Rabbit TRIM71 Polyclonal Antibody | anti-TRIM71 antibody
TRIM71 Antibody
Gene Names
TRIM71; LIN41; LIN-41
Reactivity
Human, Mouse, Rat
Applications
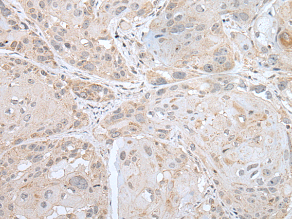
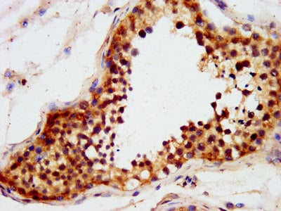
Immunohistochemistry, Western Blot, ELISA
Purity
Affinity chromatography purified via peptide column
Synonyms
TRIM71, Antibody; TRIM71 Antibody; Tripartite motif protein 71, lin41, lin-41; anti-TRIM71 antibody
Host
Rabbit
Reactivity
Human, Mouse, Rat
Clonality
Polyclonal
Purity/Purification
Affinity chromatography purified via peptide column
Form/Format
Supplied in PBS containing 0.02% sodium azide.
Sequence Length
868
Applicable Applications for anti-TRIM71 antibody
IHC (Immunohistochemistry), WB (Western Blot), ELISA
Immunogen Type
Peptide
Immunogen Description
Raised against a 15 amino acid peptide near the carboxy terminus of human TRIM71.
Target Name
TRIM71
Preparation and Storage
Can be stored at -20 degree C, stable for one year. As with all antibodies care should be taken to avoid repeated freeze thaw cycles. Antibodies should not be exposed to prolonged high temperatures.
Related Product Information for anti-TRIM71 antibody
TRIM71 is the mammalian ortholog to the C. elegans heterochronic protein Lin41, a protein that is thought to be important in postembryonic development, and is genetically and biochemically downstream of both Shh and Fgf signaling pathways. Similar to its C. elegans homolog, TRIM71 is a target of the microRNA let-7 and is likely to play a role in mammalian development. Recent experiments have indicated that TRIM71 is an E3 ubiquitin ligase and can interact with the Dicer and the Argonaute proteins Ago1, Ago2, and Ago4. Overexpression and depletion of TRIM71 led to inverse changes in Ago2 protein levels, suggesting TRIM71 can regulate Ago2 turnover. Finally, TRIM71 cooperates with the pluripotency factor Lin-28 in regulating let-7.
Product Categories/Family for anti-TRIM71 antibody
NCBI and Uniprot Product Information
NCBI GI #
NCBI GeneID
NCBI Accession #
NCBI GenBank Nucleotide #
Molecular Weight
93,385 Da
NCBI Official Full Name
E3 ubiquitin-protein ligase TRIM71
NCBI Official Synonym Full Names
tripartite motif containing 71, E3 ubiquitin protein ligase
NCBI Official Symbol
TRIM71
NCBI Official Synonym Symbols
LIN41; LIN-41
NCBI Protein Information
E3 ubiquitin-protein ligase TRIM71
UniProt Protein Name
E3 ubiquitin-protein ligase TRIM71
UniProt Gene Name
TRIM71
UniProt Synonym Gene Names
LIN41
UniProt Entry Name
LIN41_HUMAN
Customer Reviews
Loading reviews...
Share Your Experience
Similar Products
Product Notes
The TRIM71 trim71 (Catalog #AAA306667) is an Antibody produced from Rabbit and is intended for research purposes only. The product is available for immediate purchase. The TRIM71 Antibody reacts with Human, Mouse, Rat and may cross-react with other species as described in the data sheet. AAA Biotech's TRIM71 can be used in a range of immunoassay formats including, but not limited to, IHC (Immunohistochemistry), WB (Western Blot), ELISA. Researchers should empirically determine the suitability of the TRIM71 trim71 for an application not listed in the data sheet. Researchers commonly develop new applications and it is an integral, important part of the investigative research process. It is sometimes possible for the material contained within the vial of "TRIM71, Polyclonal Antibody" to become dispersed throughout the inside of the vial, particularly around the seal of said vial, during shipment and storage. We always suggest centrifuging these vials to consolidate all of the liquid away from the lid and to the bottom of the vial prior to opening. Please be advised that certain products may require dry ice for shipping and that, if this is the case, an additional dry ice fee may also be required.Precautions
All products in the AAA Biotech catalog are strictly for research-use only, and are absolutely not suitable for use in any sort of medical, therapeutic, prophylactic, in-vivo, or diagnostic capacity. By purchasing a product from AAA Biotech, you are explicitly certifying that said products will be properly tested and used in line with industry standard. AAA Biotech and its authorized distribution partners reserve the right to refuse to fulfill any order if we have any indication that a purchaser may be intending to use a product outside of our accepted criteria.Disclaimer
Though we do strive to guarantee the information represented in this datasheet, AAA Biotech cannot be held responsible for any oversights or imprecisions. AAA Biotech reserves the right to adjust any aspect of this datasheet at any time and without notice. It is the responsibility of the customer to inform AAA Biotech of any product performance issues observed or experienced within 30 days of receipt of said product. To see additional details on this or any of our other policies, please see our Terms & Conditions page.Item has been added to Shopping Cart
If you are ready to order, navigate to Shopping Cart and get ready to checkout.
