Rabbit anti-Human TM6SF2 Polyclonal Antibody | anti-TM6SF2 antibody
TM6SF2 Antibody
Reactivity
Human
Applications
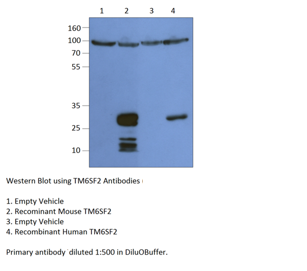
Western Blot, Immunoprecipitation, ELISA
Synonyms
TM6SF2, Antibody; TM6SF2 Antibody; TM6S2_HUMAN; tm6sf2; Transmembrane 6 superfamily member 2 antibody; anti-TM6SF2 antibody
Host
Rabbit
Reactivity
Human
Clonality
Polyclonal
Form/Format
Affinity Purified
Concentration
0.68-0.70 ug/ul in antibody stabilization buffer (varies by lot)
Sequence Length
378
Applicable Applications for anti-TM6SF2 antibody
WB (Western Blot), IP (Immunoprecipitation), ELISA
Immunogen
Synthetic peptide taken within amino acid region 325-375 on human TM6SF2 protein.
Molecular Function
Integral component of membrane
Structure
Transmembrane helix; Belongs to TM6SF family
Preparation and Storage
-20 degree C for long term storage
Related Product Information for anti-TM6SF2 antibody
Affinity Purified Transmembrane 6 superfamily member 2 Antibody
Product Categories/Family for anti-TM6SF2 antibody
NCBI and Uniprot Product Information
NCBI GI #
NCBI GeneID
Molecular Weight
42,769 Da
NCBI Official Full Name
Transmembrane 6 superfamily member 2
NCBI Official Synonym Full Names
transmembrane 6 superfamily member 2
NCBI Official Symbol
Tm6sf2
NCBI Protein Information
transmembrane 6 superfamily member 2
UniProt Protein Name
Transmembrane 6 superfamily member 2
UniProt Gene Name
Tm6sf2
UniProt Entry Name
TM6S2_MOUSE
Customer Reviews
Loading reviews...
Share Your Experience
Similar Products
Product Notes
The TM6SF2 tm6sf2 (Catalog #AAA226307) is an Antibody produced from Rabbit and is intended for research purposes only. The product is available for immediate purchase. The TM6SF2 Antibody reacts with Human and may cross-react with other species as described in the data sheet. AAA Biotech's TM6SF2 can be used in a range of immunoassay formats including, but not limited to, WB (Western Blot), IP (Immunoprecipitation), ELISA. Researchers should empirically determine the suitability of the TM6SF2 tm6sf2 for an application not listed in the data sheet. Researchers commonly develop new applications and it is an integral, important part of the investigative research process. It is sometimes possible for the material contained within the vial of "TM6SF2, Polyclonal Antibody" to become dispersed throughout the inside of the vial, particularly around the seal of said vial, during shipment and storage. We always suggest centrifuging these vials to consolidate all of the liquid away from the lid and to the bottom of the vial prior to opening. Please be advised that certain products may require dry ice for shipping and that, if this is the case, an additional dry ice fee may also be required.Precautions
All products in the AAA Biotech catalog are strictly for research-use only, and are absolutely not suitable for use in any sort of medical, therapeutic, prophylactic, in-vivo, or diagnostic capacity. By purchasing a product from AAA Biotech, you are explicitly certifying that said products will be properly tested and used in line with industry standard. AAA Biotech and its authorized distribution partners reserve the right to refuse to fulfill any order if we have any indication that a purchaser may be intending to use a product outside of our accepted criteria.Disclaimer
Though we do strive to guarantee the information represented in this datasheet, AAA Biotech cannot be held responsible for any oversights or imprecisions. AAA Biotech reserves the right to adjust any aspect of this datasheet at any time and without notice. It is the responsibility of the customer to inform AAA Biotech of any product performance issues observed or experienced within 30 days of receipt of said product. To see additional details on this or any of our other policies, please see our Terms & Conditions page.Item has been added to Shopping Cart
If you are ready to order, navigate to Shopping Cart and get ready to checkout.
