Rabbit Ub Polyclonal Antibody | anti-Ub antibody
Ub Polyclonal Antibody
Gene Names
UBB; HEL-S-50
Reactivity
Human, Mouse, Rat
Applications
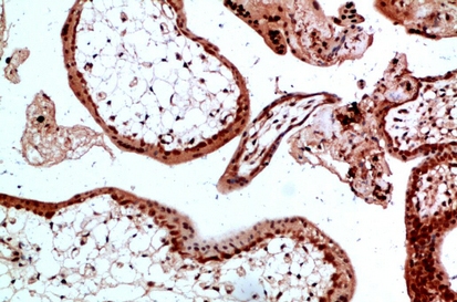
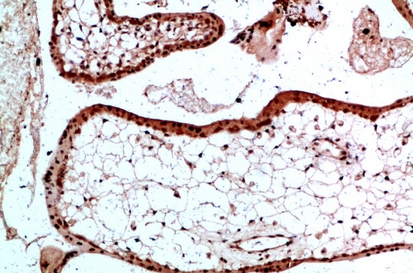
ELISA, Immunohistochemistry
Purity
Affinity Purification
Synonyms
Ub, Antibody; Ub Polyclonal Antibody; UBB; Polyubiquitin-B; UBC; Polyubiquitin-C; RPS27A; UBA80; UBCEP1; Ubiquitin-40S ribosomal protein S27a; Ubiquitin carboxyl extension protein 80; UBA52; UBCEP2; Ubiquitin-60S ribosomal protein L40; CEP52; Ubiquitin A-52 residue ribosomal pr; anti-Ub antibody
Host
Rabbit
Reactivity
Human, Mouse, Rat
Clonality
Polyclonal
Isotype
IgG
Purity/Purification
Affinity Purification
Concentration
1mg/mL (varies by lot)
Sequence Length
229
Applicable Applications for anti-Ub antibody
ELISA, IHC (Immunohistochemistry)
Immunogen
Synthetic peptide from human protein
Buffer
PBS with 0.02% sodium azide and 50% glycerol pH 7.4.
Preparation and Storage
Store at -20 degree C. Avoid freeze / thaw cycles.
Related Product Information for anti-Ub antibody
Ubiquitin exists either covalently attached to another protein, or free (unanchored). When covalently bound, it is conjugated to target proteins via an isopeptide bond either as a monomer (monoubiquitin), a polymer linked via different Lys residues of the ubiquitin (polyubiquitin chains) or a linear polymer linked via the initiator Met of the ubiquitin (linear polyubiquitin chains). Polyubiquitin chains, when attached to a target protein, have different functions depending on the Lys residue of the ubiquitin that is linked: Lys-6-linked may be involved in DNA repair; Lys-11-linked is involved in ERAD (endoplasmic reticulum-associated degradation) and in cell-cycle regulation; Lys-29-linked is involved in lysosomal degradation; Lys-33-linked is involved in kinase modification; Lys-48-linked is involved in protein degradation via the proteasome; Lys-63-linked is involved in endocytosis, DNA-damage responses as well as in signaling processes leading to activation of the transcription factor NF-kappa-B. Linear polymer chains formed via attachment by the initiator Met lead to cell signaling. Ubiquitin is usually conjugated to Lys residues of target proteins, however, in rare cases, conjugation to Cys or Ser residues has been observed. When polyubiquitin is free (unanchored-polyubiquitin), it also has distinct roles, such as in activation of protein kinases, and in signaling. Similarity: Belongs to the ubiquitin family. Contains 3 ubiquitin-like domains.
NCBI and Uniprot Product Information
NCBI GI #
NCBI GeneID
NCBI Accession #
NCBI GenBank Nucleotide #
UniProt Accession #
Molecular Weight
25,762 Da
NCBI Official Full Name
polyubiquitin-B
NCBI Official Synonym Full Names
ubiquitin B
NCBI Official Symbol
UBB
NCBI Official Synonym Symbols
HEL-S-50
NCBI Protein Information
polyubiquitin-B
UniProt Protein Name
Polyubiquitin-B
UniProt Gene Name
UBB
Similar Products
Product Notes
The Ub ubb (Catalog #AAA173955) is an Antibody produced from Rabbit and is intended for research purposes only. The product is available for immediate purchase. The Ub Polyclonal Antibody reacts with Human, Mouse, Rat and may cross-react with other species as described in the data sheet. AAA Biotech's Ub can be used in a range of immunoassay formats including, but not limited to, ELISA, IHC (Immunohistochemistry). Researchers should empirically determine the suitability of the Ub ubb for an application not listed in the data sheet. Researchers commonly develop new applications and it is an integral, important part of the investigative research process. It is sometimes possible for the material contained within the vial of "Ub, Polyclonal Antibody" to become dispersed throughout the inside of the vial, particularly around the seal of said vial, during shipment and storage. We always suggest centrifuging these vials to consolidate all of the liquid away from the lid and to the bottom of the vial prior to opening. Please be advised that certain products may require dry ice for shipping and that, if this is the case, an additional dry ice fee may also be required.Precautions
All products in the AAA Biotech catalog are strictly for research-use only, and are absolutely not suitable for use in any sort of medical, therapeutic, prophylactic, in-vivo, or diagnostic capacity. By purchasing a product from AAA Biotech, you are explicitly certifying that said products will be properly tested and used in line with industry standard. AAA Biotech and its authorized distribution partners reserve the right to refuse to fulfill any order if we have any indication that a purchaser may be intending to use a product outside of our accepted criteria.Disclaimer
Though we do strive to guarantee the information represented in this datasheet, AAA Biotech cannot be held responsible for any oversights or imprecisions. AAA Biotech reserves the right to adjust any aspect of this datasheet at any time and without notice. It is the responsibility of the customer to inform AAA Biotech of any product performance issues observed or experienced within 30 days of receipt of said product. To see additional details on this or any of our other policies, please see our Terms & Conditions page.Item has been added to Shopping Cart
If you are ready to order, navigate to Shopping Cart and get ready to checkout.
