Rabbit anti-Human TRNAU1AP Polyclonal Antibody | anti-TRNAU1AP antibody
TRNAU1AP Antibody
Gene Names
TRNAU1AP; SECP43; PRO1902; TRSPAP1
Reactivity
Human
Applications
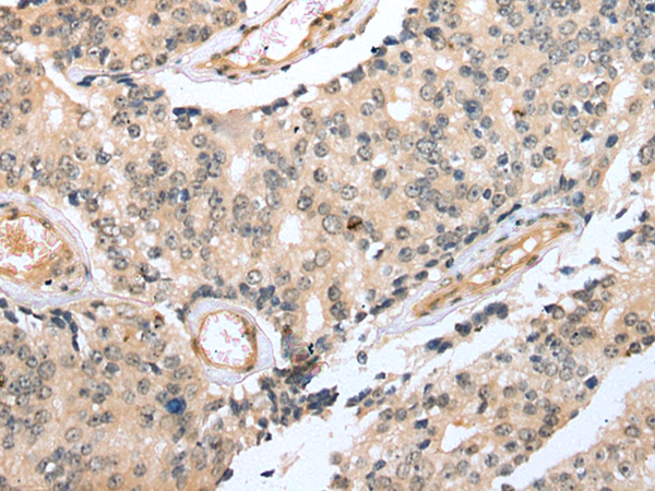
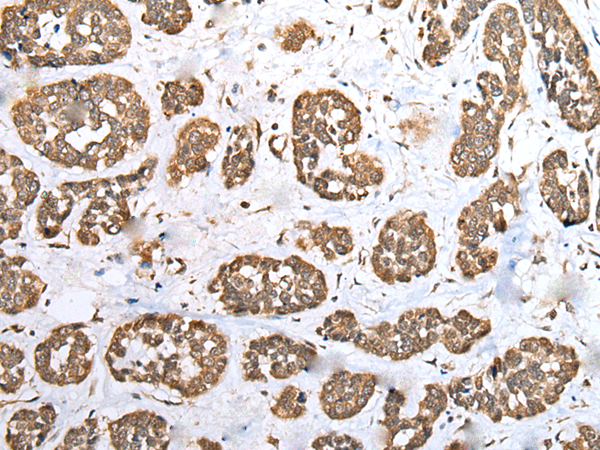
Immunohistochemistry
Purity
Antigen Affinity Purification
Synonyms
TRNAU1AP, Antibody; TRNAU1AP Antibody; SECP43; PRO1902; TRSPAP1; anti-TRNAU1AP antibody
Host
Rabbit
Reactivity
Human
Clonality
Polyclonal
Specificity
The antibody detects endogenous levels of total TRNAU1AP protein.
Purity/Purification
Antigen Affinity Purification
Form/Format
Rabbit IgG in pH7.4 PBS, 0.05% NaN3, 40% Glycerol.
Concentration
0.8 mg/ml (varies by lot)
Sequence Length
287
Applicable Applications for anti-TRNAU1AP antibody
IHC (Immunohistochemistry)
Immunogen
Fusion protein of human TRNAU1AP
Immunogen Type
Protein
Preparation and Storage
Store at -20 degree C
Related Product Information for anti-TRNAU1AP antibody
Involved in the early steps of selenocysteine biosynthesis and tRNA(Sec) charging to the later steps resulting in the cotranslational incorporation of selenocysteine into selenoproteins. Stabilizes the SECISBP2, EEFSEC and tRNA(Sec) complex.May be involved in the methylation of tRNA(Sec). Enhances efficiency of selenoproteins synthesis (By similarity).
Product Categories/Family for anti-TRNAU1AP antibody
NCBI and Uniprot Product Information
NCBI GI #
NCBI GeneID
NCBI Accession #
NCBI GenBank Nucleotide #
Molecular Weight
20,403 Da
NCBI Official Full Name
tRNA selenocysteine 1-associated protein 1
NCBI Official Synonym Full Names
tRNA selenocysteine 1 associated protein 1
NCBI Official Symbol
TRNAU1AP
NCBI Official Synonym Symbols
SECP43; PRO1902; TRSPAP1
NCBI Protein Information
tRNA selenocysteine 1-associated protein 1
UniProt Protein Name
tRNA selenocysteine 1-associated protein 1
UniProt Gene Name
TRNAU1AP
UniProt Synonym Gene Names
SECP43; TRSPAP1
UniProt Entry Name
TSAP1_HUMAN
Customer Reviews
Loading reviews...
Share Your Experience
Similar Products
Product Notes
The TRNAU1AP trnau1ap (Catalog #AAA308665) is an Antibody produced from Rabbit and is intended for research purposes only. The product is available for immediate purchase. The TRNAU1AP Antibody reacts with Human and may cross-react with other species as described in the data sheet. AAA Biotech's TRNAU1AP can be used in a range of immunoassay formats including, but not limited to, IHC (Immunohistochemistry). Researchers should empirically determine the suitability of the TRNAU1AP trnau1ap for an application not listed in the data sheet. Researchers commonly develop new applications and it is an integral, important part of the investigative research process. It is sometimes possible for the material contained within the vial of "TRNAU1AP, Polyclonal Antibody" to become dispersed throughout the inside of the vial, particularly around the seal of said vial, during shipment and storage. We always suggest centrifuging these vials to consolidate all of the liquid away from the lid and to the bottom of the vial prior to opening. Please be advised that certain products may require dry ice for shipping and that, if this is the case, an additional dry ice fee may also be required.Precautions
All products in the AAA Biotech catalog are strictly for research-use only, and are absolutely not suitable for use in any sort of medical, therapeutic, prophylactic, in-vivo, or diagnostic capacity. By purchasing a product from AAA Biotech, you are explicitly certifying that said products will be properly tested and used in line with industry standard. AAA Biotech and its authorized distribution partners reserve the right to refuse to fulfill any order if we have any indication that a purchaser may be intending to use a product outside of our accepted criteria.Disclaimer
Though we do strive to guarantee the information represented in this datasheet, AAA Biotech cannot be held responsible for any oversights or imprecisions. AAA Biotech reserves the right to adjust any aspect of this datasheet at any time and without notice. It is the responsibility of the customer to inform AAA Biotech of any product performance issues observed or experienced within 30 days of receipt of said product. To see additional details on this or any of our other policies, please see our Terms & Conditions page.Item has been added to Shopping Cart
If you are ready to order, navigate to Shopping Cart and get ready to checkout.
