Rabbit TRPC6 Polyclonal Antibody | anti-TRPC6 antibody
Anti-TRPC6 antibody
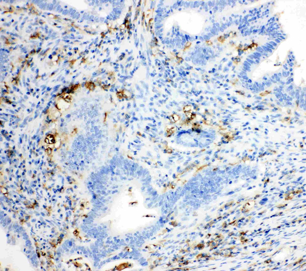
IHC (Immunohiostchemistry)
(Anti-TRPC6 antibody, AAA45181, IHC(P)IHC(P): Human Intestinal Cancer Tissue)
WB (Western Blot)
(Anti-TRPC6 antibody, AAA45181, Western blottingLane 1: Rat Lung Tissue LysateLane 2: 293T Cell LysateLane 3: 293T Cell Lysate)
Background: TRPC6(Transient receptor potential cation channel, subfamily C, member 6), also known as TRP6, is a transient receptor potentialion channel.TRPC6 is a novel member of the TRPC family. The predicted 931-amino acid protein shares 93% identity with mouse Trpc6. Northern blot analysis revealed that TRPC6 is expressed primarily in placenta, lung, spleen, ovary, and small intestine. The TRPC6 gene is mapped on 11q22.1. TRPC6 is a nonselective cation channel that is activated by diacylglycerol(DAG) in a membrane-delimited fashion, independently of protein kinase C. Although TRPC3, the closest structural relative of TRPC6, is activated in the same manner, human TRPC1 and mouse Trpc4 and Trpc5 were unresponsive to DAG. Immunofluorescence studies showed that most TRPC6 expression is confined to podocytes. TRPC6 was also expressed in glomerular endothelial cells. Cardiac-specific overexpression of TRPC6 in transgenic mice resulted in heightened sensitivity to stress, a propensity for lethal cardiac growth and heart failure, and an increase in Nfat-dependent expression of beta-myosin heavy chain(MYH7), a marker for pathologic hypertrophy. Studies of Trpc6 -/- mice showed that Trpc6 has a role in regulation of smooth muscle tone in blood vessels and lung.
NCBI and Uniprot Product Information
Customer Reviews
Loading reviews...
Share Your Experience
Similar Products
Product Notes
The TRPC6 trpc6 (Catalog #AAA45181) is an Antibody produced from Rabbit and is intended for research purposes only. The product is available for immediate purchase. The Anti-TRPC6 antibody reacts with Human, Mouse, Rat and may cross-react with other species as described in the data sheet. AAA Biotech's TRPC6 can be used in a range of immunoassay formats including, but not limited to, IHC (Immunohistochemistry), WB (Western Blot). Researchers should empirically determine the suitability of the TRPC6 trpc6 for an application not listed in the data sheet. Researchers commonly develop new applications and it is an integral, important part of the investigative research process. It is sometimes possible for the material contained within the vial of "TRPC6, Polyclonal Antibody" to become dispersed throughout the inside of the vial, particularly around the seal of said vial, during shipment and storage. We always suggest centrifuging these vials to consolidate all of the liquid away from the lid and to the bottom of the vial prior to opening. Please be advised that certain products may require dry ice for shipping and that, if this is the case, an additional dry ice fee may also be required.Precautions
All products in the AAA Biotech catalog are strictly for research-use only, and are absolutely not suitable for use in any sort of medical, therapeutic, prophylactic, in-vivo, or diagnostic capacity. By purchasing a product from AAA Biotech, you are explicitly certifying that said products will be properly tested and used in line with industry standard. AAA Biotech and its authorized distribution partners reserve the right to refuse to fulfill any order if we have any indication that a purchaser may be intending to use a product outside of our accepted criteria.Disclaimer
Though we do strive to guarantee the information represented in this datasheet, AAA Biotech cannot be held responsible for any oversights or imprecisions. AAA Biotech reserves the right to adjust any aspect of this datasheet at any time and without notice. It is the responsibility of the customer to inform AAA Biotech of any product performance issues observed or experienced within 30 days of receipt of said product. To see additional details on this or any of our other policies, please see our Terms & Conditions page.Item has been added to Shopping Cart
If you are ready to order, navigate to Shopping Cart and get ready to checkout.
