Rabbit anti-Human TOM1 Polyclonal Antibody | anti-TOM1 antibody
Anti-TOM1 Antibody Picoband
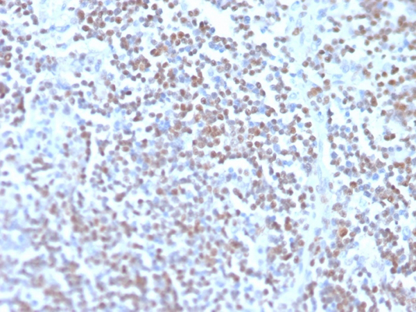
IHC: 2-5ug/ml, Human
ICC/IF: 5ug/ml, Human
IP: 0.5-2ug/ml, Human
FC/FACS (Fixed): 1-3ug/1x106 cells, Human
ELISA: 0.1-0.5ug/ml
IP (Immunoprecipitation)
(Figure 6. Immunoprecipitating TOM1 in HepG2 whole cell lysate .Western blot analysis of TOM1 using anti-TOM1 antibody (AAA19807).Lane 1: HepG2 whole cell lysates (30ug),Lane 2: Rabbit control IgG instead of anti-TOM1 antibody in HepG2 whole cell lysate,Lane 3: anti-TOM1 antibody (2ug) + HepG2 whole cell lysate (500ug).After electrophoresis, proteins were transferred to a membrane. Then the membrane was incubated with rabbit anti-TOM1 antigen affinity purified polyclonal antibody (AAA19807) at a dilution of 0.5ug/mL and probed with a goat anti-rabbit IgG-HRP secondary antibody (Light chain). The signal is developed using ECL Plus Western Blotting Substrate . A specific band was detected for TOM1 at approximately 54 kDa. The expected band size for TOM1 is at 54 kDa.)
FCM (Flow Cytometry)
(Figure 5. Flow Cytometry analysis of Hela cells using anti-TOM1 antibody (AAA19807).Overlay histogram showing Hela cells stained with AAA19807 (Blue line). The cells were fixed with 4% paraformaldehyde and blocked with 10% normal goat serum. And then incubated with rabbit anti-TOM1 Antibody (AAA19807, 1ug/1x106 cells) for 30 min at 20 degree C. DyLight488 conjugated goat anti-rabbit IgG was used as secondary antibody for 30 minutes at 20 degree C. Isotype control antibody (Green line) was rabbit IgG (1ug/1x106) used under the same conditions. Unlabelled sample without incubation with primary antibody and secondary antibody (Red line) was used as a blank control.)
IF (Immunofluorescence)
(Figure 4. IF analysis of TOM1 using anti-TOM1 antibody (AAA19807).TOM1 was detected in an immunocytochemical section of HELA cells. Enzyme antigen retrieval was performed using IHC enzyme antigen retrieval reagent ( epitope retrieval solution). The tissue section was blocked with 10% goat serum. The tissue section was then incubated with 2ug/ml rabbit anti-TOM1 Antibody (AAA19807) overnight at 4 degree C. Peroxidase Conjugated Goat Anti-rabbit IgG was used as secondary antibody and incubated for 30 minutes at 37 degree C. The tissue section was developed using HRP Conjugated Rabbit IgG Super Vision Assay Kit ( epitope retrieval solution). The tissue section was blocked with 10% goat serum. The tissue section was then incubated with 2ug/ml rabbit anti-TOM1 Antibody (AAA19807) overnight at 4 degree C. Peroxidase Conjugated Goat Anti-rabbit IgG was used as secondary antibody and incubated for 30 minutes at 37 degree C. The tissue section was developed using HRP Conjugated Rabbit IgG Super Vision Assay Kit (Lane 2: human K562 whole cell lysates,Lane 3: human HepG2 whole cell lysates,Lane 4: human 293T whole cell lysates.After electrophoresis, proteins were transferred to a nitrocellulose membrane at 150 mA for 50-90 minutes. Blocked the membrane with 5% non-fat milk/TBS for 1.5 hour at RT. The membrane was incubated with rabbit anti-TOM1 antigen affinity purified polyclonal antibody (#AAA19807) at 0.5ug/mL overnight at 4 degree C, then washed with TBS-0.1%Tween 3 times with 5 minutes each and probed with a goat anti-rabbit IgG-HRP secondary antibody at a dilution of 1:5000 for 1.5 hour at RT. The signal is developed using an Enhanced Chemiluminescent detection (ECL) kit with Tanon 5200 system. A specific band was detected for TOM1 at approximately 54 kDa. The expected band size for TOM1 is at 54 kDa.)
NCBI and Uniprot Product Information
Customer Reviews
Loading reviews...
Share Your Experience
Similar Products
Product Notes
The TOM1 tom1 (Catalog #AAA19807) is an Antibody produced from Rabbit and is intended for research purposes only. The product is available for immediate purchase. The Anti-TOM1 Antibody Picoband reacts with Human and may cross-react with other species as described in the data sheet. AAA Biotech's TOM1 can be used in a range of immunoassay formats including, but not limited to, ELISA, FCM/FACS (Flow Cytometry), IP (Immunoprecipitation), IF (Immunofluorescence), IHC (Immunohistochemistry), ICC (Immunocytochemistry), WB (Western Blot). WB: 0.25-0.5ug/ml, Human IHC: 2-5ug/ml, Human ICC/IF: 5ug/ml, Human IP: 0.5-2ug/ml, Human FC/FACS (Fixed): 1-3ug/1x106 cells, Human ELISA: 0.1-0.5ug/ml. Researchers should empirically determine the suitability of the TOM1 tom1 for an application not listed in the data sheet. Researchers commonly develop new applications and it is an integral, important part of the investigative research process. It is sometimes possible for the material contained within the vial of "TOM1, Polyclonal Antibody" to become dispersed throughout the inside of the vial, particularly around the seal of said vial, during shipment and storage. We always suggest centrifuging these vials to consolidate all of the liquid away from the lid and to the bottom of the vial prior to opening. Please be advised that certain products may require dry ice for shipping and that, if this is the case, an additional dry ice fee may also be required.Precautions
All products in the AAA Biotech catalog are strictly for research-use only, and are absolutely not suitable for use in any sort of medical, therapeutic, prophylactic, in-vivo, or diagnostic capacity. By purchasing a product from AAA Biotech, you are explicitly certifying that said products will be properly tested and used in line with industry standard. AAA Biotech and its authorized distribution partners reserve the right to refuse to fulfill any order if we have any indication that a purchaser may be intending to use a product outside of our accepted criteria.Disclaimer
Though we do strive to guarantee the information represented in this datasheet, AAA Biotech cannot be held responsible for any oversights or imprecisions. AAA Biotech reserves the right to adjust any aspect of this datasheet at any time and without notice. It is the responsibility of the customer to inform AAA Biotech of any product performance issues observed or experienced within 30 days of receipt of said product. To see additional details on this or any of our other policies, please see our Terms & Conditions page.Item has been added to Shopping Cart
If you are ready to order, navigate to Shopping Cart and get ready to checkout.
