Rabbit TRPC1 Polyclonal Antibody | anti-TRPC1 antibody
TRPC1 Antibody
Gene Names
TRPC1; TRP1; HTRP-1
Reactivity
Human, Mouse, RatPredicted: Pig, Zebrafish, Horse, Sheep, Rabbit, Dog, Chicken
Applications
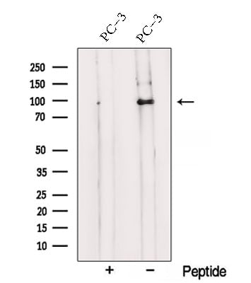
Western Blot
Purity
The antiserum was purified by peptide affinity chromatography using SulfoLink Coupling Resin (Thermo Fisher Scientific).
Synonyms
TRPC1, Antibody; TRPC1 Antibody; HTRP 1; HTRP1; MGC133334; MGC133335; Mtrp1; Short transient receptor potential channel 1; Transient receptor potential canonical 1; Transient receptor potential cation channel subfamily C member 1; Transient receptor potential channel 1; Transient receptor protein 1; TRP 1; TRP 1 protein; Trp related protein 1; TRP-1; TRP1; TRP1 protein; TrpC1; Trpc1 transient receptor potential cation channel subfamily C member 1; TRPC1_HUMAN; Trrp1; anti-TRPC1 antibody
Host
Rabbit
Reactivity
Human, Mouse, Rat
Predicted: Pig, Zebrafish, Horse, Sheep, Rabbit, Dog, Chicken
Predicted: Pig, Zebrafish, Horse, Sheep, Rabbit, Dog, Chicken
Clonality
Polyclonal
Isotype
IgG
Specificity
TRPC1 Antibody detects endogenous levels of TRPC1.
Purity/Purification
The antiserum was purified by peptide affinity chromatography using SulfoLink Coupling Resin (Thermo Fisher Scientific).
Form/Format
Liquid; Phosphate buffered saline, pH 7.4, 150mM NaCl, 0.02% sodium azide and 50% glycerol.
Concentration
1mg/ml (varies by lot)
Sequence Length
759
Applicable Applications for anti-TRPC1 antibody
WB (Western Blot)
Immunogen
A synthesized peptide derived from human TRPC1.
Tissue Specificity
Seems to be ubiquitous.
Fragment
Fab Fragment
Conjugate
Unconjugated
Preparation and Storage
Store at -20 degree C. Stable for 12 months from date of receipt.
Related Product Information for anti-TRPC1 antibody
Description: Thought to form a receptor-activated non-selective calcium permeant cation channel. Probably is operated by a phosphatidylinositol second messenger system activated by receptor tyrosine kinases or G-protein coupled receptors. Seems to be also activated by intracellular calcium store depletion.
Post Translational Modifications: Activation of PRKCA induces phosphorylation of TRPC1 and subsequent Ca2+ entry into cells.
Subunit Structure: Interacts with TRPC4AP (By similarity). Homotetramer and heterotetramer with TRPC4 and/or TRPC5. Interacts with TRPC3, TRPC4 and TRPC5. Interacts with ITPR3. Interacts with MX1 and RNF24. Interacts with FKBP4.
Similarity: Belongs to the transient receptor (TC 1.A.4) family. STrpC subfamily. TRPC1 sub-subfamily.
Post Translational Modifications: Activation of PRKCA induces phosphorylation of TRPC1 and subsequent Ca2+ entry into cells.
Subunit Structure: Interacts with TRPC4AP (By similarity). Homotetramer and heterotetramer with TRPC4 and/or TRPC5. Interacts with TRPC3, TRPC4 and TRPC5. Interacts with ITPR3. Interacts with MX1 and RNF24. Interacts with FKBP4.
Similarity: Belongs to the transient receptor (TC 1.A.4) family. STrpC subfamily. TRPC1 sub-subfamily.
NCBI and Uniprot Product Information
NCBI GI #
NCBI GeneID
NCBI Accession #
NCBI GenBank Nucleotide #
UniProt Accession #
Molecular Weight
Observed: 91 kDa
Predicted: 92 kDa
Predicted: 92 kDa
NCBI Official Full Name
short transient receptor potential channel 1 isoform 2
NCBI Official Synonym Full Names
transient receptor potential cation channel subfamily C member 1
NCBI Official Symbol
TRPC1
NCBI Official Synonym Symbols
TRP1; HTRP-1
NCBI Protein Information
short transient receptor potential channel 1
UniProt Protein Name
Short transient receptor potential channel 1
UniProt Gene Name
TRPC1
UniProt Synonym Gene Names
TRP1; TrpC1; TRP-1
UniProt Entry Name
TRPC1_HUMAN
Customer Reviews
Loading reviews...
Share Your Experience
Similar Products
Product Notes
The TRPC1 trpc1 (Catalog #AAA328750) is an Antibody produced from Rabbit and is intended for research purposes only. The product is available for immediate purchase. The TRPC1 Antibody reacts with Human, Mouse, Rat Predicted: Pig, Zebrafish, Horse, Sheep, Rabbit, Dog, Chicken and may cross-react with other species as described in the data sheet. AAA Biotech's TRPC1 can be used in a range of immunoassay formats including, but not limited to, WB (Western Blot). Researchers should empirically determine the suitability of the TRPC1 trpc1 for an application not listed in the data sheet. Researchers commonly develop new applications and it is an integral, important part of the investigative research process. It is sometimes possible for the material contained within the vial of "TRPC1, Polyclonal Antibody" to become dispersed throughout the inside of the vial, particularly around the seal of said vial, during shipment and storage. We always suggest centrifuging these vials to consolidate all of the liquid away from the lid and to the bottom of the vial prior to opening. Please be advised that certain products may require dry ice for shipping and that, if this is the case, an additional dry ice fee may also be required.Precautions
All products in the AAA Biotech catalog are strictly for research-use only, and are absolutely not suitable for use in any sort of medical, therapeutic, prophylactic, in-vivo, or diagnostic capacity. By purchasing a product from AAA Biotech, you are explicitly certifying that said products will be properly tested and used in line with industry standard. AAA Biotech and its authorized distribution partners reserve the right to refuse to fulfill any order if we have any indication that a purchaser may be intending to use a product outside of our accepted criteria.Disclaimer
Though we do strive to guarantee the information represented in this datasheet, AAA Biotech cannot be held responsible for any oversights or imprecisions. AAA Biotech reserves the right to adjust any aspect of this datasheet at any time and without notice. It is the responsibility of the customer to inform AAA Biotech of any product performance issues observed or experienced within 30 days of receipt of said product. To see additional details on this or any of our other policies, please see our Terms & Conditions page.Item has been added to Shopping Cart
If you are ready to order, navigate to Shopping Cart and get ready to checkout.
