Rabbit TMEM248 Polyclonal Antibody | anti-TMEM248 antibody
TMEM248 Polyclonal Antibody
Gene Names
TMEM248; C7orf42
Reactivity
Human, Mouse, Rat
Applications
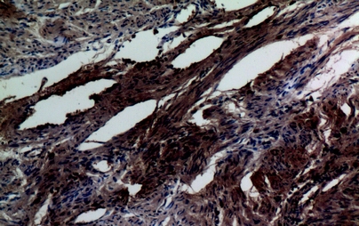
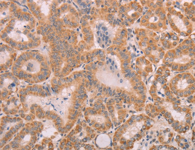
ELISA, Immunohistochemistry, Western Blot
Purity
Antigen Affinity Purification
Synonyms
TMEM248, Antibody; TMEM248 Polyclonal Antibody; C7orf42; CG042; Chromosome 7 open reading frame 42; FLJ10099; FLJ13090; Hypothetical protein LOC55069; UPF0458 protein C7orf42; anti-TMEM248 antibody
Host
Rabbit
Reactivity
Human, Mouse, Rat
Clonality
Polyclonal
Isotype
IgG
Purity/Purification
Antigen Affinity Purification
Form/Format
PBS with 0.05% NaN3 and 40% Glycerol, pH7.4
Concentration
0.78mg/mL (varies by lot)
Sequence Length
314
Applicable Applications for anti-TMEM248 antibody
ELISA, IHC (Immunohistochemistry), WB (Western Blot)
Immunogen
Fusion protein of human TMEM248
Conjugation
Unconjugated
Preparation and Storage
Store at -20 degree C. Avoid freeze/thaw cycles.
Related Product Information for anti-TMEM248 antibody
The function of this protein remains unknown.
Product Categories/Family for anti-TMEM248 antibody
NCBI and Uniprot Product Information
NCBI GI #
NCBI GeneID
NCBI Accession #
NCBI GenBank Nucleotide #
UniProt Accession #
Molecular Weight
35 kDa
NCBI Official Full Name
transmembrane protein 248
NCBI Official Synonym Full Names
transmembrane protein 248
NCBI Official Symbol
TMEM248
NCBI Official Synonym Symbols
C7orf42
NCBI Protein Information
transmembrane protein 248
UniProt Protein Name
Transmembrane protein 248
UniProt Gene Name
TMEM248
UniProt Synonym Gene Names
C7orf42
UniProt Entry Name
TM248_HUMAN
Similar Products
Product Notes
The TMEM248 tmem248 (Catalog #AAA176388) is an Antibody produced from Rabbit and is intended for research purposes only. The product is available for immediate purchase. The TMEM248 Polyclonal Antibody reacts with Human, Mouse, Rat and may cross-react with other species as described in the data sheet. AAA Biotech's TMEM248 can be used in a range of immunoassay formats including, but not limited to, ELISA, IHC (Immunohistochemistry), WB (Western Blot). Researchers should empirically determine the suitability of the TMEM248 tmem248 for an application not listed in the data sheet. Researchers commonly develop new applications and it is an integral, important part of the investigative research process. It is sometimes possible for the material contained within the vial of "TMEM248, Polyclonal Antibody" to become dispersed throughout the inside of the vial, particularly around the seal of said vial, during shipment and storage. We always suggest centrifuging these vials to consolidate all of the liquid away from the lid and to the bottom of the vial prior to opening. Please be advised that certain products may require dry ice for shipping and that, if this is the case, an additional dry ice fee may also be required.Precautions
All products in the AAA Biotech catalog are strictly for research-use only, and are absolutely not suitable for use in any sort of medical, therapeutic, prophylactic, in-vivo, or diagnostic capacity. By purchasing a product from AAA Biotech, you are explicitly certifying that said products will be properly tested and used in line with industry standard. AAA Biotech and its authorized distribution partners reserve the right to refuse to fulfill any order if we have any indication that a purchaser may be intending to use a product outside of our accepted criteria.Disclaimer
Though we do strive to guarantee the information represented in this datasheet, AAA Biotech cannot be held responsible for any oversights or imprecisions. AAA Biotech reserves the right to adjust any aspect of this datasheet at any time and without notice. It is the responsibility of the customer to inform AAA Biotech of any product performance issues observed or experienced within 30 days of receipt of said product. To see additional details on this or any of our other policies, please see our Terms & Conditions page.Item has been added to Shopping Cart
If you are ready to order, navigate to Shopping Cart and get ready to checkout.
