA thra (Catalog #AAA302477) is an Antibody produced from Rabbit and is intended for research purposes only. The product is available for immediate purchase. The Thyroid Hormone Receptor alpha Antibody reacts with Human, Mouse, Rat and may cross-react with other species as described in the data sheet. AAA Biotech's Thyroid Hormone Receptor alpha can be used in a range of immunoassay formats including, but not limited to, IHC (Immunohistochemistry), WB (Western Blot). Researchers should empirically determine the suitability of the THRA thra for an application not listed in the data sheet. Researchers commonly develop new applications and it is an integral, important part of the investigative research process. It is sometimes possible for the material contained within the vial of "Thyroid Hormone Receptor alpha, Polyclonal Antibody" to become dispersed throughout the inside of the vial, particularly around the seal of said vial, during shipment and storage. We always suggest centrifuging these vials to consolidate all of the liquid away from the lid and to the bottom of the vial prior to opening. Please be advised that certain products may require dry ice for shipping and that, if this is the case, an additional dry ice fee may also be required.Precautions
All products in the AAA Biotech catalog are strictly for research-use only, and are absolutely not suitable for use in any sort of medical, therapeutic, prophylactic, in-vivo, or diagnostic capacity. By purchasing a product from AAA Biotech, you are explicitly certifying that said products will be properly tested and used in line with industry standard. AAA Biotech and its authorized distribution partners reserve the right to refuse to fulfill any order if we have any indication that a purchaser may be intending to use a product outside of our accepted criteria.Disclaimer
Though we do strive to guarantee the information represented in this datasheet, AAA Biotech cannot be held responsible for any oversights or imprecisions. AAA Biotech reserves the right to adjust any aspect of this datasheet at any time and without notice. It is the responsibility of the customer to inform AAA Biotech of any product performance issues observed or experienced within 30 days of receipt of said product. To see additional details on this or any of our other policies, please see our Terms & Conditions page.Item has been added to Shopping Cart
If you are ready to order, navigate to Shopping Cart and get ready to checkout.
