TRPM5 Polyclonal Antibody | anti-TRPM5 antibody
Anti-TRPM5 Antibody
IHC (Immunohistochemistry)
(TRPM5 was detected in paraffin-embedded sections of human prostatic cancer tissues using rabbit anti- TRPM5 Antigen Affinity purified polyclonal antibody at 1ug/mL. The immunohistochemical section was developed using SABC method.)
IHC (Immunohistochemisry)
(TRPM5 was detected in paraffin-embedded sections of rat testis tissues using rabbit anti- TRPM5 Antigen Affinity purified polyclonal antibody at 1ug/mL. The immunohistochemical section was developed using SABC method.)
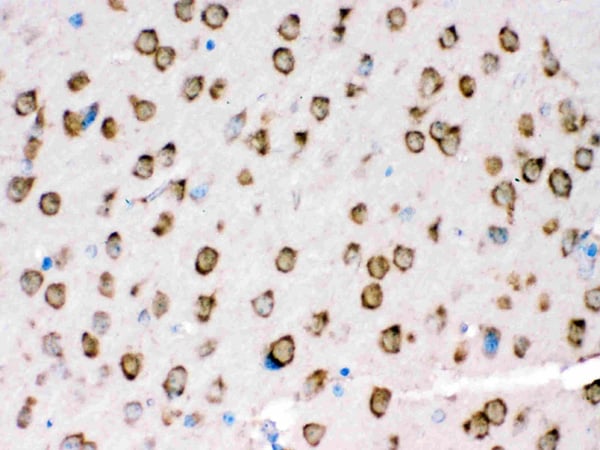
IHC (Immunohiostchemistry)
(TRPM5 was detected in paraffin-embedded sections of mouse brain tissues using rabbit anti- TRPM5 Antigen Affinity purified polyclonal antibody at 1 ug/mL. The immunohistochemical section was developed using SABC method.)
WB (Western Blot)
(Western blot analysis of TRPM5 expression in SMMC whole cell lysates (lane 1) and 293T whole cell lysates (lane 2). TRPM5 at 131KD was detected using rabbit anti- TRPM5 Antigen Affinity purified polyclonal antibody at0.5ug/mL. The blot was developed using chemiluminescence (ECL) method.)
Background: Transient receptor potential cation channel subfamily M member 5 (TRPM5) is a protein that in humans is encoded by the TRPM5 gene. This gene encodes a member of the transient receptor potential (TRP) protein family, which is a diverse group of proteins with structural features typical of ion channels. This protein plays an important role in taste transduction, and has characteristics of a calcium-activated, non-selective cation channel that carries Na+, K+, and Cs+ ions equally well, but not Ca(2+) ions. It is activated by lower concentrations of intracellular Ca(2+), and inhibited by higher concentrations. It is also a highly temperature-sensitive, heat activated channel showing a steep increase of inward currents at temperatures between 15 and 35 degrees Celsius. This gene is located within the Beckwith-Wiedemann syndrome critical region-1 on chromosome 11p15.5, and has been shown to be imprinted, with exclusive expression from the paternal allele.
NCBI and Uniprot Product Information
Customer Reviews
Loading reviews...
Share Your Experience
Similar Products
Product Notes
The TRPM5 trpm5 (Catalog #AAA46558) is an Antibody and is intended for research purposes only. The product is available for immediate purchase. The Anti-TRPM5 Antibody reacts with Human, Mouse, Rat and may cross-react with other species as described in the data sheet. AAA Biotech's TRPM5 can be used in a range of immunoassay formats including, but not limited to, IHC (Immunohistochemistry), WB (Western Blot). Researchers should empirically determine the suitability of the TRPM5 trpm5 for an application not listed in the data sheet. Researchers commonly develop new applications and it is an integral, important part of the investigative research process. It is sometimes possible for the material contained within the vial of "TRPM5, Polyclonal Antibody" to become dispersed throughout the inside of the vial, particularly around the seal of said vial, during shipment and storage. We always suggest centrifuging these vials to consolidate all of the liquid away from the lid and to the bottom of the vial prior to opening. Please be advised that certain products may require dry ice for shipping and that, if this is the case, an additional dry ice fee may also be required.Precautions
All products in the AAA Biotech catalog are strictly for research-use only, and are absolutely not suitable for use in any sort of medical, therapeutic, prophylactic, in-vivo, or diagnostic capacity. By purchasing a product from AAA Biotech, you are explicitly certifying that said products will be properly tested and used in line with industry standard. AAA Biotech and its authorized distribution partners reserve the right to refuse to fulfill any order if we have any indication that a purchaser may be intending to use a product outside of our accepted criteria.Disclaimer
Though we do strive to guarantee the information represented in this datasheet, AAA Biotech cannot be held responsible for any oversights or imprecisions. AAA Biotech reserves the right to adjust any aspect of this datasheet at any time and without notice. It is the responsibility of the customer to inform AAA Biotech of any product performance issues observed or experienced within 30 days of receipt of said product. To see additional details on this or any of our other policies, please see our Terms & Conditions page.Item has been added to Shopping Cart
If you are ready to order, navigate to Shopping Cart and get ready to checkout.
