Rabbit anti-Human TULP3 Polyclonal Antibody | anti-TULP3 antibody
TULP3 Antibody
Gene Names
TULP3; TUBL3
Reactivity
Human
Applications
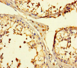
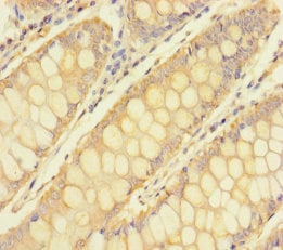
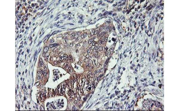
Immunohistochemistry, ELISA
Purity
>95%,Protein G purified
Synonyms
TULP3, Antibody; TULP3 Antibody; Tubby-related protein 3; Tubby-like protein 3; TULP3; TUBL3; anti-TULP3 antibody
Host
Rabbit
Reactivity
Human
Clonality
Polyclonal
Isotype
IgG
Purity/Purification
>95%,Protein G purified
Form/Format
Liquid
Sequence Length
501
Applicable Applications for anti-TULP3 antibody
IHC (Immunohistochemistry), ELISA
Immunogen
Recombinant human Tubby-related protein 3 protein
Conjugation
Non-conjugated
Storage Buffer
Preservative: 0.03% Proclin 300 Constituents: 50% Glycerol, 0.01M PBS, PH 7.4
Santa Cruz Alternative
Potential replacement for Santa Cruz Biotechnology antibody catalog# sc-13479 / sc-23511
Preparation and Storage
Shipped at 4 degree C. Upon delivery, aliquot and store at -20 degree C or -80 degree C.
Related Product Information for anti-TULP3 antibody
Negative regulator of the Shh signaling transduction pathway: recruited to primary cilia via association with the IFT complex A (IFT-A) and is required for recruitment of G protein-coupled receptor GPR161 to cilia, a promoter of PKA-dependent basal repression machinery in Shh signaling. Binds to phosphorylated inositide (phosphoinositide) lipids. Both IFT-A- and phosphoinositide-binding properties are required to regulate ciliary G protein-coupled receptor trafficking. Not involved in ciliogenesis.
NCBI and Uniprot Product Information
NCBI GI #
NCBI GeneID
NCBI Accession #
NCBI GenBank Nucleotide #
Molecular Weight
19,273 Da
NCBI Official Full Name
tubby-related protein 3 isoform 2
NCBI Official Synonym Full Names
tubby like protein 3
NCBI Official Symbol
TULP3
NCBI Official Synonym Symbols
TUBL3
NCBI Protein Information
tubby-related protein 3
UniProt Protein Name
Tubby-related protein 3
UniProt Gene Name
TULP3
UniProt Synonym Gene Names
TUBL3
UniProt Entry Name
TULP3_HUMAN
Customer Reviews
Loading reviews...
Share Your Experience
Similar Products
Product Notes
The TULP3 tulp3 (Catalog #AAA229088) is an Antibody produced from Rabbit and is intended for research purposes only. The product is available for immediate purchase. The TULP3 Antibody reacts with Human and may cross-react with other species as described in the data sheet. AAA Biotech's TULP3 can be used in a range of immunoassay formats including, but not limited to, IHC (Immunohistochemistry), ELISA. Researchers should empirically determine the suitability of the TULP3 tulp3 for an application not listed in the data sheet. Researchers commonly develop new applications and it is an integral, important part of the investigative research process. It is sometimes possible for the material contained within the vial of "TULP3, Polyclonal Antibody" to become dispersed throughout the inside of the vial, particularly around the seal of said vial, during shipment and storage. We always suggest centrifuging these vials to consolidate all of the liquid away from the lid and to the bottom of the vial prior to opening. Please be advised that certain products may require dry ice for shipping and that, if this is the case, an additional dry ice fee may also be required.Precautions
All products in the AAA Biotech catalog are strictly for research-use only, and are absolutely not suitable for use in any sort of medical, therapeutic, prophylactic, in-vivo, or diagnostic capacity. By purchasing a product from AAA Biotech, you are explicitly certifying that said products will be properly tested and used in line with industry standard. AAA Biotech and its authorized distribution partners reserve the right to refuse to fulfill any order if we have any indication that a purchaser may be intending to use a product outside of our accepted criteria.Disclaimer
Though we do strive to guarantee the information represented in this datasheet, AAA Biotech cannot be held responsible for any oversights or imprecisions. AAA Biotech reserves the right to adjust any aspect of this datasheet at any time and without notice. It is the responsibility of the customer to inform AAA Biotech of any product performance issues observed or experienced within 30 days of receipt of said product. To see additional details on this or any of our other policies, please see our Terms & Conditions page.Item has been added to Shopping Cart
If you are ready to order, navigate to Shopping Cart and get ready to checkout.
