Rabbit UNC5A Polyclonal Antibody | anti-UNC5A antibody
UNC5A Antibody
Phosphate buffered saline, pH 7.4, 150mM NaCl, 0.02% sodium azide and 50% glycerol.
IHC (Immunohiostchemistry)
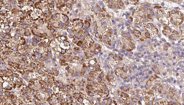
(AAA328058 at 1/100 staining Human liver cancer tissue by IHC-P. The sample was formaldehyde fixed and a heat mediated antigen retrieval step in citrate buffer was performed. The sample was then blocked and incubated with the antibody for 1.5 hours at 22 degree C. An HRP conjugated goat anti-rabbit antibody was used as the secondary.)
Subunit Structure: Homodimer and homooligomer. Interacts with the cytoplasmic part of DCC. Interacts with MAGED1. Interacts with PRKCABP, possibly mediating some interaction with PKC (By similarity). Interacts (via extracellular domain) with FLRT2 (via extracellular domain) (PubMed:25374360). Interacts (via extracellular domain) with FLRT3 (via extracellular domain) (By similarity).
Post-translational Modifications: Phosphorylated on cytoplasmic tyrosine residues (By similarity). Phosphorylated by PKC in vitro (By similarity). Proteolytically cleaved by caspases during apoptosis. The cleavage does not take place when the receptor is associated with netrin ligand. Its cleavage by caspases is required to induce apoptosis.
Similarity: The ZU5 domain mediates the interaction with MAGED1, which participates in the induction of apoptosis. Belongs to the unc-5 family.
NCBI and Uniprot Product Information
Predicted: 93 kDa
Customer Reviews
Loading reviews...
Share Your Experience
Similar Products
Product Notes
The UNC5A unc5a (Catalog #AAA328058) is an Antibody produced from Rabbit and is intended for research purposes only. The product is available for immediate purchase. The UNC5A Antibody reacts with Human, Mouse, Rat and may cross-react with other species as described in the data sheet. AAA Biotech's UNC5A can be used in a range of immunoassay formats including, but not limited to, ELISA, IHC (Immunohistochemistry), WB (Western Blot). Researchers should empirically determine the suitability of the UNC5A unc5a for an application not listed in the data sheet. Researchers commonly develop new applications and it is an integral, important part of the investigative research process. It is sometimes possible for the material contained within the vial of "UNC5A, Polyclonal Antibody" to become dispersed throughout the inside of the vial, particularly around the seal of said vial, during shipment and storage. We always suggest centrifuging these vials to consolidate all of the liquid away from the lid and to the bottom of the vial prior to opening. Please be advised that certain products may require dry ice for shipping and that, if this is the case, an additional dry ice fee may also be required.Precautions
All products in the AAA Biotech catalog are strictly for research-use only, and are absolutely not suitable for use in any sort of medical, therapeutic, prophylactic, in-vivo, or diagnostic capacity. By purchasing a product from AAA Biotech, you are explicitly certifying that said products will be properly tested and used in line with industry standard. AAA Biotech and its authorized distribution partners reserve the right to refuse to fulfill any order if we have any indication that a purchaser may be intending to use a product outside of our accepted criteria.Disclaimer
Though we do strive to guarantee the information represented in this datasheet, AAA Biotech cannot be held responsible for any oversights or imprecisions. AAA Biotech reserves the right to adjust any aspect of this datasheet at any time and without notice. It is the responsibility of the customer to inform AAA Biotech of any product performance issues observed or experienced within 30 days of receipt of said product. To see additional details on this or any of our other policies, please see our Terms & Conditions page.Item has been added to Shopping Cart
If you are ready to order, navigate to Shopping Cart and get ready to checkout.
