Host
Rabbit
Reactivity
Human
Clonality
Polyclonal
Specificity
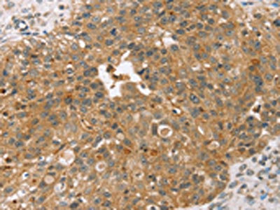
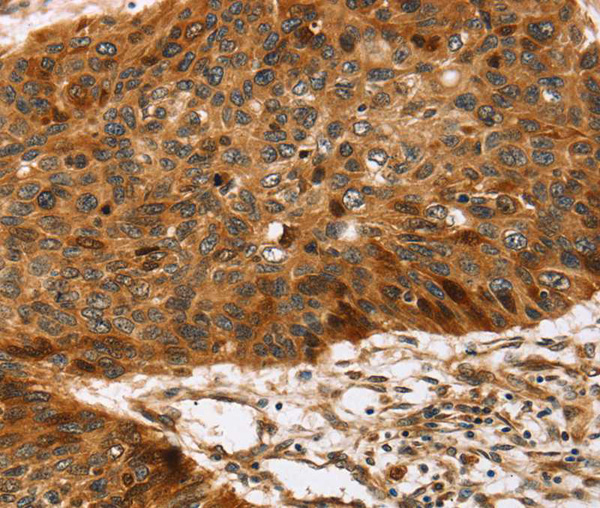
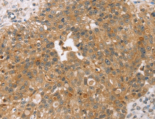
The antibody detects endogenous levels of total TPST2 protein.
Purity/Purification
Antigen affinity purification.
Form/Format
Rabbit IgG in pH7.4 PBS, 0.05% NaN3, 40% Glycerol.
Concentration
2.2 mg/ml (varies by lot)
Sequence Length
377
Applicable Applications for anti-TPST2 antibody
IHC (Immunohistochemistry)
Immunogen Type
Peptide
Immunogen Description
Synthetic peptide corresponding to residues near the N terminal of human tyrosylprotein sulfotransferase 2
Target Name
TPST2
Preparation and Storage
Store at -20 degree C
Related Product Information for anti-TPST2 antibody
The protein encoded by this gene catalyzes the O-sulfation of tyrosine residues within acidic regions of proteins. The encoded protein is a type II integral membrane protein found in the Golgi body. Two transcript variants encoding the same protein have been found for this gene.
Product Categories/Family for anti-TPST2 antibody
NCBI and Uniprot Product Information
NCBI GI #
NCBI GeneID
NCBI Accession #
NCBI GenBank Nucleotide #
Molecular Weight
41,912 Da
NCBI Official Full Name
protein-tyrosine sulfotransferase 2
NCBI Official Synonym Full Names
tyrosylprotein sulfotransferase 2
NCBI Official Symbol
TPST2
NCBI Official Synonym Symbols
TANGO13B
NCBI Protein Information
protein-tyrosine sulfotransferase 2
UniProt Protein Name
Protein-tyrosine sulfotransferase 2
UniProt Gene Name
TPST2
UniProt Synonym Gene Names
TPST-2
UniProt Entry Name
TPST2_HUMAN
Customer Reviews
Loading reviews...
Share Your Experience
Similar Products
Product Notes
The TPST2 tpst2 (Catalog #AAA304719) is an Antibody produced from Rabbit and is intended for research purposes only. The product is available for immediate purchase. The TPST2 Antibody reacts with Human and may cross-react with other species as described in the data sheet. AAA Biotech's TPST2 can be used in a range of immunoassay formats including, but not limited to, IHC (Immunohistochemistry). Researchers should empirically determine the suitability of the TPST2 tpst2 for an application not listed in the data sheet. Researchers commonly develop new applications and it is an integral, important part of the investigative research process. It is sometimes possible for the material contained within the vial of "TPST2, Polyclonal Antibody" to become dispersed throughout the inside of the vial, particularly around the seal of said vial, during shipment and storage. We always suggest centrifuging these vials to consolidate all of the liquid away from the lid and to the bottom of the vial prior to opening. Please be advised that certain products may require dry ice for shipping and that, if this is the case, an additional dry ice fee may also be required.Precautions
All products in the AAA Biotech catalog are strictly for research-use only, and are absolutely not suitable for use in any sort of medical, therapeutic, prophylactic, in-vivo, or diagnostic capacity. By purchasing a product from AAA Biotech, you are explicitly certifying that said products will be properly tested and used in line with industry standard. AAA Biotech and its authorized distribution partners reserve the right to refuse to fulfill any order if we have any indication that a purchaser may be intending to use a product outside of our accepted criteria.Disclaimer
Though we do strive to guarantee the information represented in this datasheet, AAA Biotech cannot be held responsible for any oversights or imprecisions. AAA Biotech reserves the right to adjust any aspect of this datasheet at any time and without notice. It is the responsibility of the customer to inform AAA Biotech of any product performance issues observed or experienced within 30 days of receipt of said product. To see additional details on this or any of our other policies, please see our Terms & Conditions page.Item has been added to Shopping Cart
If you are ready to order, navigate to Shopping Cart and get ready to checkout.
