Rabbit TUBB2B Polyclonal Antibody | anti-TUBB2B antibody
TUBB2B Antibody (N-term)
Predicted Reactivity: Chicken, Monkey, Bovine, Xenopus, Pig
Predicted Reactivity: Chicken, Monkey, Bovine, Xenopus, Pig
IHC (Immunohistochemistry)
(Immunohistochemical analysis of paraffin-embedded Human brain tissue using AAA284361 performed on the Leica® BOND RXm. Tissue was fixed with formaldehyde at room temperature, antigen retrieval was by heat mediation with a EDTA buffer (pH9. 0). Samples were incubated with primary antibody(1:2000) for 1 hours at room temperature. A undiluted biotinylated CRF Anti-Polyvalent HRP Polymer antibody was used as the secondary antibody.)
IHC (Immunohistochemistry)
(TUBB2B Antibody (N-term) immunohistochemistry analysis in formalin fixed and paraffin embedded human brain tissue followed by peroxidase conjugation of the secondary antibody and DAB staining.This data demonstrates the use of TUBB2B Antibody (N-term) for immunohistochemistry. Clinical relevance has not been evaluated.)
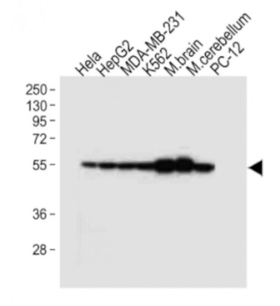
WB (Western Blot)
(All lanes : Anti-TUBB2B Antibody (N-term) at 1:4000 dilution Lane 1: Hela whole cell lysate Lane2: HepG2 whole cell lysate Lane 3: MDA-MB-231 whole cell lysate Lane 4: K562 whole cell lysateLane 5: Mouse brain tissue lysate Lane 6: Mouse cerebellum tissue lysate Lane 7: PC-12 whole cell lysate Lysates/proteins at 20 ?g per lane. Secondary Goat Anti-Rabbit IgG, (H+L), Peroxidase conjugated at 1/10000 dilution. Predicted band size : 50 kDa Blocking/Dilution buffer: 5% NFDM/TBST)
WB (Western Blot)
(TUBB2B Antibody (N-term) western blot analysis in HepG2,Hela,MDA-MB231 cell line lysates (35ug/lane).This demonstrates the TUBB2B antibody detected the TUBB2B protein (arrow).)
IF (Immunofluorescence)
(Confocal immunofluorescent analysis of TUBB2B Antibody (N-term) with HepG2 cell followed by Alexa Fluor 488-conjugated goat anti-rabbit lgG (green). DAPI was used to stain the cell nuclear (blue).)
tubulin, which binds GTP and is a major component of microtubules.
This gene is highly similar to TUBB2A and TUBB2C. Defects in this
gene are a cause of asymmetric polymicrogyria. [provided by
RefSeq].
Jaglin, X.H., et al. Nat. Genet. 41(6):746-752(2009)
Martins-de-Souza, D., et al. Eur Arch Psychiatry Clin Neurosci 259(3):151-163(2009)
Cucchiarelli, V., et al. Cell Motil. Cytoskeleton 65(8):675-685(2008)
Lamesch, P., et al. Genomics 89(3):307-315(2007)
NCBI and Uniprot Product Information
Customer Reviews
Loading reviews...
Share Your Experience
Similar Products
Product Notes
The TUBB2B tubb2b (Catalog #AAA284361) is an Antibody produced from Rabbit and is intended for research purposes only. The product is available for immediate purchase. The immunogen sequence is 12-39. The TUBB2B Antibody (N-term) reacts with Human, Mouse, Rat Predicted Reactivity: Chicken, Monkey, Bovine, Xenopus, Pig and may cross-react with other species as described in the data sheet. AAA Biotech's TUBB2B can be used in a range of immunoassay formats including, but not limited to, ELISA, IHC (Immunohistochemistry), WB (Western Blot). Researchers should empirically determine the suitability of the TUBB2B tubb2b for an application not listed in the data sheet. Researchers commonly develop new applications and it is an integral, important part of the investigative research process. It is sometimes possible for the material contained within the vial of "TUBB2B, Polyclonal Antibody" to become dispersed throughout the inside of the vial, particularly around the seal of said vial, during shipment and storage. We always suggest centrifuging these vials to consolidate all of the liquid away from the lid and to the bottom of the vial prior to opening. Please be advised that certain products may require dry ice for shipping and that, if this is the case, an additional dry ice fee may also be required.Precautions
All products in the AAA Biotech catalog are strictly for research-use only, and are absolutely not suitable for use in any sort of medical, therapeutic, prophylactic, in-vivo, or diagnostic capacity. By purchasing a product from AAA Biotech, you are explicitly certifying that said products will be properly tested and used in line with industry standard. AAA Biotech and its authorized distribution partners reserve the right to refuse to fulfill any order if we have any indication that a purchaser may be intending to use a product outside of our accepted criteria.Disclaimer
Though we do strive to guarantee the information represented in this datasheet, AAA Biotech cannot be held responsible for any oversights or imprecisions. AAA Biotech reserves the right to adjust any aspect of this datasheet at any time and without notice. It is the responsibility of the customer to inform AAA Biotech of any product performance issues observed or experienced within 30 days of receipt of said product. To see additional details on this or any of our other policies, please see our Terms & Conditions page.Item has been added to Shopping Cart
If you are ready to order, navigate to Shopping Cart and get ready to checkout.
