Rabbit Tristetraprolin Polyclonal Antibody | anti-ZFP36 antibody
Tristetraprolin Antibody
IHC (Immunohistochemistry)
(AAA328977 at 1/100 staining Human pancreatic cancer by IHC-P. The sample was formaldehyde fixed and a heat mediated antigen retrieval step in citrate buffer was performed. The sample was then blocked and incubated with the primary antibody at 4°C overnight. An HRP conjugated anti-Rabbit antibody was used as the secondary antibody.)
IHC (Immunohistochemisry)
(AAA328977 at 1/100 staining Human kidney cancer by IHC-P. The sample was formaldehyde fixed and a heat mediated antigen retrieval step in citrate buffer was performed. The sample was then blocked and incubated with the primary antibody at 4°C overnight. An HRP conjugated anti-Rabbit antibody was used as the secondary antibody.)
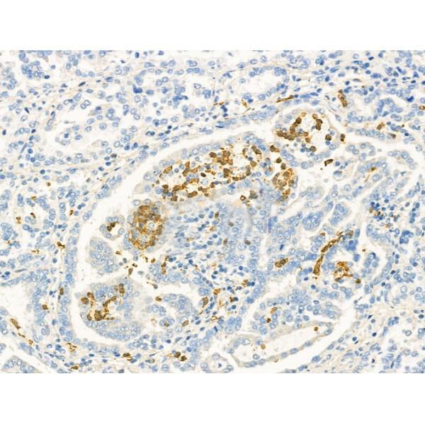
IHC (Immunohiostchemistry)
(AAA328977 at 1/100 staining Rat brain tissue by IHC-P. The sample was formaldehyde fixed and a heat mediated antigen retrieval step in citrate buffer was performed. The sample was then blocked and incubated with the primary antibody at 4°C overnight. An HRP conjugated anti-Rabbit antibody was used as the secondary antibody.)
WB (Western Blot)
(Western blot analysis of extracts from HepG2 cells, using Tristetraprolin Antibody. The lane on the left was treated with blocking peptide.)
Post Translational Modifications: Phosphorylated. Phosphorylation at serine and/or threonine residues occurs in a p38 MAPK- and MAPKAPK2-dependent manner (PubMed:16702957). Phosphorylated by MAPKAPK2 at Ser-60 and Ser-186; phosphorylation increases its stability and cytoplasmic localization, promotes binding to 14-3-3 adapter proteins and inhibits the recruitment of cytoplasmic CCR4-NOT and PAN2-PAN3 deadenylase complexes to the mRNA decay machinery, thereby inhibiting ZFP36-induced ARE-containing mRNA deadenylation and decay processes. Phosphorylation by MAPKAPK2 does not impair ARE-containing RNA-binding. Phosphorylated in a MAPKAPK2- and p38 MAPK-dependent manner upon skeletal muscle satellite cell activation; this phosphorylation inhibits ZFP36-mediated mRNA decay activity, and hence stabilizes MYOD1 mRNA (By similarity). Phosphorylated by MAPK1 upon mitogen stimulation (By similarity). Phosphorylated at Ser-66 and Ser-93; these phosphorylations increase in a SH3KBP1-dependent manner (PubMed:20221403). Phosphorylated at serine and threonine residues in a pyruvate kinase PKM- and p38 MAPK-dependent manner (PubMed:26926077). Phosphorylation at Ser-60 may participate in the PKM-mediated degradation of ZFP36 in a p38 MAPK-dependent manner (PubMed:26926077). Dephosphorylated by serine/threonine phosphatase 2A at Ser-186 (By similarity).Ubiquitinated; pyruvate kinase (PKM)-dependent ubiquitination leads to proteasomal degradation through a p38 MAPK signaling pathway (PubMed:26926077).
