Rabbit TRIM63 Polyclonal Antibody | anti-TRIM63 antibody
TRIM63 Antibody
Phosphate buffered saline, pH 7.4, 150mM NaCl, 0.02% sodium azide and 50% glycerol.
IF (Immunofluorescence)
(AAA326912 staining Hela cells by IF/ICC. The sample were fixed with PFA and permeabilized in 0.1% Triton X-100, then blocked in 10% serum for 45 minutes at 25 degree C. The primary antibody was diluted at 1/200 and incubated with the sample for 1 hour at 37 degree C. An Alexa Fluor 594 conjugated goat anti-rabbit IgG (H+L) antibody, diluted at 1/600 was used as secondary antibody.)
WB (Western Blot)
(Western blot analysis of extracts of mouse fetal muscle, using TRIM63antibody. The lane on the left is treated with the antigen-specific peptide.)
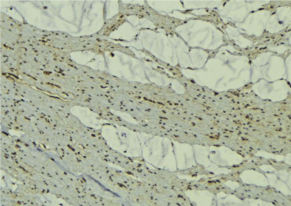
IHC (Immunohistochemistry)
(AAA326912 at 1/100 staining Mouse muscle tissue by IHC-P. The sample was formaldehyde fixed and a heat mediated antigen retrieval step in citrate buffer was performed. The sample was then blocked and incubated with the antibody for 1.5 hours at 22 degree C. An HRP conjugated goat anti-rabbit antibody was used as the secondary.)
Function: E3 ubiquitin ligase. Mediates the ubiquitination and subsequent proteasomal degradation of CKM, GMEB1 and HIBADH. Regulates the proteasomal degradation of muscle proteins under amino acid starvation, where muscle protein is catabolized to provide other organs with amino acids. Inhibits de novo skeletal muscle protein synthesis under amino acid starvation. Regulates proteasomal degradation of cardiac troponin I/TNNI3 and probably of other sarcomeric-associated proteins. May play a role in striated muscle atrophy and hypertrophy by regulating an anti-hypertrophic PKC-mediated signaling pathway. May regulate the organization of myofibrils through TTN in muscle cells.
Subunit Structure: Homodimer. Homooligomer and heterooligomer. Interacts with SUMO2, titin/TTN and GMEB1. Interacts with TRIM54 and probably with TRIM55 and TNNI3. Forms a ternary complex with RACK1 and PRKCE (By similarity). Interacts with CKM.
Similarity: The RING-type zinc finger mediates interaction with SUMO2 and localization to the nucleus. Also required for the E3 ubiquitin ligase activity (By similarity).The B box-type zinc finger mediates homodimerization.
NCBI and Uniprot Product Information
Predicted: 41 kDa
Customer Reviews
Loading reviews...
Share Your Experience
Similar Products
Product Notes
The TRIM63 trim63 (Catalog #AAA326912) is an Antibody produced from Rabbit and is intended for research purposes only. The product is available for immediate purchase. The TRIM63 Antibody reacts with Human, Mouse, Rat and may cross-react with other species as described in the data sheet. AAA Biotech's TRIM63 can be used in a range of immunoassay formats including, but not limited to, ELISA, ICC (Immunocytochemistry), IF (Immunofluorescence), IHC (Immunohistochemistry), WB (Western Blot). Researchers should empirically determine the suitability of the TRIM63 trim63 for an application not listed in the data sheet. Researchers commonly develop new applications and it is an integral, important part of the investigative research process. It is sometimes possible for the material contained within the vial of "TRIM63, Polyclonal Antibody" to become dispersed throughout the inside of the vial, particularly around the seal of said vial, during shipment and storage. We always suggest centrifuging these vials to consolidate all of the liquid away from the lid and to the bottom of the vial prior to opening. Please be advised that certain products may require dry ice for shipping and that, if this is the case, an additional dry ice fee may also be required.Precautions
All products in the AAA Biotech catalog are strictly for research-use only, and are absolutely not suitable for use in any sort of medical, therapeutic, prophylactic, in-vivo, or diagnostic capacity. By purchasing a product from AAA Biotech, you are explicitly certifying that said products will be properly tested and used in line with industry standard. AAA Biotech and its authorized distribution partners reserve the right to refuse to fulfill any order if we have any indication that a purchaser may be intending to use a product outside of our accepted criteria.Disclaimer
Though we do strive to guarantee the information represented in this datasheet, AAA Biotech cannot be held responsible for any oversights or imprecisions. AAA Biotech reserves the right to adjust any aspect of this datasheet at any time and without notice. It is the responsibility of the customer to inform AAA Biotech of any product performance issues observed or experienced within 30 days of receipt of said product. To see additional details on this or any of our other policies, please see our Terms & Conditions page.Item has been added to Shopping Cart
If you are ready to order, navigate to Shopping Cart and get ready to checkout.
