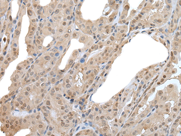
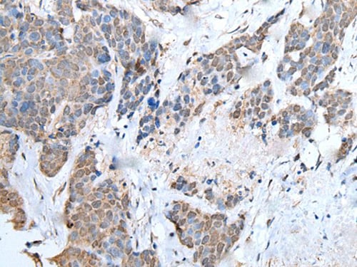
Rabbit anti-Human, Mouse UBA6 Polyclonal Antibody | anti-UBA6 antibody
UBA6 Rabbit Polyclonal Antibody
Gene Names
UBA6; E1-L2; MOP-4; UBE1L2
Reactivity
Human, Mouse
Applications
Immunofluorescence, Western Blot
Purity
Affinity purification
Synonyms
UBA6, Antibody; UBA6 Rabbit Polyclonal Antibody; UBA6; E1-L2; MOP-4; UBE1L2; anti-UBA6 antibody
Host
Rabbit
Reactivity
Human, Mouse
Clonality
Polyclonal
Isotype
IgG
Purity/Purification
Affinity purification
Form/Format
PBS with 0.02% sodium azide, 50% glycerol, pH7.3.
Applicable Applications for anti-UBA6 antibody
IF (Immunofluorescence), WB (Western Blot)
Immunogen
Recombinant fusion protein of human UBA6 (NP_060697.4).
Preparation and Storage
Store at -20 degree C. Avoid freeze/thaw cycles.
Related Product Information for anti-UBA6 antibody
Modification of proteins with ubiquitin (UBB; MIM 191339) or ubiquitin-like proteins controls many signaling networks and requires a ubiquitin-activating enzyme (E1), a ubiquitin conjugating enzyme (E2), and a ubiquitin protein ligase (E3). UBE1L2 is an E1 enzyme that initiates the activation and conjugation of ubiquitin-like proteins (Jin et al., 2007 [PubMed 17597759]).[supplied by OMIM, Mar 2008]
Product Categories/Family for anti-UBA6 antibody
NCBI and Uniprot Product Information
NCBI GI #
NCBI GeneID
UniProt Accession #
Molecular Weight
1052
NCBI Official Full Name
Ubiquitin-like modifier-activating enzyme 6
NCBI Official Synonym Full Names
ubiquitin-like modifier activating enzyme 6
NCBI Official Symbol
UBA6
NCBI Official Synonym Symbols
E1-L2; MOP-4; UBE1L2
NCBI Protein Information
ubiquitin-like modifier-activating enzyme 6; monocyte protein 4; ubiquitin-activating enzyme 6; UBA6, ubiquitin-activating enzyme E1; ubiquitin-activating enzyme E1-like 2; ubiquitin-activating enzyme E1-like protein 2
UniProt Protein Name
Ubiquitin-like modifier-activating enzyme 6
UniProt Gene Name
UBA6
UniProt Synonym Gene Names
MOP4; UBE1L2; Ubiquitin-activating enzyme 6; MOP-4; E1-L2
UniProt Entry Name
UBA6_HUMAN
Customer Reviews
Loading reviews...
Share Your Experience
Similar Products
Product Notes
The UBA6 uba6 (Catalog #AAA314054) is an Antibody produced from Rabbit and is intended for research purposes only. The product is available for immediate purchase. The UBA6 Rabbit Polyclonal Antibody reacts with Human, Mouse and may cross-react with other species as described in the data sheet. AAA Biotech's UBA6 can be used in a range of immunoassay formats including, but not limited to, IF (Immunofluorescence), WB (Western Blot). Researchers should empirically determine the suitability of the UBA6 uba6 for an application not listed in the data sheet. Researchers commonly develop new applications and it is an integral, important part of the investigative research process. It is sometimes possible for the material contained within the vial of "UBA6, Polyclonal Antibody" to become dispersed throughout the inside of the vial, particularly around the seal of said vial, during shipment and storage. We always suggest centrifuging these vials to consolidate all of the liquid away from the lid and to the bottom of the vial prior to opening. Please be advised that certain products may require dry ice for shipping and that, if this is the case, an additional dry ice fee may also be required.Precautions
All products in the AAA Biotech catalog are strictly for research-use only, and are absolutely not suitable for use in any sort of medical, therapeutic, prophylactic, in-vivo, or diagnostic capacity. By purchasing a product from AAA Biotech, you are explicitly certifying that said products will be properly tested and used in line with industry standard. AAA Biotech and its authorized distribution partners reserve the right to refuse to fulfill any order if we have any indication that a purchaser may be intending to use a product outside of our accepted criteria.Disclaimer
Though we do strive to guarantee the information represented in this datasheet, AAA Biotech cannot be held responsible for any oversights or imprecisions. AAA Biotech reserves the right to adjust any aspect of this datasheet at any time and without notice. It is the responsibility of the customer to inform AAA Biotech of any product performance issues observed or experienced within 30 days of receipt of said product. To see additional details on this or any of our other policies, please see our Terms & Conditions page.Item has been added to Shopping Cart
If you are ready to order, navigate to Shopping Cart and get ready to checkout.
