Rabbit VASP Polyclonal Antibody | anti-VASP antibody
Anti-VASP Antibody
Each vial contains 5mg BSA, 0.9mg NaCl, 0.2mg Na2HPO4, 0.05mg NaN3.
By Heat: Boiling the paraffin sections in 10mM citrate buffer, pH6.0, for 20mins is required for the staining of formalin/paraffin sections.
Other applications have not been tested.
IHC (Immunohistochemisry)
(VASP was detected in paraffin-embedded sections of human mammary cancer tissues using rabbit anti- VASP Antigen Affinity purified polyclonal antibody at 1ug/mL. The immunohistochemical section was developed using SABC method.)
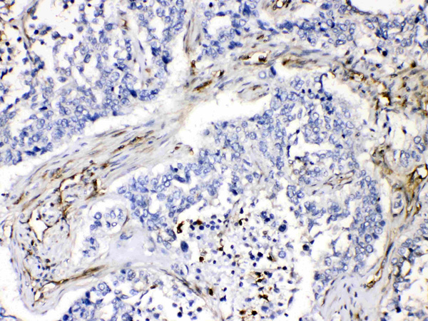
IHC (Immunohiostchemistry)
(VASP was detected in paraffin-embedded sections of human lung cancer tissues using rabbit anti- VASP Antigen Affinity purified polyclonal antibody at 1ug/mL. The immunohistochemical section was developed using SABC method.)
WB (Western Blot)
(Western blot analysis of VASP expression in rat liver extract (lane 1), mouse kidney extract (lane 2), HELA whole cell lysates (lane 3) and HEPG2 whole cell lysates (lane 4). VASP at 40KD was detected using rabbit anti- VASP Antigen Affinity purified polyclonal antibody at 0.5ug/mL. The blot was developed using chemiluminescence (ECL) method.)
Background: Vasodilator-stimulated phosphoprotein (VASP) is a member of the Ena-VASP protein family. Ena-VASP family members contain an EHV1 N-terminal domain that binds proteins containing E/DFPPPPXD/E motifs and targets Ena-VASP proteins to focal adhesions. In the mid-region of the protein, family members have a proline-rich domain that binds SH3 and WW domain-containing proteins. Their C-terminal EVH2 domain mediates tetramerization and binds both G and F actin. VASP is associated with filamentous actin formation and likely plays a widespread role in cell adhesion and motility. VASP may also be involved in the intracellular signaling pathways that regulate integrin-extracellular matrix interactions. VASP is regulated by the cyclic nucleotide-dependent kinases PKA and PKG.
2. Harbeck, B; Hüttelmaier S; Schluter K; Jockusch B M; Illenberger S (October 2000). "Phosphorylation of the vasodilator-stimulated phosphoprotein regulates its interaction with actin". J. Biol. Chem. UNITED STATES.275 (40): 30817-25.
3. Reinhard, M; Giehl K; Abel K; Haffner C; Jarchau T; Hoppe V; Jockusch B M; Walter U (April 1995). "The proline-rich focal adhesion and microfilament protein VASP is a ligand for profilins". EMBO J. ENGLAND.14 (8): 1583-9.
NCBI and Uniprot Product Information
Customer Reviews
Loading reviews...
Share Your Experience
Similar Products
Product Notes
The VASP vasp (Catalog #AAA46714) is an Antibody produced from Rabbit and is intended for research purposes only. The product is available for immediate purchase. The Anti-VASP Antibody reacts with Human, Mouse, Rat and may cross-react with other species as described in the data sheet. AAA Biotech's VASP can be used in a range of immunoassay formats including, but not limited to, IHC (Immunohistochemistry), WB (Western Blot). Researchers should empirically determine the suitability of the VASP vasp for an application not listed in the data sheet. Researchers commonly develop new applications and it is an integral, important part of the investigative research process. It is sometimes possible for the material contained within the vial of "VASP, Polyclonal Antibody" to become dispersed throughout the inside of the vial, particularly around the seal of said vial, during shipment and storage. We always suggest centrifuging these vials to consolidate all of the liquid away from the lid and to the bottom of the vial prior to opening. Please be advised that certain products may require dry ice for shipping and that, if this is the case, an additional dry ice fee may also be required.Precautions
All products in the AAA Biotech catalog are strictly for research-use only, and are absolutely not suitable for use in any sort of medical, therapeutic, prophylactic, in-vivo, or diagnostic capacity. By purchasing a product from AAA Biotech, you are explicitly certifying that said products will be properly tested and used in line with industry standard. AAA Biotech and its authorized distribution partners reserve the right to refuse to fulfill any order if we have any indication that a purchaser may be intending to use a product outside of our accepted criteria.Disclaimer
Though we do strive to guarantee the information represented in this datasheet, AAA Biotech cannot be held responsible for any oversights or imprecisions. AAA Biotech reserves the right to adjust any aspect of this datasheet at any time and without notice. It is the responsibility of the customer to inform AAA Biotech of any product performance issues observed or experienced within 30 days of receipt of said product. To see additional details on this or any of our other policies, please see our Terms & Conditions page.Item has been added to Shopping Cart
If you are ready to order, navigate to Shopping Cart and get ready to checkout.
