Rabbit Ubiquitin Carboxyl Terminal Hydrolase L3 (UCHL3) Polyclonal Antibody | anti-UCHL3 antibody
Polyclonal Antibody to Ubiquitin Carboxyl Terminal Hydrolase L3 (UCHL3)
Gene Names
UCHL3; UCH-L3
Reactivity
Human, Mouse, Rat
Applications
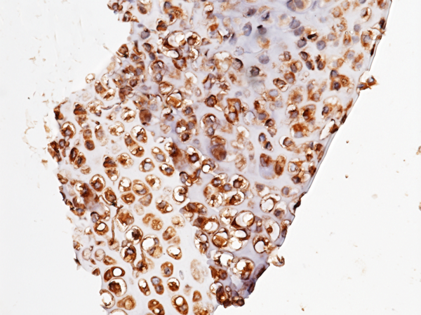
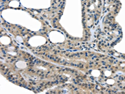
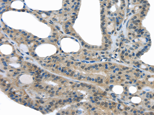
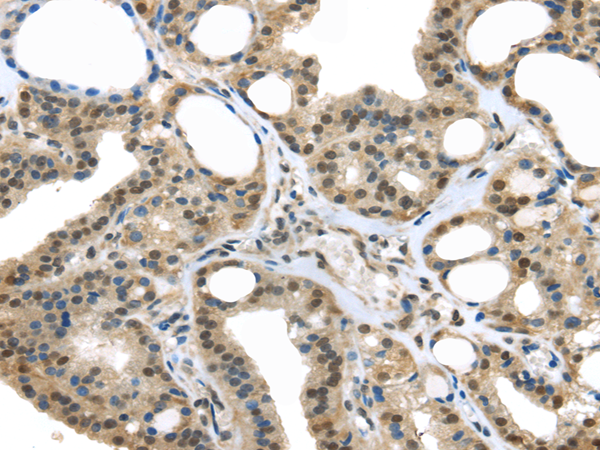
Western Blot, ELISA, Immunohistochemistry, Immunocytochemistry
Purity
Affinity Chromatography
Synonyms
Ubiquitin Carboxyl Terminal Hydrolase L3 (UCHL3), Antibody; Polyclonal Antibody to Ubiquitin Carboxyl Terminal Hydrolase L3 (UCHL3); anti-UCHL3 antibody
Host
Rabbit
Reactivity
Human, Mouse, Rat
Clonality
Polyclonal
Specificity
The antibody is a rabbit polyclonal antibody raised against UCHL3. It has been selected for its ability to recognize UCHL3 in immunohistochemical staining andwestern blotting.
Purity/Purification
Affinity Chromatography
Form/Format
Supplied as solution form in PBS, pH7.4, containing 0.02% NaN3,50% glycerol.
Concentration
500ug/mL (varies by lot)
Sequence
Antigen: The target protein is fused with N-terminal His-Tag and its sequence is listed below.
MGHHHHHHSGSEF-EGQRWLPLE ANPEVTNQFL KQLGLHPNWQ FVDVYGMDPE LLSMVPRPVC AVLLLFPITE KYEVFRTEEE EKIKSQGQDV TSSVYFMKQT ISNACGTIGL IHAIANNKDK MHFESGSTLK KFLEESVSMS PEERARYLEN YDAIRVTHET SAHEGQTEAP SIDEKVDLHF IALVHVDGHL YELDGRKPFP INHGETSDET LLEDAIEVCK KFMERDPDEL RFNAIALSAA
MGHHHHHHSGSEF-EGQRWLPLE ANPEVTNQFL KQLGLHPNWQ FVDVYGMDPE LLSMVPRPVC AVLLLFPITE KYEVFRTEEE EKIKSQGQDV TSSVYFMKQT ISNACGTIGL IHAIANNKDK MHFESGSTLK KFLEESVSMS PEERARYLEN YDAIRVTHET SAHEGQTEAP SIDEKVDLHF IALVHVDGHL YELDGRKPFP INHGETSDET LLEDAIEVCK KFMERDPDEL RFNAIALSAA
Sequence Length
558
Applicable Applications for anti-UCHL3 antibody
WB (Western Blot), ELISA, IHC (Immunohistochemistry), ICC (Immunocytochemistry)
Immunogen
Recombinant UCHL3 (Glu2~Ala230) expressed in E.coli.
