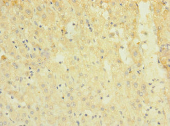
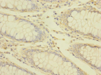
Rabbit anti-Human TRPM7 Polyclonal Antibody | anti-TRPM7 antibody
TRPM7 Antibody
Gene Names
TRPM7; CHAK; CHAK1; ALSPDC; LTRPC7; LTrpC-7; TRP-PLIK
Reactivity
Human
Applications
Immunohistochemistry, ELISA
Purity
Antigen Affinity Purified
Synonyms
TRPM7, Antibody; TRPM7 Antibody; Transient receptor potential cation channel subfamily M member 7; Channel-kinase 1; Long transient receptor potential channel 7; LTrpC-7; LTrpC7; TRPM7; CHAK1; LTRPC7; anti-TRPM7 antibody
Host
Rabbit
Reactivity
Human
Clonality
Polyclonal
Isotype
IgG
Purity/Purification
Antigen Affinity Purified
Form/Format
Liquid
Sequence Length
1864
Applicable Applications for anti-TRPM7 antibody
IHC (Immunohistochemistry), ELISA
Species
Human
Immunogen
Recombinant human Transient receptor potential cation channel subfamily M member 7 protein (756-855AA)
Conjugate
Non-conjugated
Buffer
PBS with 0.02% sodium azide, 50% glycerol, pH7.3.
Santa Cruz Alternative
Potential replacement for Santa Cruz Biotechnology antibody catalog# sc-19562 / sc-19563 / sc-31378 / sc-31379 / sc-31381 / sc-98250
Preparation and Storage
Shipped at 4 degree C. Upon delivery aliquot and store at -20 degree C or -80 degree C. Avoid repeated freeze.
Related Product Information for anti-TRPM7 antibody
Essential ion channel and serine/threonine-protein kinase. Divalent cation channel permeable to calcium and magnesium. Has a central role in magnesium ion homeostasis and in the regulation of anoxic neuronal cell death. Involved in TNF-induced necroptosis downstream of MLKL by mediating calcium influx. The kinase activity is essential for the channel function. May be involved in a fundamental process that adjusts plasma membrane divalent cation fluxes according to the metabolic state of the cell. Phosphorylates annexin A1 (ANXA1).
NCBI and Uniprot Product Information
NCBI GI #
NCBI GeneID
NCBI Accession #
NCBI GenBank Nucleotide #
Molecular Weight
212,697 Da
NCBI Official Full Name
transient receptor potential cation channel subfamily M member 7 isoform b
NCBI Official Synonym Full Names
transient receptor potential cation channel subfamily M member 7
NCBI Official Symbol
TRPM7
NCBI Official Synonym Symbols
CHAK; CHAK1; ALSPDC; LTRPC7; LTrpC-7; TRP-PLIK
NCBI Protein Information
transient receptor potential cation channel subfamily M member 7
UniProt Protein Name
Transient receptor potential cation channel subfamily M member 7
UniProt Gene Name
TRPM7
UniProt Synonym Gene Names
CHAK1; LTRPC7; LTrpC-7; LTrpC7
UniProt Entry Name
TRPM7_HUMAN
Customer Reviews
Loading reviews...
Share Your Experience
Similar Products
Product Notes
The TRPM7 trpm7 (Catalog #AAA232297) is an Antibody produced from Rabbit and is intended for research purposes only. The product is available for immediate purchase. The TRPM7 Antibody reacts with Human and may cross-react with other species as described in the data sheet. AAA Biotech's TRPM7 can be used in a range of immunoassay formats including, but not limited to, IHC (Immunohistochemistry), ELISA. Researchers should empirically determine the suitability of the TRPM7 trpm7 for an application not listed in the data sheet. Researchers commonly develop new applications and it is an integral, important part of the investigative research process. It is sometimes possible for the material contained within the vial of "TRPM7, Polyclonal Antibody" to become dispersed throughout the inside of the vial, particularly around the seal of said vial, during shipment and storage. We always suggest centrifuging these vials to consolidate all of the liquid away from the lid and to the bottom of the vial prior to opening. Please be advised that certain products may require dry ice for shipping and that, if this is the case, an additional dry ice fee may also be required.Precautions
All products in the AAA Biotech catalog are strictly for research-use only, and are absolutely not suitable for use in any sort of medical, therapeutic, prophylactic, in-vivo, or diagnostic capacity. By purchasing a product from AAA Biotech, you are explicitly certifying that said products will be properly tested and used in line with industry standard. AAA Biotech and its authorized distribution partners reserve the right to refuse to fulfill any order if we have any indication that a purchaser may be intending to use a product outside of our accepted criteria.Disclaimer
Though we do strive to guarantee the information represented in this datasheet, AAA Biotech cannot be held responsible for any oversights or imprecisions. AAA Biotech reserves the right to adjust any aspect of this datasheet at any time and without notice. It is the responsibility of the customer to inform AAA Biotech of any product performance issues observed or experienced within 30 days of receipt of said product. To see additional details on this or any of our other policies, please see our Terms & Conditions page.Item has been added to Shopping Cart
If you are ready to order, navigate to Shopping Cart and get ready to checkout.
