Rabbit anti-Human, mouse Troponin T, cardiac muscle Polyclonal Antibody | anti-TNNT2 antibody
Rabbit anti-human Troponin T, cardiac muscle polyclonal Antibody
IF (Immunofluorescence)
(Immunofluorescence staining of Hela cells with AAA229900 at 1:66,counter-stained withDAPI. The cells were fixedin4% formaldehyde, permeabilized using 0.2% TritonX-100 and blockedin10%normal GoatSerum.The cells were then incubated with the antibody overnight at 4°C.The secondary antibody was AlexaFluor488-congugated Affini Pure Goat Anti-RabbitIgG(H+L).)
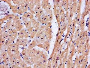
IHC (Immunohiostchemistry)
(IHC image of AAA229900 dilutedat 1:200 and staining in paraffin-embedded human heart tissue performed on a Leica Bond TMsystem. After dewaxing and hydration, antigen retrieval was mediated by high pressure in a citrate buffer(pH6.0).Section was blocked with 10% normalgoatserum30min atRT.Then primary antibody(1%BSA)was incubated at 4°Covernight.The primary is detected by a biotinylated secondary antibody and visualized using an HRP conjugated SPsystem.)
WB (Western Blot)
(Western BlotPositiveWB detected in: Mouse skeletal muscle Alllanes: TNNT2 antibody at 4 ug/ml SecondaryGoat polyclonal to rabbit IgG at 1/50000 dilutionPredicted band size: 36,35,32,31 kDaObserved bandsize:36,32kDa)
This protein is the tropomyosin-binding subunit of the troponin complex, which is located on the thin filament of striated muscles and regulates muscle contraction in response to alterations in intracellular calcium ion concentration. Mutations in this gene have been associated with familial hypertrophic cardiomyopathy as well as with dilated cardiomyopathy. Transcripts for this gene undergo alternative splicing that results in many tissue-specific isoforms, however, the full-length nature of some of these variants has not yet been determined.
NCBI and Uniprot Product Information
Customer Reviews
Loading reviews...
Share Your Experience
Similar Products
Product Notes
The TNNT2 tnnt2 (Catalog #AAA229900) is an Antibody produced from Rabbit and is intended for research purposes only. The product is available for immediate purchase. The Rabbit anti-human Troponin T, cardiac muscle polyclonal Antibody reacts with Human, mouse and may cross-react with other species as described in the data sheet. AAA Biotech's Troponin T, cardiac muscle can be used in a range of immunoassay formats including, but not limited to, IF (Immunofluorescence), IHC (Immunohistochemistry), WB (Western Blot), ELISA. Researchers should empirically determine the suitability of the TNNT2 tnnt2 for an application not listed in the data sheet. Researchers commonly develop new applications and it is an integral, important part of the investigative research process. It is sometimes possible for the material contained within the vial of "Troponin T, cardiac muscle, Polyclonal Antibody" to become dispersed throughout the inside of the vial, particularly around the seal of said vial, during shipment and storage. We always suggest centrifuging these vials to consolidate all of the liquid away from the lid and to the bottom of the vial prior to opening. Please be advised that certain products may require dry ice for shipping and that, if this is the case, an additional dry ice fee may also be required.Precautions
All products in the AAA Biotech catalog are strictly for research-use only, and are absolutely not suitable for use in any sort of medical, therapeutic, prophylactic, in-vivo, or diagnostic capacity. By purchasing a product from AAA Biotech, you are explicitly certifying that said products will be properly tested and used in line with industry standard. AAA Biotech and its authorized distribution partners reserve the right to refuse to fulfill any order if we have any indication that a purchaser may be intending to use a product outside of our accepted criteria.Disclaimer
Though we do strive to guarantee the information represented in this datasheet, AAA Biotech cannot be held responsible for any oversights or imprecisions. AAA Biotech reserves the right to adjust any aspect of this datasheet at any time and without notice. It is the responsibility of the customer to inform AAA Biotech of any product performance issues observed or experienced within 30 days of receipt of said product. To see additional details on this or any of our other policies, please see our Terms & Conditions page.Item has been added to Shopping Cart
If you are ready to order, navigate to Shopping Cart and get ready to checkout.