Subcellular Location: Nucleus. Cytoplasm. Cytoplasmic granule. Cytoplasm>P-body. Note: Shuttles between nucleus and cytoplasm in a CRM1-dependent manner (By similarity). Localized predominantly in the cytoplasm in a p38 MAPK- and YWHAB-dependent manner (By similarity). Colocalizes with SH3KBP1 and MAP3K4 in the cytoplasm (PubMed:20221403). Component of cytoplasmic stress granules (SGs) (By similarity). Localizes to cytoplasmic stress granules upon energy starvation (PubMed:15014438). Localizes in processing bodies (PBs) (PubMed:17369404). Excluded from stress granules in a phosphorylation MAPKAPK2-dependent manner (By similarity). Shuttles in and out of both cytoplasmic P-body and SGs (By similarity).Nucleus. Cytoplasm. Note: (Microbial infection) Colocalizes with HTLV-1 TAX in the nucleus and the cytoplasm in a region surrounding the nucleus.
Tissue Specificity: Expressed in both basal and suprabasal epidermal layers (PubMed:27182009). Expressed in epidermal keratinocytes (PubMed:27182009). Expressed strongly in mature dendritic cells (PubMed:18367721). Expressed in immature dendritic cells (at protein level) (PubMed:18367721).
Subunit Structure: Associates with cytoplasmic CCR4-NOT and PAN2-PAN3 deadenylase complexes to trigger ARE-containing mRNA deadenylation and decay processes (By similarity). Part of a mRNA decay activation complex at least composed of poly(A)-specific exoribonucleases CNOT6, EXOSC2 and XRN1 and mRNA-decapping enzymes DCP1A and DCP2 (PubMed:15687258). Associates with the RNA exosome complex (PubMed:11719186). Interacts (via phosphorylated form) with 14-3-3 proteins; these interactions promote exclusion of ZFP36 from cytoplasmic stress granules in response to arsenite treatment in a MAPKAPK2-dependent manner and does not prevent CCR4-NOT deadenylase complex recruitment or ZFP36-induced ARE-containing mRNA deadenylation and decay processes (By similarity). Interacts with 14-3-3 proteins; these interactions occur in response to rapamycin in an Akt-dependent manner (PubMed:16702957). Interacts with AGO2 and AGO4 (PubMed:15766526). Interacts (via C-terminus) with CNOT1; this interaction occurs in a RNA-independent manner and induces mRNA deadenylation (PubMed:23644599). Interacts (via N-terminus) with CNOT6 (PubMed:15687258). Interacts with CNOT6L (By similarity). Interacts (via C-terminus) with CNOT7; this interaction occurs in a RNA-independent manner, induces mRNA deadenylation and is inhibited in a phosphorylation MAPKAPK2-dependent manner (PubMed:25106868). Interacts (via unphosphorylated form) with CNOT8; this interaction occurs in a RNA-independent manner and is inhibited in a phosphorylation MAPKAPK2-dependent manner (By similarity). Interacts with DCP1A (PubMed:15687258). Interacts (via N-terminus) with DCP2 (PubMed:15687258, PubMed:16364915). Interacts with EDC3 (PubMed:16364915). Interacts (via N-terminus) with EXOSC2 (PubMed:15687258). Interacts with heat shock 70 kDa proteins (PubMed:20221403). Interacts with KHSRP; this interaction increases upon cytokine-induced treatment (PubMed:16126846). Interacts with MAP3K4; this interaction enhances the association with SH3KBP1/CIN85 (PubMed:20221403). Interacts with MAPKAPK2; this interaction occurs upon skeletal muscle satellite cell activation (By similarity). Interacts with NCL (PubMed:20221403). Interacts with NUP214; this interaction increases upon lipopolysaccharide (LPS) stimulation (PubMed:14766228). Interacts with PABPC1; this interaction occurs in a RNA-dependent manner (PubMed:20221403). Interacts (via hypophosphorylated form) with PABPN1 (via RRM domain and C-terminal arginine-rich region); this interaction occurs in the nucleus in a RNA-independent manner, decreases in presence of single-stranded poly(A) RNA-oligomer and in a p38 MAPK-dependent-manner and inhibits nuclear poly(A) tail synthesis (By similarity). Interacts with PAN2 (By similarity). Interacts (via C3H1-type zinc finger domains) with PKM (PubMed:26926077). Interacts (via C3H1-type zinc finger domains) with nuclear RNA poly(A) polymerase (By similarity). Interacts with PPP2CA; this interaction occurs in LPS-stimulated cells and induces ZFP36 dephosphorylation, and hence may promote ARE-containing mRNAs decay (By similarity). Interacts (via C-terminus) with PRR5L (via C-terminus); this interaction may