Rabbit anti-Human UGT2B4 Polyclonal Antibody | anti-UGT2B4 antibody
UGT2B4 Antibody
Gene Names
UGT2B4; HLUG25; UDPGTH1; UGT2B11; UDPGT2B4; UDPGTh-1
Reactivity
Human
Applications
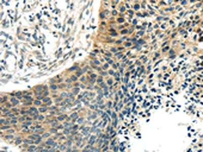
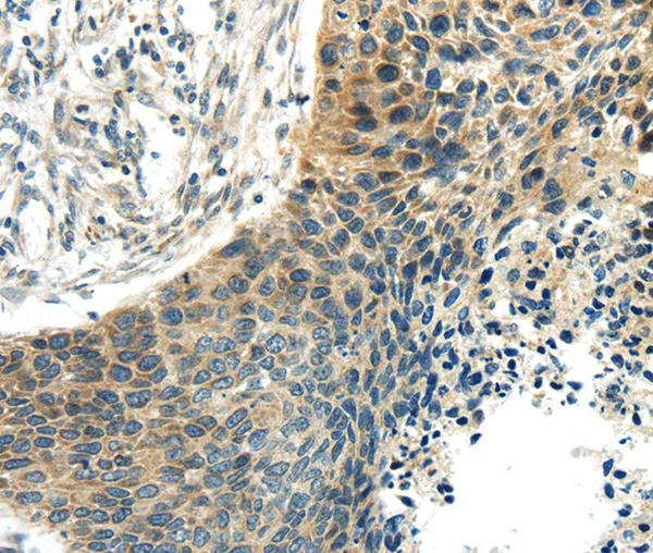
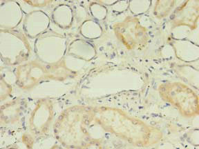
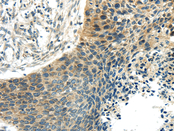
Immunohistochemistry
Purity
Antigen affinity purification.
Synonyms
UGT2B4, Antibody; UGT2B4 Antibody; HLUG25; UDPGTH1; UGT2B11; UDPGT2B4; UDPGTh-1; anti-UGT2B4 antibody
Host
Rabbit
Reactivity
Human
Clonality
Polyclonal
Specificity
The antibody detects endogenous levels of total UGT2B4 protein.
Purity/Purification
Antigen affinity purification.
Form/Format
Rabbit IgG in pH7.4 PBS, 0.05% NaN3, 40% Glycerol.
Concentration
1.1 mg/ml (varies by lot)
Sequence Length
369
Applicable Applications for anti-UGT2B4 antibody
IHC (Immunohistochemistry)
Immunogen Type
Protein
Immunogen Description
Fusion protein of human UDP glucuronosyltransferase 2 family, polypeptide B4
Target Name
UGT2B4
Preparation and Storage
Store at -20 degree C
Related Product Information for anti-UGT2B4 antibody
UDPGTs are of major importance in the conjugation and subsequent elimination of potentially toxic xenobiotics and endogenous compounds. This isozyme is active on polyhydroxylated estrogens (such as estriol, 4-hydroxyestrone and 2-hydroxyestriol) and xenobiotics (such as 4-methylumbelliferone, 1-naphthol, 4-nitrophenol, 2-aminophenol, 4-hydroxybiphenyl and menthol). It is capable of 6 alpha-hydroxyglucuronidation of hyodeoxycholic acid.
Product Categories/Family for anti-UGT2B4 antibody
NCBI and Uniprot Product Information
NCBI GI #
NCBI GeneID
NCBI Accession #
NCBI GenBank Nucleotide #
Molecular Weight
42,723 Da
NCBI Official Full Name
UDP-glucuronosyltransferase 2B4 isoform 2
NCBI Official Synonym Full Names
UDP glucuronosyltransferase 2 family, polypeptide B4
NCBI Official Symbol
UGT2B4
NCBI Official Synonym Symbols
HLUG25; UDPGTH1; UGT2B11; UDPGT2B4; UDPGTh-1
NCBI Protein Information
UDP-glucuronosyltransferase 2B4
UniProt Protein Name
UDP-glucuronosyltransferase 2B4
UniProt Gene Name
UGT2B4
UniProt Synonym Gene Names
UGT2B11; UDPGT 2B4
UniProt Entry Name
UD2B4_HUMAN
Customer Reviews
Loading reviews...
Share Your Experience
Similar Products
Product Notes
The UGT2B4 ugt2b4 (Catalog #AAA306297) is an Antibody produced from Rabbit and is intended for research purposes only. The product is available for immediate purchase. The UGT2B4 Antibody reacts with Human and may cross-react with other species as described in the data sheet. AAA Biotech's UGT2B4 can be used in a range of immunoassay formats including, but not limited to, IHC (Immunohistochemistry). Researchers should empirically determine the suitability of the UGT2B4 ugt2b4 for an application not listed in the data sheet. Researchers commonly develop new applications and it is an integral, important part of the investigative research process. It is sometimes possible for the material contained within the vial of "UGT2B4, Polyclonal Antibody" to become dispersed throughout the inside of the vial, particularly around the seal of said vial, during shipment and storage. We always suggest centrifuging these vials to consolidate all of the liquid away from the lid and to the bottom of the vial prior to opening. Please be advised that certain products may require dry ice for shipping and that, if this is the case, an additional dry ice fee may also be required.Precautions
All products in the AAA Biotech catalog are strictly for research-use only, and are absolutely not suitable for use in any sort of medical, therapeutic, prophylactic, in-vivo, or diagnostic capacity. By purchasing a product from AAA Biotech, you are explicitly certifying that said products will be properly tested and used in line with industry standard. AAA Biotech and its authorized distribution partners reserve the right to refuse to fulfill any order if we have any indication that a purchaser may be intending to use a product outside of our accepted criteria.Disclaimer
Though we do strive to guarantee the information represented in this datasheet, AAA Biotech cannot be held responsible for any oversights or imprecisions. AAA Biotech reserves the right to adjust any aspect of this datasheet at any time and without notice. It is the responsibility of the customer to inform AAA Biotech of any product performance issues observed or experienced within 30 days of receipt of said product. To see additional details on this or any of our other policies, please see our Terms & Conditions page.Item has been added to Shopping Cart
If you are ready to order, navigate to Shopping Cart and get ready to checkout.
