Rabbit UPF3B Polyclonal Antibody | anti-UPF3B antibody
UPF3B antibody - N-terminal region
WB (Western Blot)
(WB Suggested Anti-UPF3B Antibody Titration: 1.25ug/mlELISA Titer: 1:312500Positive Control: Jurkat cell lysate)
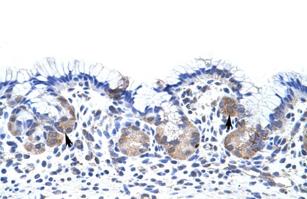
IHC (Immunohistochemistry)
(Rabbit Anti-UPF3B AntibodyParaffin Embedded Tissue: Human StomachCellular Data: Epithelial cells of fundic glandAntibody Concentration: 4.0-8.0 ug/mlMagnification: 400X)
Target Description: UPF3B is part of a post-splicing multiprotein complex involved in both mRNA nuclear export and mRNA surveillance. The protein is one of two functional homologs to yeast Upf3p. This protein binds to the mRNA and remains bound after nuclear export, acting as a nucleocytoplasmic shuttling protein. It forms with Y14 a complex that binds specifically 20 nt upstream of exon-exon junctionsThis gene encodes a protein that is part of a post-splicing multiprotein complex involved in both mRNA nuclear export and mRNA surveillance. The encoded protein is one of two functional homologs to yeast Upf3p. mRNA surveillance detects exported mRNAs with truncated open reading frames and initiates nonsense-mediated mRNA decay (NMD). When translation ends upstream from the last exon-exon junction, this triggers NMD to degrade mRNAs containing premature stop codons. This protein binds to the mRNA and remains bound after nuclear export, acting as a nucleocytoplasmic shuttling protein. It forms with Y14 a complex that binds specifically 20 nt upstream of exon-exon junctions. This gene is located on the long arm of chromosome X. Two splice variants encoding different isoforms have been found for this gene.
NCBI and Uniprot Product Information
Customer Reviews
Loading reviews...
Share Your Experience
Similar Products
Product Notes
The UPF3B upf3b (Catalog #AAA198802) is an Antibody produced from Rabbit and is intended for research purposes only. The product is available for immediate purchase. The UPF3B antibody - N-terminal region reacts with Cow, Dog, Human, Mouse, Pig, Rabbit, Rat and may cross-react with other species as described in the data sheet. AAA Biotech's UPF3B can be used in a range of immunoassay formats including, but not limited to, WB (Western Blot), IHC (Immunohistochemistry). Researchers should empirically determine the suitability of the UPF3B upf3b for an application not listed in the data sheet. Researchers commonly develop new applications and it is an integral, important part of the investigative research process. The amino acid sequence is listed below: Synthetic peptide located within the following region: MKEEKEHRPK EKRVTLLTPA GATGSGGGTS GDSSKGEDKQ DRNKEKKEAL. It is sometimes possible for the material contained within the vial of "UPF3B, Polyclonal Antibody" to become dispersed throughout the inside of the vial, particularly around the seal of said vial, during shipment and storage. We always suggest centrifuging these vials to consolidate all of the liquid away from the lid and to the bottom of the vial prior to opening. Please be advised that certain products may require dry ice for shipping and that, if this is the case, an additional dry ice fee may also be required.Precautions
All products in the AAA Biotech catalog are strictly for research-use only, and are absolutely not suitable for use in any sort of medical, therapeutic, prophylactic, in-vivo, or diagnostic capacity. By purchasing a product from AAA Biotech, you are explicitly certifying that said products will be properly tested and used in line with industry standard. AAA Biotech and its authorized distribution partners reserve the right to refuse to fulfill any order if we have any indication that a purchaser may be intending to use a product outside of our accepted criteria.Disclaimer
Though we do strive to guarantee the information represented in this datasheet, AAA Biotech cannot be held responsible for any oversights or imprecisions. AAA Biotech reserves the right to adjust any aspect of this datasheet at any time and without notice. It is the responsibility of the customer to inform AAA Biotech of any product performance issues observed or experienced within 30 days of receipt of said product. To see additional details on this or any of our other policies, please see our Terms & Conditions page.Item has been added to Shopping Cart
If you are ready to order, navigate to Shopping Cart and get ready to checkout.
