Rabbit anti-Human Vascular Cell Adhesion Molecule 1 (VCAM1) Polyclonal Antibody | anti-VCAM1 antibody
Polyclonal Antibody to Vascular Cell Adhesion Molecule 1 (VCAM1)
Gene Names
VCAM1; CD106; INCAM-100
Reactivity
Human
Applications
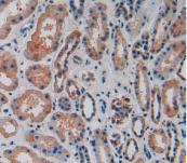
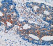
Western Blot, ELISA, Immunohistochemistry, Immunocytochemistry
Purity
Affinity Chromatography
Synonyms
Vascular Cell Adhesion Molecule 1 (VCAM1), Antibody; Polyclonal Antibody to Vascular Cell Adhesion Molecule 1 (VCAM1); anti-VCAM1 antibody
Host
Rabbit
Reactivity
Human
Clonality
Polyclonal
Specificity
The antibody is a rabbit polyclonal antibody raised against VCAM1. It has been selected for its ability to recognize VCAM1 in immunohistochemical staining andwestern blotting.
Purity/Purification
Affinity Chromatography
Form/Format
Supplied as solution form in PBS, pH7.4, containing 0.02% NaN3,50% glycerol.
Concentration
500ug/mL (varies by lot)
Sequence
Antigen: The target protein is fused with N-terminal His-Tag and its sequence is listed below.
MGHHHHHHSGSEF-QV EIYSFPKDPE IHLSGPLEAG KPITVKCSVA DVYPFDRLEI DLLKGDHLMK SQEFLEDADR KSLETKSLEV TFTPVIEDIG KVLVCRAKLH IDEMDSVPTV RQAVKELQVY ISPKNTVISV NPSTKLQEGG SVTMTCSSEG LPAPEIFWSK KLDNGNLQHL SGNATLTLIA MRMEDSGIYV CEGVNLIGKN RKEVELIVQE KPFTVEIS
MGHHHHHHSGSEF-QV EIYSFPKDPE IHLSGPLEAG KPITVKCSVA DVYPFDRLEI DLLKGDHLMK SQEFLEDADR KSLETKSLEV TFTPVIEDIG KVLVCRAKLH IDEMDSVPTV RQAVKELQVY ISPKNTVISV NPSTKLQEGG SVTMTCSSEG LPAPEIFWSK KLDNGNLQHL SGNATLTLIA MRMEDSGIYV CEGVNLIGKN RKEVELIVQE KPFTVEIS
Sequence Length
647
Applicable Applications for anti-VCAM1 antibody
WB (Western Blot), ELISA, IHC (Immunohistochemistry), ICC (Immunocytochemistry)
Immunogen
Recombinant VCAM1 (Gln109~Ser318) expressed in E.coli.
Cross Reactivity
Human, Mouse
Conjugated Antibody
The APC conjugated antibody version of this item is also available as
Preparation and Storage
Store at 4 degree C for frequent use. Stored at -20 degree C to -80 degree C in a manual defrost freezer for one year without detectable loss of activity. Avoid repeated freeze-thaw cycles.
WB (Western Blot)
(Western Blot: Sample: Lane1: Mouse Kidney Tissue; Lane2: Mouse Placenta Tissue; Lane3: Human Hela Cells.)
NCBI and Uniprot Product Information
NCBI GI #
NCBI GeneID
NCBI Accession #
NCBI GenBank Nucleotide #
Molecular Weight
74,346 Da
NCBI Official Full Name
vascular cell adhesion protein 1 isoform a
NCBI Official Synonym Full Names
vascular cell adhesion molecule 1
NCBI Official Symbol
VCAM1
NCBI Official Synonym Symbols
CD106; INCAM-100
NCBI Protein Information
vascular cell adhesion protein 1
UniProt Protein Name
Vascular cell adhesion protein 1
UniProt Gene Name
VCAM1
UniProt Synonym Gene Names
V-CAM 1; VCAM-1
Similar Products
Product Notes
The VCAM1 vcam1 (Catalog #AAA131263) is an Antibody produced from Rabbit and is intended for research purposes only. The product is available for immediate purchase. The Polyclonal Antibody to Vascular Cell Adhesion Molecule 1 (VCAM1) reacts with Human and may cross-react with other species as described in the data sheet. AAA Biotech's Vascular Cell Adhesion Molecule 1 (VCAM1) can be used in a range of immunoassay formats including, but not limited to, WB (Western Blot), ELISA, IHC (Immunohistochemistry), ICC (Immunocytochemistry). Researchers should empirically determine the suitability of the VCAM1 vcam1 for an application not listed in the data sheet. Researchers commonly develop new applications and it is an integral, important part of the investigative research process. The amino acid sequence is listed below: Antigen: The target protein is fused with N-terminal His-Tag and its sequence is listed below. MGHHHHHHSG SEF-QV EIYSFPKDPE IHLSGPLEAG KPITVKCSVA DVYPFDRLEI DLLKGDHLMK SQEFLEDADR KSLETKSLEV TFTPVIEDIG KVLVCRAKLH IDEMDSVPTV RQAVKELQVY ISPKNTVISV NPSTKLQEGG SVTMTCSSEG LPAPEIFWSK KLDNGNLQHL SGNATLTLIA MRMEDSGIYV CEGVNLIGKN RKEVELIVQE KPFTVEIS. It is sometimes possible for the material contained within the vial of "Vascular Cell Adhesion Molecule 1 (VCAM1), Polyclonal Antibody" to become dispersed throughout the inside of the vial, particularly around the seal of said vial, during shipment and storage. We always suggest centrifuging these vials to consolidate all of the liquid away from the lid and to the bottom of the vial prior to opening. Please be advised that certain products may require dry ice for shipping and that, if this is the case, an additional dry ice fee may also be required.Precautions
All products in the AAA Biotech catalog are strictly for research-use only, and are absolutely not suitable for use in any sort of medical, therapeutic, prophylactic, in-vivo, or diagnostic capacity. By purchasing a product from AAA Biotech, you are explicitly certifying that said products will be properly tested and used in line with industry standard. AAA Biotech and its authorized distribution partners reserve the right to refuse to fulfill any order if we have any indication that a purchaser may be intending to use a product outside of our accepted criteria.Disclaimer
Though we do strive to guarantee the information represented in this datasheet, AAA Biotech cannot be held responsible for any oversights or imprecisions. AAA Biotech reserves the right to adjust any aspect of this datasheet at any time and without notice. It is the responsibility of the customer to inform AAA Biotech of any product performance issues observed or experienced within 30 days of receipt of said product. To see additional details on this or any of our other policies, please see our Terms & Conditions page.Item has been added to Shopping Cart
If you are ready to order, navigate to Shopping Cart and get ready to checkout.