Cross Reactivity
Human
Conjugated Antibody
The APC conjugated antibody version of this item is also available as
Preparation and Storage
Store at 4 degree C for frequent use. Stored at -20 degree C to -80 degree C in a manual defrost freezer for one year without detectable loss of activity. Avoid repeated freeze-thaw cycles.
NCBI and Uniprot Product Information
NCBI GI #
NCBI GeneID
NCBI Accession #
NCBI GenBank Nucleotide #
Molecular Weight
26,183 Da
NCBI Official Full Name
ubiquitin carboxyl-terminal hydrolase isozyme L3 isoform 1
NCBI Official Synonym Full Names
ubiquitin C-terminal hydrolase L3
NCBI Official Symbol
UCHL3
NCBI Official Synonym Symbols
UCH-L3
NCBI Protein Information
ubiquitin carboxyl-terminal hydrolase isozyme L3
UniProt Protein Name
Ubiquitin carboxyl-terminal hydrolase isozyme L3
UniProt Gene Name
UCHL3
UniProt Synonym Gene Names
UCH-L3
Customer Reviews
Loading reviews...
Share Your Experience
Similar Products
Product Notes
The UCHL3 uchl3 (Catalog #AAA131727) is an Antibody produced from Rabbit and is intended for research purposes only. The product is available for immediate purchase. The Polyclonal Antibody to Ubiquitin Carboxyl Terminal Hydrolase L3 (UCHL3) reacts with Human, Mouse, Rat and may cross-react with other species as described in the data sheet. AAA Biotech's Ubiquitin Carboxyl Terminal Hydrolase L3 (UCHL3) can be used in a range of immunoassay formats including, but not limited to, WB (Western Blot), ELISA, IHC (Immunohistochemistry), ICC (Immunocytochemistry). Researchers should empirically determine the suitability of the UCHL3 uchl3 for an application not listed in the data sheet. Researchers commonly develop new applications and it is an integral, important part of the investigative research process. The amino acid sequence is listed below: Antigen: The target protein is fused with N-terminal His-Tag and its sequence is listed below. MGHHHHHHSG SEF-EGQRWL PLE ANPEVTNQFL KQLGLHPNWQ FVDVYGMDPE LLSMVPRPVC AVLLLFPITE KYEVFRTEEE EKIKSQGQDV TSSVYFMKQT ISNACGTIGL IHAIANNKDK MHFESGSTLK KFLEESVSMS PEERARYLEN YDAIRVTHET SAHEGQTEAP SIDEKVDLHF IALVHVDGHL YELDGRKPFP INHGETSDET LLEDAIEVCK KFMERDPDEL RFNAIALSAA. It is sometimes possible for the material contained within the vial of "Ubiquitin Carboxyl Terminal Hydrolase L3 (UCHL3), Polyclonal Antibody" to become dispersed throughout the inside of the vial, particularly around the seal of said vial, during shipment and storage. We always suggest centrifuging these vials to consolidate all of the liquid away from the lid and to the bottom of the vial prior to opening. Please be advised that certain products may require dry ice for shipping and that, if this is the case, an additional dry ice fee may also be required.Precautions
All products in the AAA Biotech catalog are strictly for research-use only, and are absolutely not suitable for use in any sort of medical, therapeutic, prophylactic, in-vivo, or diagnostic capacity. By purchasing a product from AAA Biotech, you are explicitly certifying that said products will be properly tested and used in line with industry standard. AAA Biotech and its authorized distribution partners reserve the right to refuse to fulfill any order if we have any indication that a purchaser may be intending to use a product outside of our accepted criteria.Disclaimer
Though we do strive to guarantee the information represented in this datasheet, AAA Biotech cannot be held responsible for any oversights or imprecisions. AAA Biotech reserves the right to adjust any aspect of this datasheet at any time and without notice. It is the responsibility of the customer to inform AAA Biotech of any product performance issues observed or experienced within 30 days of receipt of said product. To see additional details on this or any of our other policies, please see our Terms & Conditions page.Item has been added to Shopping Cart
If you are ready to order, navigate to Shopping Cart and get ready to checkout.