accelerate ZFP36-mediated mRNA decay during stress (PubMed:21964062). Interacts (via C-terminus) with SFN; this interaction occurs in a phosphorylation-dependent manner (By similarity). Interacts (via extreme C-terminal region) with SH3KBP1/CIN85 (via SH3 domains); this interaction enhances MAP3K4-induced phosphorylation of ZFP36 at Ser-66 and Ser-93 and does not alter neither ZFP36 binding to ARE-containing transcripts nor TNF-alpha mRNA decay (PubMed:20221403). Interacts with XRN1 (PubMed:15687258). Interacts (via C-terminus and Ser-186 phosphorylated form) with YWHAB; this interaction occurs in a p38/MAPKAPK2-dependent manner, increases cytoplasmic localization of ZFP36 and protects ZFP36 from Ser-186 dephosphorylation by serine/threonine phosphatase 2A, and hence may be crucial for stabilizing ARE-containing mRNAs (By similarity). Interacts (via phosphorylated form) with YWHAE (By similarity). Interacts (via C-terminus) with YWHAG; this interaction occurs in a phosphorylation-dependent manner (By similarity). Interacts with YWHAH; this interaction occurs in a phosphorylation-dependent manner (By similarity). Interacts with YWHAQ; this interaction occurs in a phosphorylation-dependent manner (By similarity). Interacts with (via C-terminus) YWHAZ; this interaction occurs in a phosphorylation-dependent manner (By similarity). Interacts (via P-P-P-P-G repeats) with GIGYF2; the interaction is direct (By similarity).(Microbial infection) Interacts (via C-terminus) with HTLV-1 TAX (via C-terminus); this interaction inhibits HTLV-1 TAX to transactivate viral long terminal repeat (LTR) promoter (PubMed:14679154).
Similarity: The C3H1-type zinc finger domains are necessary for ARE-binding activity (PubMed:10330172).
NCBI and Uniprot Product Information
Predicted Molecular Weight: (Calculated)34kDa.
Customer Reviews
Loading reviews...
Share Your Experience
Similar Products
Product Notes
The ZFP36 zfp36 (Catalog #AAA328977) is an Antibody produced from Rabbit and is intended for research purposes only. The product is available for immediate purchase. The Tristetraprolin Antibody reacts with Human, Mouse, Rat and may cross-react with other species as described in the data sheet. AAA Biotech's Tristetraprolin can be used in a range of immunoassay formats including, but not limited to, ELISA. Researchers should empirically determine the suitability of the ZFP36 zfp36 for an application not listed in the data sheet. Researchers commonly develop new applications and it is an integral, important part of the investigative research process. It is sometimes possible for the material contained within the vial of "Tristetraprolin, Polyclonal Antibody" to become dispersed throughout the inside of the vial, particularly around the seal of said vial, during shipment and storage. We always suggest centrifuging these vials to consolidate all of the liquid away from the lid and to the bottom of the vial prior to opening. Please be advised that certain products may require dry ice for shipping and that, if this is the case, an additional dry ice fee may also be required.Precautions
All products in the AAA Biotech catalog are strictly for research-use only, and are absolutely not suitable for use in any sort of medical, therapeutic, prophylactic, in-vivo, or diagnostic capacity. By purchasing a product from AAA Biotech, you are explicitly certifying that said products will be properly tested and used in line with industry standard. AAA Biotech and its authorized distribution partners reserve the right to refuse to fulfill any order if we have any indication that a purchaser may be intending to use a product outside of our accepted criteria.Disclaimer
Though we do strive to guarantee the information represented in this datasheet, AAA Biotech cannot be held responsible for any oversights or imprecisions. AAA Biotech reserves the right to adjust any aspect of this datasheet at any time and without notice. It is the responsibility of the customer to inform AAA Biotech of any product performance issues observed or experienced within 30 days of receipt of said product. To see additional details on this or any of our other policies, please see our Terms & Conditions page.Item has been added to Shopping Cart
If you are ready to order, navigate to Shopping Cart and get ready to checkout.
