Rabbit anti-Human TMPRSS7 Polyclonal Antibody | anti-TMPRSS7 antibody
TMPRSS7 Antibody
Reactivity
Human
Applications
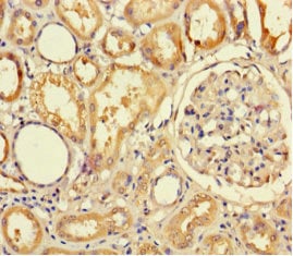
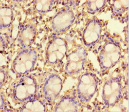
Immunohistochemistry, ELISA
Purity
>95%,Protein G purified
Synonyms
TMPRSS7, Antibody; TMPRSS7 Antibody; Transmembrane protease serine 7; Matriptase-3; TMPRSS7; anti-TMPRSS7 antibody
Host
Rabbit
Reactivity
Human
Clonality
Polyclonal
Isotype
IgG
Purity/Purification
>95%,Protein G purified
Form/Format
Liquid
Sequence Length
717
Applicable Applications for anti-TMPRSS7 antibody
IHC (Immunohistochemistry), ELISA
Immunogen
Recombinant human Transmembrane protease serine 7 protein
Conjugation
Non-conjugated
Storage Buffer
Preservative: 0.03% Proclin 300 Constituents: 50% Glycerol, 0.01M PBS, PH 7.4
Preparation and Storage
Shipped at 4 degree C. Upon delivery, aliquot and store at -20 degree C or -80 degree C.
Related Product Information for anti-TMPRSS7 antibody
Serine protease which preferentially hydrolyzes peptides with Arg at the P1 position.
NCBI and Uniprot Product Information
NCBI GI #
NCBI GeneID
NCBI Accession #
NCBI GenBank Nucleotide #
Molecular Weight
64,025 Da
NCBI Official Full Name
transmembrane protease serine 7
NCBI Official Synonym Full Names
transmembrane protease, serine 7
NCBI Official Symbol
TMPRSS7
NCBI Protein Information
transmembrane protease serine 7
UniProt Protein Name
Transmembrane protease serine 7
UniProt Gene Name
TMPRSS7
UniProt Entry Name
TMPS7_HUMAN
Customer Reviews
Loading reviews...
Share Your Experience
Similar Products
Product Notes
The TMPRSS7 tmprss7 (Catalog #AAA229477) is an Antibody produced from Rabbit and is intended for research purposes only. The product is available for immediate purchase. The TMPRSS7 Antibody reacts with Human and may cross-react with other species as described in the data sheet. AAA Biotech's TMPRSS7 can be used in a range of immunoassay formats including, but not limited to, IHC (Immunohistochemistry), ELISA. Researchers should empirically determine the suitability of the TMPRSS7 tmprss7 for an application not listed in the data sheet. Researchers commonly develop new applications and it is an integral, important part of the investigative research process. It is sometimes possible for the material contained within the vial of "TMPRSS7, Polyclonal Antibody" to become dispersed throughout the inside of the vial, particularly around the seal of said vial, during shipment and storage. We always suggest centrifuging these vials to consolidate all of the liquid away from the lid and to the bottom of the vial prior to opening. Please be advised that certain products may require dry ice for shipping and that, if this is the case, an additional dry ice fee may also be required.Precautions
All products in the AAA Biotech catalog are strictly for research-use only, and are absolutely not suitable for use in any sort of medical, therapeutic, prophylactic, in-vivo, or diagnostic capacity. By purchasing a product from AAA Biotech, you are explicitly certifying that said products will be properly tested and used in line with industry standard. AAA Biotech and its authorized distribution partners reserve the right to refuse to fulfill any order if we have any indication that a purchaser may be intending to use a product outside of our accepted criteria.Disclaimer
Though we do strive to guarantee the information represented in this datasheet, AAA Biotech cannot be held responsible for any oversights or imprecisions. AAA Biotech reserves the right to adjust any aspect of this datasheet at any time and without notice. It is the responsibility of the customer to inform AAA Biotech of any product performance issues observed or experienced within 30 days of receipt of said product. To see additional details on this or any of our other policies, please see our Terms & Conditions page.Item has been added to Shopping Cart
If you are ready to order, navigate to Shopping Cart and get ready to checkout.
