Rabbit U2AF2 Polyclonal Antibody | anti-U2AF2 antibody
U2AF2 Antibody
Phosphate buffered saline, pH 7.4, 150mM NaCl, 0.02% sodium azide and 50% glycerol.
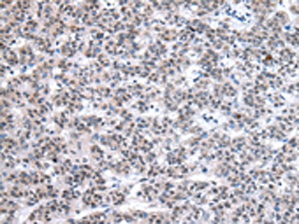
IHC (Immunohiostchemistry)
(AAA326468 at 1/100 staining Rat liver tissue by IHC-P. The sample was formaldehyde fixed and a heat mediated antigen retrieval step in citrate buffer was performed. The sample was then blocked and incubated with the antibody for 1.5 hours at 22 degree C. An HRP conjugated goat anti-rabbit antibody was used as the secondary.)
WB (Western Blot)
(Western blot analysis of Hela whole cell lysates, using U2AF2 Antibody. The lane on the left is treated with the antigen-specific peptide.)
Function: Plays a role in pre-mRNA splicing and 3'-end processing (PubMed:17024186). By recruiting PRPF19 and the PRP19C/Prp19 complex/NTC/Nineteen complex to the RNA polymerase II C-terminal domain (CTD), and thereby pre-mRNA, may couple transcription to splicing (PubMed:21536736). Induces cardiac troponin-T (TNNT2) pre-mRNA exon inclusion in muscle. Regulates the TNNT2 exon 5 inclusion through competition with MBNL1. Binds preferentially to a single-stranded structure within the polypyrimidine tract of TNNT2 intron 4 during spliceosome assembly. Required for the export of mRNA out of the nucleus, even if the mRNA is encoded by an intron-less gene. Represses the splicing of MAPT/Tau exon 10. Positively regulates pre-mRNA 3'-end processing by recruiting the CFIm complex to cleavage and polyadenylation signals (PubMed:17024186).
Subunit Structure: Interacts with U2AF1L4 (By similarity). Heterodimer with U2AF1 (PubMed:11551507). Binds unphosphorylated SF1 (PubMed:10449420, PubMed:12718882). Interacts with SCAF11 and SNW1 (PubMed:9447963, PubMed:21460037). Interacts with ZRSR2/U2AF1-RS2. Interacts with RBM17 (PubMed:17589525). Interacts with PRPF19; the interaction is direct. Interacts with POLR2A (via the C-terminal domain); recruits PRPF19 and the Prp19 complex to the pre-mRNA (PubMed:21536736). Interacts with KHDC4 (Isoform 2) (PubMed:19641227). Interacts with ZRSR2 (PubMed:9237760). Interacts with the SF3B complex composed of SF3B1, SF3B2, SF3B3, SF3B4, SF3B5, SF3B6 and PHF5A (PubMed:27720643). Interacts (via N-terminus) with CPSF7 (via C-terminus); this interaction stimulates pre-mRNA 3'-end processing by promoting the recruitment of the CFIm complex to cleavage and polyadenylation signals (PubMed:17024186).
Post-translational Modifications: Lysyl-hydroxylation at Lys-15 and Lys-276 affects the mRNA splicing activity of the protein, leading to regulate some, but not all, alternative splicing events.
Similarity: Belongs to the splicing factor SR family.
NCBI and Uniprot Product Information
Predicted: 54 kDa
Customer Reviews
Loading reviews...
Share Your Experience
Similar Products
Product Notes
The U2AF2 u2af2 (Catalog #AAA326468) is an Antibody produced from Rabbit and is intended for research purposes only. The product is available for immediate purchase. The U2AF2 Antibody reacts with Human, Mouse, Rat and may cross-react with other species as described in the data sheet. AAA Biotech's U2AF2 can be used in a range of immunoassay formats including, but not limited to, ELISA, IHC (Immunohistochemistry), WB (Western Blot). Researchers should empirically determine the suitability of the U2AF2 u2af2 for an application not listed in the data sheet. Researchers commonly develop new applications and it is an integral, important part of the investigative research process. It is sometimes possible for the material contained within the vial of "U2AF2, Polyclonal Antibody" to become dispersed throughout the inside of the vial, particularly around the seal of said vial, during shipment and storage. We always suggest centrifuging these vials to consolidate all of the liquid away from the lid and to the bottom of the vial prior to opening. Please be advised that certain products may require dry ice for shipping and that, if this is the case, an additional dry ice fee may also be required.Precautions
All products in the AAA Biotech catalog are strictly for research-use only, and are absolutely not suitable for use in any sort of medical, therapeutic, prophylactic, in-vivo, or diagnostic capacity. By purchasing a product from AAA Biotech, you are explicitly certifying that said products will be properly tested and used in line with industry standard. AAA Biotech and its authorized distribution partners reserve the right to refuse to fulfill any order if we have any indication that a purchaser may be intending to use a product outside of our accepted criteria.Disclaimer
Though we do strive to guarantee the information represented in this datasheet, AAA Biotech cannot be held responsible for any oversights or imprecisions. AAA Biotech reserves the right to adjust any aspect of this datasheet at any time and without notice. It is the responsibility of the customer to inform AAA Biotech of any product performance issues observed or experienced within 30 days of receipt of said product. To see additional details on this or any of our other policies, please see our Terms & Conditions page.Item has been added to Shopping Cart
If you are ready to order, navigate to Shopping Cart and get ready to checkout.
