Rabbit TRIP13 Polyclonal Antibody | anti-TRIP13 antibody
TRIP13 Antibody
Phosphate buffered saline, pH 7.4, 150mM NaCl, 0.02% sodium azide and 50% glycerol.
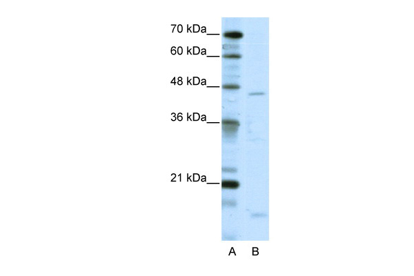
WB (Western Blot)
(Western blot analysis on LOVO cell lysate using TRIP13 Antibody, The lane on the left is treated with the antigen-specific peptide.)
IF (Immunofluorescence)
(AAA321110 staining LOVO by IF/ICC. The sample were fixed with PFA and permeabilized in 0.1% Triton X-100, then blocked in 10% serum for 45 minutes at 25 degree C. The primary antibody was diluted at 1/200 and incubated with the sample for 1 hour at 37 degree C. An Alexa Fluor 594 conjugated goat anti-rabbit IgG (H+L) Ab, diluted at 1/600, was used as the secondary antibody.)
Function: Plays a key role in chromosome recombination and chromosome structure development during meiosis. Required at early steps in meiotic recombination that leads to non-crossovers pathways. Also needed for efficient completion of homologous synapsis by influencing crossover distribution along the chromosomes affecting both crossovers and non-crossovers pathways. Also required for development of higher-order chromosome structures and is needed for synaptonemal-complex formation. In males, required for efficient synapsis of the sex chromosomes and for sex body formation. Promotes early steps of the DNA double-strand breaks (DSBs) repair process upstream of the assembly of RAD51 complexes. Required for depletion of HORMAD1 and HORMAD2 from synapsed chromosomes (By similarity). Plays a role in mitotic spindle assembly checkpoint (SAC) activation (PubMed:28553959).
Subunit Structure: Specifically interacts with the ligand binding domain of the thyroid receptor (TR). This interaction does not require the presence of thyroid hormone for its interaction. Interacts with HPV16 E1.
Similarity: Belongs to the AAA ATPase family. PCH2 subfamily.
NCBI and Uniprot Product Information
Predicted: 49 kDa
Customer Reviews
Loading reviews...
Share Your Experience
Similar Products
Product Notes
The TRIP13 trip13 (Catalog #AAA321110) is an Antibody produced from Rabbit and is intended for research purposes only. The product is available for immediate purchase. The TRIP13 Antibody reacts with Human, Mouse, Rat and may cross-react with other species as described in the data sheet. AAA Biotech's TRIP13 can be used in a range of immunoassay formats including, but not limited to, ELISA, ICC (Immunocytochemistry), IF (Immunofluorescence), WB (Western Blot). Researchers should empirically determine the suitability of the TRIP13 trip13 for an application not listed in the data sheet. Researchers commonly develop new applications and it is an integral, important part of the investigative research process. It is sometimes possible for the material contained within the vial of "TRIP13, Polyclonal Antibody" to become dispersed throughout the inside of the vial, particularly around the seal of said vial, during shipment and storage. We always suggest centrifuging these vials to consolidate all of the liquid away from the lid and to the bottom of the vial prior to opening. Please be advised that certain products may require dry ice for shipping and that, if this is the case, an additional dry ice fee may also be required.Precautions
All products in the AAA Biotech catalog are strictly for research-use only, and are absolutely not suitable for use in any sort of medical, therapeutic, prophylactic, in-vivo, or diagnostic capacity. By purchasing a product from AAA Biotech, you are explicitly certifying that said products will be properly tested and used in line with industry standard. AAA Biotech and its authorized distribution partners reserve the right to refuse to fulfill any order if we have any indication that a purchaser may be intending to use a product outside of our accepted criteria.Disclaimer
Though we do strive to guarantee the information represented in this datasheet, AAA Biotech cannot be held responsible for any oversights or imprecisions. AAA Biotech reserves the right to adjust any aspect of this datasheet at any time and without notice. It is the responsibility of the customer to inform AAA Biotech of any product performance issues observed or experienced within 30 days of receipt of said product. To see additional details on this or any of our other policies, please see our Terms & Conditions page.Item has been added to Shopping Cart
If you are ready to order, navigate to Shopping Cart and get ready to checkout.
