Rabbit anti-Human, Mouse UMPS Polyclonal Antibody | anti-UMPS antibody
UMPS Polyclonal Antibody
Gene Names
UMPS; OPRT
Reactivity
Human, Mouse
Applications
ELISA, Immunohistochemistry, Western Blot
Purity
Antigen Affinity Purification
Synonyms
UMPS, Antibody; UMPS Polyclonal Antibody; ODC; OMPdecase; OPRT; OPRTase; Orotate phosphoribosyl transferase and orotidine 5' decarboxylase; Orotate phosphoribosyltransferase; Orotate phosphoribosyltransferase phosphoribosyltransferase; Orotidine 5' phosphate decarboxylase; Orotidine 5''-phosphate decarboxylase; RP11-71H17.9; UMP synthase; Umps; UMPS; Uridine 5' monophosphate synthase; Uridine monophosphate synthetase; anti-UMPS antibody
Host
Rabbit
Reactivity
Human, Mouse
Clonality
Polyclonal
Isotype
IgG
Purity/Purification
Antigen Affinity Purification
Form/Format
PBS with 0.05% NaN3 and 40% Glycerol, pH7.4
Concentration
0.7mg/mL (varies by lot)
Sequence Length
480
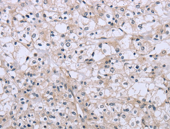
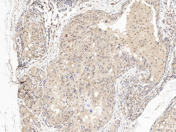
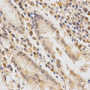
Applicable Applications for anti-UMPS antibody
ELISA, IHC (Immunohistochemistry), WB (Western Blot)
Immunogen
Fusion protein of human UMPS
Conjugation
Unconjugated
Preparation and Storage
Store at -20 degree C. Avoid freeze/thaw cycles.
Related Product Information for anti-UMPS antibody
This gene encodes a uridine 5'-monophosphate synthase. The encoded protein is a bifunctional enzyme that catalyzes the final two steps of the de novo pyrimidine biosynthetic pathway. The first reaction is carried out by the N-terminal enzyme orotate phosphoribosyltransferase which converts orotic acid to orotidine-5'-monophosphate. The terminal reaction is carried out by the C-terminal enzyme OMP decarboxylase which converts orotidine-5'-monophosphate to uridine monophosphate. Defects in this gene are the cause of hereditary orotic aciduria. Alternate splicing results in multiple transcript variants.
Product Categories/Family for anti-UMPS antibody
NCBI and Uniprot Product Information
NCBI GI #
NCBI GeneID
NCBI Accession #
NCBI GenBank Nucleotide #
UniProt Accession #
Molecular Weight
52 kDa
NCBI Official Full Name
uridine 5'-monophosphate synthase
NCBI Official Synonym Full Names
uridine monophosphate synthetase
NCBI Official Symbol
UMPS
NCBI Official Synonym Symbols
OPRT
NCBI Protein Information
uridine 5'-monophosphate synthase
UniProt Protein Name
Uridine 5'-monophosphate synthase
UniProt Gene Name
UMPS
UniProt Synonym Gene Names
UMP synthase; OPRT; OPRTase; ODC
UniProt Entry Name
UMPS_HUMAN
Customer Reviews
Loading reviews...
Share Your Experience
Similar Products
Product Notes
The UMPS umps (Catalog #AAA176291) is an Antibody produced from Rabbit and is intended for research purposes only. The product is available for immediate purchase. The UMPS Polyclonal Antibody reacts with Human, Mouse and may cross-react with other species as described in the data sheet. AAA Biotech's UMPS can be used in a range of immunoassay formats including, but not limited to, ELISA, IHC (Immunohistochemistry), WB (Western Blot). Researchers should empirically determine the suitability of the UMPS umps for an application not listed in the data sheet. Researchers commonly develop new applications and it is an integral, important part of the investigative research process. It is sometimes possible for the material contained within the vial of "UMPS, Polyclonal Antibody" to become dispersed throughout the inside of the vial, particularly around the seal of said vial, during shipment and storage. We always suggest centrifuging these vials to consolidate all of the liquid away from the lid and to the bottom of the vial prior to opening. Please be advised that certain products may require dry ice for shipping and that, if this is the case, an additional dry ice fee may also be required.Precautions
All products in the AAA Biotech catalog are strictly for research-use only, and are absolutely not suitable for use in any sort of medical, therapeutic, prophylactic, in-vivo, or diagnostic capacity. By purchasing a product from AAA Biotech, you are explicitly certifying that said products will be properly tested and used in line with industry standard. AAA Biotech and its authorized distribution partners reserve the right to refuse to fulfill any order if we have any indication that a purchaser may be intending to use a product outside of our accepted criteria.Disclaimer
Though we do strive to guarantee the information represented in this datasheet, AAA Biotech cannot be held responsible for any oversights or imprecisions. AAA Biotech reserves the right to adjust any aspect of this datasheet at any time and without notice. It is the responsibility of the customer to inform AAA Biotech of any product performance issues observed or experienced within 30 days of receipt of said product. To see additional details on this or any of our other policies, please see our Terms & Conditions page.Item has been added to Shopping Cart
If you are ready to order, navigate to Shopping Cart and get ready to checkout.
