Rabbit anti-Human UBE2S Polyclonal Antibody | anti-UBE2S antibody
UBE2S Antibody
Gene Names
UBE2S; EPF5; E2EPF; E2-EPF
Reactivity
Human
Applications
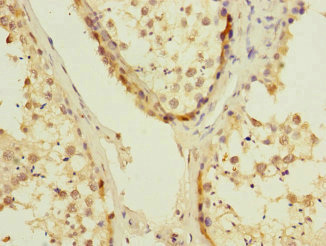
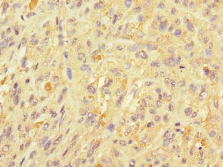
Immunohistochemistry, ELISA
Purity
Antigen Affinity Purified
Synonyms
UBE2S, Antibody; UBE2S Antibody; Ubiquitin-conjugating enzyme E2 S; E2 ubiquitin-conjugating enzyme S; E2-EPF; Ubiquitin carrier protein S; Ubiquitin-conjugating enzyme E2-24 kDa; Ubiquitin-conjugating enzyme E2-EPF5; Ubiquitin-protein ligase S; UBE2S; E2EPF; OK/SW-cl.73; anti-UBE2S antibody
Host
Rabbit
Reactivity
Human
Clonality
Polyclonal
Isotype
IgG
Purity/Purification
Antigen Affinity Purified
Form/Format
Liquid
Sequence Length
222
Applicable Applications for anti-UBE2S antibody
IHC (Immunohistochemistry), ELISA
Species
Human
Immunogen
Recombinant human Ubiquitin-conjugating enzyme E2 S protein (1-222AA)
Conjugate
Non-conjugated
Buffer
PBS with 0.02% sodium azide, 50% glycerol, pH7.3.
Santa Cruz Alternative
Potential replacement for Santa Cruz Biotechnology antibody catalog# sc-131354 / sc-131355
Preparation and Storage
Shipped at 4 degree C. Upon delivery aliquot and store at -20 degree C or -80 degree C. Avoid repeated freeze.
Related Product Information for anti-UBE2S antibody
Accepts ubiquitin from the E1 complex and catalyzes its covalent attachment to other proteins. Catalyzes 'Lys-11'-linked polyubiquitination. Acts as an essential factor of the anaphase promoting complex/cyclosome (APC/C), a cell cycle-regulated ubiquitin ligase that controls progression through mitosis. Acts by specifically elongating 'Lys-11'-linked polyubiquitin chains initiated by the E2 enzyme UBE2C/UBCH10 on APC/C substrates, enhancing the degradation of APC/C substrates by the proteasome and promoting mitotic exit. Also acts by elongating ubiquitin chains initiated by the E2 enzyme UBE2D1/UBCH5 in vitro; it is however unclear whether UBE2D1/UBCH5 acts as a E2 enzyme for the APC/C in vivo. Also involved in ubiquitination and subsequent degradation of VHL, resulting in an accumulation of HIF1A. In vitro able to promote polyubiquitination using all 7 ubiquitin Lys residues, except 'Lys-48'-linked polyubiquitination.
NCBI and Uniprot Product Information
NCBI GI #
NCBI GeneID
NCBI Accession #
NCBI GenBank Nucleotide #
Molecular Weight
23,845 Da
NCBI Official Full Name
ubiquitin-conjugating enzyme E2 S
NCBI Official Synonym Full Names
ubiquitin conjugating enzyme E2 S
NCBI Official Symbol
UBE2S
NCBI Official Synonym Symbols
EPF5; E2EPF; E2-EPF
NCBI Protein Information
ubiquitin-conjugating enzyme E2 S
UniProt Protein Name
Ubiquitin-conjugating enzyme E2 S
UniProt Gene Name
UBE2S
UniProt Synonym Gene Names
E2EPF
UniProt Entry Name
UBE2S_HUMAN
Customer Reviews
Loading reviews...
Share Your Experience
Similar Products
Product Notes
The UBE2S ube2s (Catalog #AAA231911) is an Antibody produced from Rabbit and is intended for research purposes only. The product is available for immediate purchase. The UBE2S Antibody reacts with Human and may cross-react with other species as described in the data sheet. AAA Biotech's UBE2S can be used in a range of immunoassay formats including, but not limited to, IHC (Immunohistochemistry), ELISA. Researchers should empirically determine the suitability of the UBE2S ube2s for an application not listed in the data sheet. Researchers commonly develop new applications and it is an integral, important part of the investigative research process. It is sometimes possible for the material contained within the vial of "UBE2S, Polyclonal Antibody" to become dispersed throughout the inside of the vial, particularly around the seal of said vial, during shipment and storage. We always suggest centrifuging these vials to consolidate all of the liquid away from the lid and to the bottom of the vial prior to opening. Please be advised that certain products may require dry ice for shipping and that, if this is the case, an additional dry ice fee may also be required.Precautions
All products in the AAA Biotech catalog are strictly for research-use only, and are absolutely not suitable for use in any sort of medical, therapeutic, prophylactic, in-vivo, or diagnostic capacity. By purchasing a product from AAA Biotech, you are explicitly certifying that said products will be properly tested and used in line with industry standard. AAA Biotech and its authorized distribution partners reserve the right to refuse to fulfill any order if we have any indication that a purchaser may be intending to use a product outside of our accepted criteria.Disclaimer
Though we do strive to guarantee the information represented in this datasheet, AAA Biotech cannot be held responsible for any oversights or imprecisions. AAA Biotech reserves the right to adjust any aspect of this datasheet at any time and without notice. It is the responsibility of the customer to inform AAA Biotech of any product performance issues observed or experienced within 30 days of receipt of said product. To see additional details on this or any of our other policies, please see our Terms & Conditions page.Item has been added to Shopping Cart
If you are ready to order, navigate to Shopping Cart and get ready to checkout.
