Host
Rabbit
Clonality
Polyclonal
Isotype
IgG
Specificity
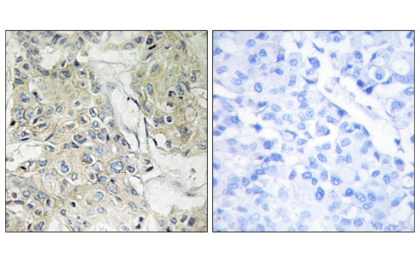
TM16J antibody detects endogenous levels of total TM16J protein
Form/Format
Supplied in PBS buffer (without Mg2+and Ca2+), pH 7.4, 150mM NaCl with 0.02% sodium azide and 50% glycerol
Concentration
1 mg/ml (varies by lot)
Applicable Applications for anti-TM16J antibody
ELISA, IF (Immunofluorescence), IHC (Immunohistochemistry)
Biological Significance
TM16J may be responsible for dna repair.
Immunogen
TM16J antibody was raised in Rabbit using synthesized peptide derived from internal of human TM16J as the immunogen
Preparation and Storage
Aliquot and store at -20 degree C. Avoid repeated freeze thaw cycles
Related Product Information for anti-TM16J antibody
Rabbit polyclonal TM16J antibody
Product Categories/Family for anti-TM16J antibody
Customer Reviews
Loading reviews...
Share Your Experience
Similar Products
Product Notes
The TM16J (Catalog #AAA108360) is an Antibody produced from Rabbit and is intended for research purposes only. The product is available for immediate purchase. AAA Biotech's TM16J can be used in a range of immunoassay formats including, but not limited to, ELISA, IF (Immunofluorescence), IHC (Immunohistochemistry). Researchers should empirically determine the suitability of the TM16J for an application not listed in the data sheet. Researchers commonly develop new applications and it is an integral, important part of the investigative research process. It is sometimes possible for the material contained within the vial of "TM16J, Polyclonal Antibody" to become dispersed throughout the inside of the vial, particularly around the seal of said vial, during shipment and storage. We always suggest centrifuging these vials to consolidate all of the liquid away from the lid and to the bottom of the vial prior to opening. Please be advised that certain products may require dry ice for shipping and that, if this is the case, an additional dry ice fee may also be required.Precautions
All products in the AAA Biotech catalog are strictly for research-use only, and are absolutely not suitable for use in any sort of medical, therapeutic, prophylactic, in-vivo, or diagnostic capacity. By purchasing a product from AAA Biotech, you are explicitly certifying that said products will be properly tested and used in line with industry standard. AAA Biotech and its authorized distribution partners reserve the right to refuse to fulfill any order if we have any indication that a purchaser may be intending to use a product outside of our accepted criteria.Disclaimer
Though we do strive to guarantee the information represented in this datasheet, AAA Biotech cannot be held responsible for any oversights or imprecisions. AAA Biotech reserves the right to adjust any aspect of this datasheet at any time and without notice. It is the responsibility of the customer to inform AAA Biotech of any product performance issues observed or experienced within 30 days of receipt of said product. To see additional details on this or any of our other policies, please see our Terms & Conditions page.Item has been added to Shopping Cart
If you are ready to order, navigate to Shopping Cart and get ready to checkout.
